Todo lo que debes saber sobre implante dental completo
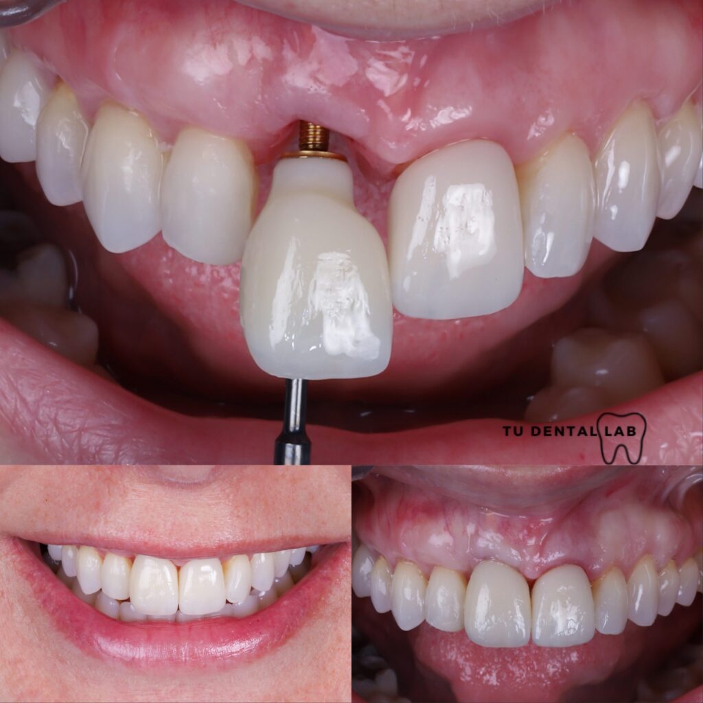
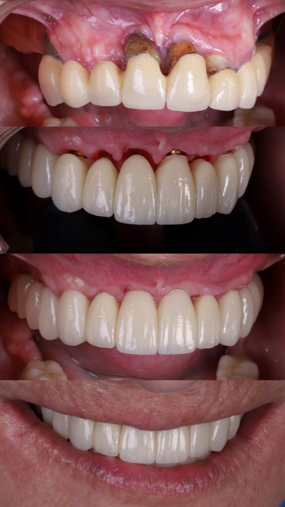
Implante dental completo El implante dental completo, es una solución moderna para reemplazar una arcada completa (superior o inferior) de dientes perdidos con una dentadura fija que se siente natural. El tratamiento de implante dental completo se realiza con implantes a lo largo de toda la arcada. Consiste en colocar varios implantes de titanio para […]





