Bruxismo: Causas, síntomas y tratamiento para proteger tus dientes
El bruxismo es un trastorno frecuente que consiste en apretar o rechinar los dientes de forma involuntaria, especialmente durante la noche. Puede provocar dolor mandibular, desgaste dental y dolores de cabeza si no se trata a tiempo. Un diagnóstico adecuado permite controlar sus efectos y proteger la salud bucodental.
¿Qué es el bruxismo?
El bruxismo es un hábito involuntario que provoca el apretamiento o rechinamiento de los dientes. Puede presentarse tanto de día como de noche, siendo el bruxismo nocturno el más habitual y difícil de detectar, ya que ocurre mientras dormimos.
Causas del bruxismo
Las causas del bruxismo suelen ser multifactoriales:
- Estrés y ansiedad
- Problemas de oclusión (mala mordida)
- Trastornos del sueño
- Tensión muscular
- Hábitos posturales inadecuados
"El bruxismo es un trastorno frecuente que consiste en apretar o rechinar los dientes de forma involuntaria, especialmente durante la noche. Puede provocar dolor mandibular, desgaste dental y dolores de cabeza si no se trata a tiempo. Un diagnóstico adecuado permite controlar sus efectos y proteger la salud bucodental."
-Dr. Alejandro Prieto
Síntomas del bruxismo severo
Los síntomas más habituales incluyen:
- Desgaste o fracturas dentales
- Dolor dental sin causa aparente
- Dolor de cabeza al despertar
- Sensibilidad dental
- Dolor muscular en la cara y el cuello
- Dificultad para abrir la boca
Consecuencias del bruxismo
Si no se trata, el bruxismo puede ocasionar:
- Desgaste irreversible del esmalte
- Fractura de dientes o empastes
- Problemas en la ATM
- Dolores crónicos
- Necesidad de tratamientos restauradores complejos
Tratamiento del bruxismo
El tratamiento del bruxismo se adapta a cada paciente según la causa y la intensidad:
Tratamientos más habituales
- Férula de descarga personalizada
- Ajustes oclusales
- Rehabilitación dental en casos de desgaste severo
- Control del estrés y hábitos nocturnos
- Seguimiento periódico
💡 La férula de descarga es el tratamiento más eficaz para proteger los dientes y relajar la musculatura.
Bruxismo nocturno: ¿cómo se diagnostica?
El bruxismo nocturno suele detectarse mediante:
- Exploración clínica
- Signos de desgaste dental
- Dolor mandibular al despertar
- Información aportada por la pareja
En algunos casos, se complementa con estudios del sueño.
Ventajas y desventajas del tratamiento
Ventajas
- Protección del esmalte dental
- Reducción del dolor mandibular
- Mejora del descanso nocturno
- Prevención de daños mayores
Desventajas
- Requiere uso constante de la férula
- Periodo de adaptación inicial
- Necesita revisiones periódicas
Precios orientativos del tratamiento en España
- Férula de descarga personalizada: 250 – 450 €
- Ajustes y revisiones: incluidos o desde 30 €
Opiniones de pacientes
“Me despertaba con dolor de mandíbula todos los días. Con la férula el cambio fue inmediato.” – Javier, 42 años
“No sabía que rechinaba los dientes por la noche. Ahora descanso mejor y ya no me duele la cabeza.” – Laura, 36 años
“El desgaste de mis dientes se detuvo gracias al tratamiento.” – Carlos, 55 años
Conoce al equipo
Alejandro Prieto Dental
Especialistas en bruxismo y trastornos de la ATM
En Alejandro Prieto Dental contamos con un equipo especializado en el diagnóstico y tratamiento del bruxismo y los trastornos de la articulación temporomandibular (ATM). Realizamos un estudio completo para determinar la causa y aplicar el tratamiento más adecuado (férula de descarga personalizada, ajustes oclusales, rehabilitación dental y control del estrés) para proteger tus dientes y mejorar tu calidad de vida.
