Carillas de composite: opiniones, ventajas, desventajas
Las carillas de composite (también llamadas carillas de resina) son una de las opciones más populares en odontología estética. Permiten mejorar la forma, el tamaño y el color de los dientes en una sola visita y a un precio más económico que las carillas de porcelana.
Sin embargo, antes de elegir este tratamiento conviene conocer sus opiniones reales, ventajas, desventajas, duración y precio en España.
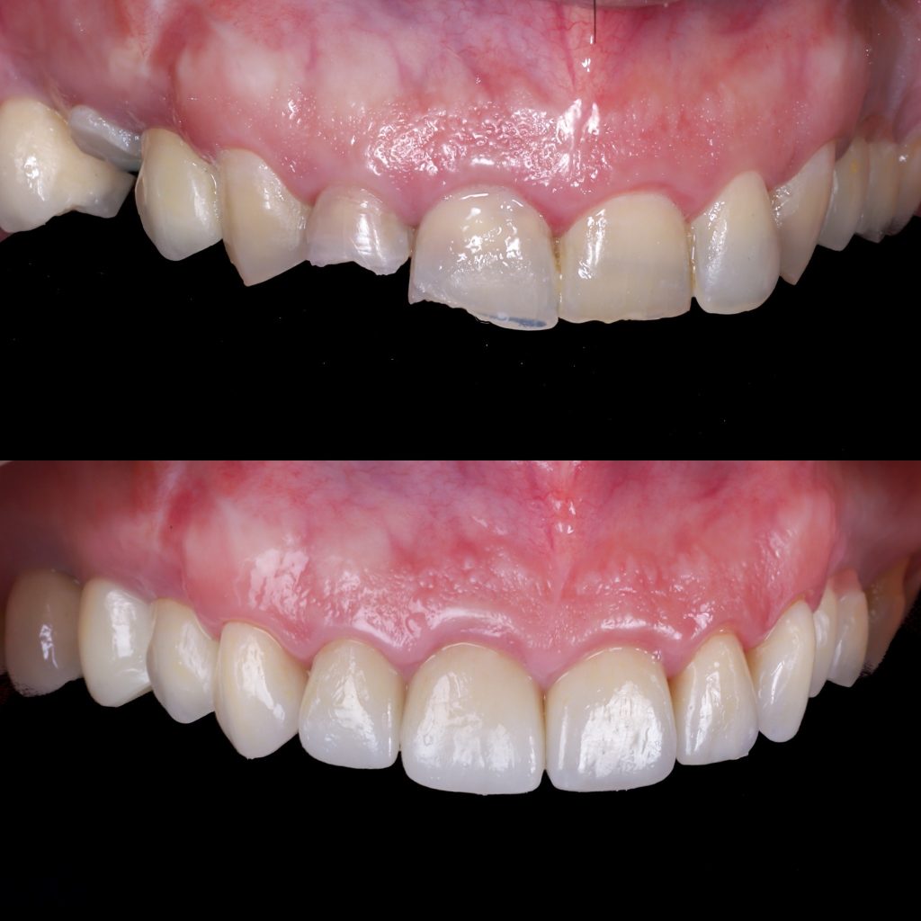
En Alejandro Prieto Dental, en el Barrio de Salamanca (Madrid), trabajamos solo con carillas de porcelana. Muchos pacientes acuden a nosotros después de haber llevado composite y desean cambiarlas a porcelana por su aspecto más natural y su alta durabilidad.
¿Qué son las carillas de composite?
Son capas muy finas de resina que se aplican directamente sobre el diente. El dentista las moldea en clínica en una sola sesión, lo que permite resultados rápidos y visibles desde el primer momento.
Según la El Colegio de Higienistas de Madrid, existen carillas de resina y de porcelana. Aunque ambas mejoran la sonrisa, la porcelana es más duradera y conserva mejor el color con el paso del tiempo.
Opiniones sobre las carillas de composite
Los pacientes suelen destacar aspectos positivos y negativos.
Valoraciones positivas
- Precio inicial más económico.
- Colocación rápida en una sola visita.
- Reparación sencilla en caso de daño.
Valoraciones negativas
- Pierden brillo con el tiempo.
- Se manchan con café, té, vino o tabaco.
- Necesitan retoques frecuentes.
Un reportaje, El Economista recoge la opinión de especialistas que señalan cómo la porcelana ofrece mejores resultados en estética y durabilidad.
¿Cuánto duran?
Las carillas de composite suelen durar entre 4 y 7 años. La cifra depende de la higiene, los hábitos del paciente y el cuidado profesional.
En comparación, las carillas de porcelana alcanzan entre 10 y 15 años o incluso más. Según Journal American Dental Association, la diferencia es clara: el composite es una solución temporal, mientras que la porcelana se considera una inversión a largo plazo.
Precio
El precio de una carilla de composite en España está entre 200 € y 400 € por diente. Es una opción más económica que la porcelana, cuyo rango se sitúa entre 450 € y 800 € por diente.
Aunque el coste inicial es más bajo, muchos pacientes consideran que la porcelana resulta más rentable a largo plazo por su durabilidad y estética natural.
Ventajas
- Tratamiento rápido en una sola visita.
- Precio más accesible que la porcelana.
- Poco o ningún desgaste dental.
- Se pueden reparar directamente en clínica.
Desventajas
- Duración más corta: 4–7 años frente a 10–15 de la porcelana.
- Se manchan con facilidad.
- Estética menos natural y pérdida de brillo con el tiempo.
- Necesidad de mantenimiento y retoques periódicos.
En Infosalus, expertos en odontología señalan que la elección depende del presupuesto, pero para un resultado duradero y estético lo ideal es optar por porcelana.
Carillas de composite vs porcelana: comparativa real
Las carillas de composite ofrecen rapidez y menor precio. Sin embargo, la porcelana aporta más naturalidad, brillo y durabilidad.
En nuestra clínica de Madrid recibimos con frecuencia pacientes que quieren cambiar sus carillas de composite por porcelana, buscando un resultado más estético y que no se deteriore con el tiempo.

Preguntas frecuentes sobre opiniones a las carillas de composite
¿Cuáles son los inconvenientes de las carillas de composite?
Se manchan con facilidad, requieren retoques frecuentes y duran menos que las de porcelana.
¿Cuánto tiempo duran las carillas de composite?
Por lo general, entre 4 y 7 años. Todo depende de la higiene, los cuidados y los hábitos del paciente.
¿Cuánto puede costar una carilla de composite?
En España, el precio suele estar entre 200 € y 400 € por diente. El coste varía según la clínica y la complejidad del caso.
¿Cuáles son las desventajas de las carillas compuestas?
Menor durabilidad, tendencia a perder brillo, más riesgo de manchas y necesidad de mantenimiento regular.
Conclusión
Las carillas de composite son una opción rápida y económica para mejorar la sonrisa. Sin embargo, su durabilidad y estética no se comparan con las carillas de porcelana.
Por eso, muchos pacientes optan por cambiar el composite por porcelana para conseguir una sonrisa más natural, luminosa y duradera.
En Alejandro Prieto Dental ofrecemos carillas de porcelana con protocolo 100% digital y laboratorio propio, logrando resultados de alta estética y larga duración.
¿Quieres una evaluación personalizada? Agenda tu primera consulta gratuita en Madrid y descubre qué tratamiento se adapta mejor a tu caso.



