Dentadura completa fija: la solución definitiva para recuperar tu sonrisa
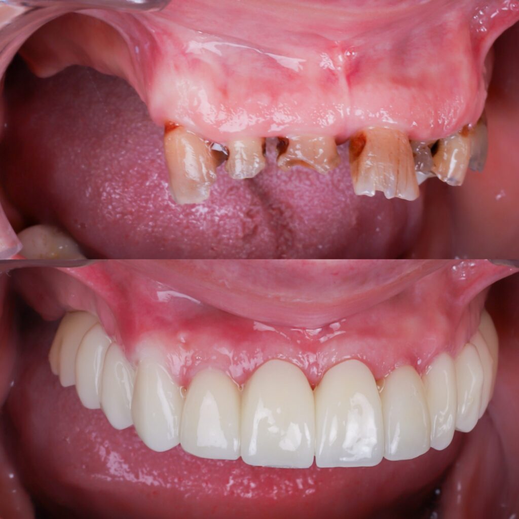
Dentadura completa fija: la solución definitiva para recuperar tu sonrisa En Alejandro Prieto Dental, somos especialistas en dentadura completas fija sobre implantes, una solución avanzada, cómoda y estética que te permite volver a masticar, hablar y sonreír con total confianza, sin paladar artificial ni adhesivos. ¿Qué es una dentadura completa fija? Una dentadura completa fija […]