El equipo está liderado por el Dr. Alejandro Prieto, cirujano implantólogo de prestigio internacional, experto en implantes de boca completa y en resultados de alta estética dental. Contamos con laboratorio dental en exclusiva, lo que nos permite controlar internamente cada fase del tratamiento para asegurar calidad, precisión y resultados predecibles.
Nuestro objetivo: resultados naturales, estables y duraderos para cada paciente.
Preguntas frecuentes
¿Qué es lo que provoca el bruxismo?
El bruxismo puede tener varias causas. Los factores más comunes son:
- Genética: algunas personas tienen mayor predisposición hereditaria.
- Estrés y ansiedad: uno de los desencadenantes más frecuentes.
- Estimulantes: consumo de alcohol, cafeína o tabaco.
- Medicamentos: ciertos fármacos para la depresión, convulsiones o TDAH pueden aumentar el riesgo.
- Alteraciones del sueño o de la mordida.
El dentista evaluará la causa principal para elegir el tratamiento más adecuado.
¿Cómo se puede solucionar el bruxismo?
El tratamiento del bruxismo combina protección dental y control de la causa. Las soluciones más efectivas son:
- Férula de descarga personalizada para proteger los dientes y relajar la mandíbula.
- Técnicas de relajación (respiración, yoga, masajes, meditación).
- Cambios de hábitos: evitar estimulantes, mejorar la higiene del sueño, reducir el estrés.
- Fisioterapia o terapia de ATM en casos moderados o severos.
- Inyecciones de bótox para relajar la musculatura, solo cuando está indicado.
En Alejandro Prieto Dental realizamos un estudio completo para personalizar el tratamiento.
¿Cuáles son los síntomas del bruxismo?
Los síntomas más frecuentes incluyen:
- Dolor de mandíbula, cuello o cabeza al despertar.
- Dientes desgastados, fracturados o sensibles.
- Sonido de rechinar de dientes durante la noche (a menudo detectado por la pareja).
- Tensión o cansancio en los músculos faciales.
- Dificultad para abrir o mover la mandíbula en algunos casos.
El diagnóstico definitivo lo realiza un dentista mediante exploración y, si es necesario, un estudio del sueño.
¿Cómo debe dormir una persona con bruxismo?
Para dormir mejor si tienes bruxismo:
- Duerme boca arriba o de lado para mantener la mandíbula alineada.
- Evita dormir boca abajo, ya que aumenta la presión en la ATM.
- Usa una almohada ergonómica.
- Haz masajes suaves en mandíbula y sienes antes de dormir.
- Usa una férula de descarga indicada por tu dentista.
- Evita cafeína y alcohol por la noche y crea una rutina de relajación.
¿Qué pasa si el bruxismo no se trata?
Si el bruxismo no se trata, puede generar problemas a medio y largo plazo:
- Dolor crónico de mandíbula o ATM
- Dolores de cabeza frecuentes
- Calidad del sueño alterada
- Desgaste del esmalte, grietas o fracturas dentales
- Daños en los dientes naturales o en restauraciones como coronas o carillas
- En casos avanzados, dificultad para masticar y movilidad mandibular reducida
Detectarlo y tratarlo a tiempo evita complicaciones.
¿Cuánto vale una férula dental para bruxismo?
El precio de una férula de descarga personalizada suele estar entre 200 € y 400 €, dependiendo del tipo de férula, el material y los ajustes necesarios.
En Alejandro Prieto Dental utilizamos férulas de alta calidad diseñadas digitalmente para un ajuste cómodo y preciso.
¿Cuándo desaparece el bruxismo?
El bruxismo puede mejorar o desaparecer cuando se controla su causa principal: estrés, hábitos, postura o alteraciones del sueño.
En adultos, suele requerir:
- Férula de descarga continua
- Reducción del estrés
- Cambios en rutinas de sueño y hábitos diarios
En niños, el bruxismo nocturno muchas veces desaparece espontáneamente al crecer.
El seguimiento profesional es clave para evaluar la evolución.
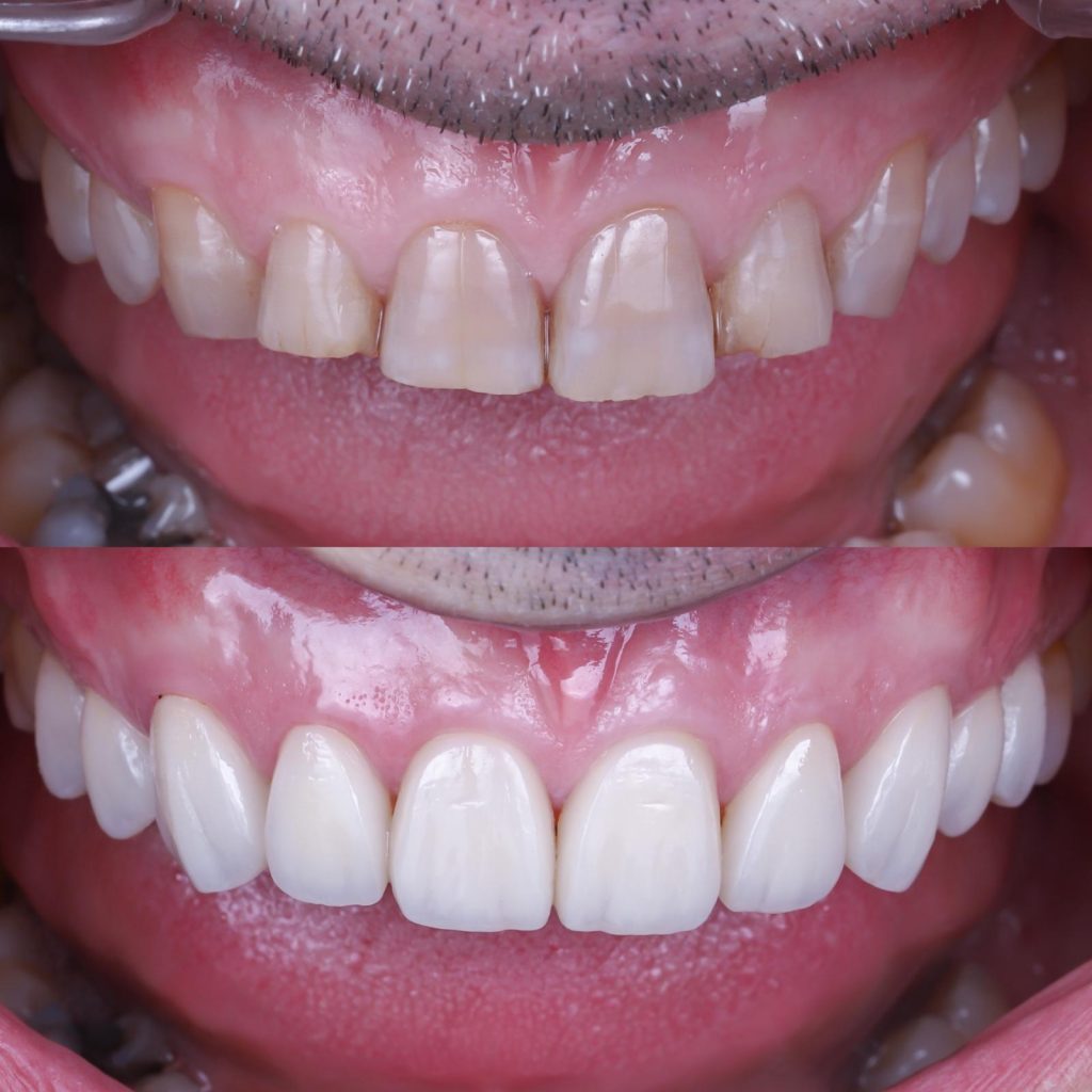
Historias de transformación
Si alguna vez te han dicho que tu caso no tiene solución, en Alejandro Prieto Dental desafiamos los límites de la odontología para ofrecerte la respuesta que estabas buscando.
Descubre la diferencia
En Alejandro Prieto Dental, fusionamos arte, tecnología y máxima precisión para diseñar sonrisas únicas, auténticas y completamente personalizadas.