Carillas dentales en Madrid: tipos, precios y opiniones
Las carillas dentales en Madrid son uno de los tratamientos más demandados en odontología estética. Con ellas puedes transformar tu sonrisa de forma rápida, segura y duradera. En esta guía te contamos qué son, cómo se ponen, qué tipos existen, el precio en España y en Madrid, así como las ventajas y desventajas para que elijas con toda la información.

Carillas dentales: qué son y para qué sirven
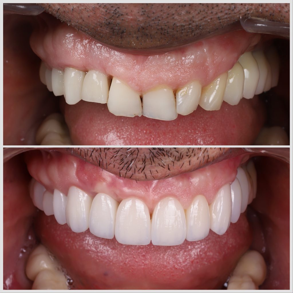
Las carillas dentales son láminas muy finas de porcelana o composite que se adhieren a la parte frontal del diente. Su función es mejorar la estética dental corrigiendo:
- Manchas resistentes al blanqueamiento.
- Fracturas o bordes desgastados.
- Dientes desalineados o con formas irregulares.
- Espacios entre dientes.
En resumen: si buscas un cambio rápido en tu sonrisa, las carillas son la opción ideal.

Tipos de carillas dentales en Madrid
En nuestra clínica de Madrid ofrecemos todos los tipos de carillas dentales:
- Carillas de porcelana: máxima estética y durabilidad (10–15 años). Con translucidez del esmalte. Fabricadas en laboratorio con tecnología CAD/CAM.
- Carillas de composite: opción más económica. Se realizan en clínica en una sola visita, pero duran menos (4–7 años).
- Composite bonding Madrid: técnica mínimamente invasiva para pequeñas correcciones, ideal para mejorar forma y tamaño.
Además, existen carillas ultrafinas “no-prep” que no requieren tallar esmalte.

Carillas dentales precio en Madrid y en España
El precio de las carillas dentales en España depende del material y la clínica:
- Carillas de porcelana: entre 400 € y 650 € por diente.
- Carillas de composite: entre 200 € y 400 € por diente.
En clínicas franquiciadas como Vitaldent, los precios pueden estar dentro de estos rangos, aunque la calidad y la personalización varían según el laboratorio.
En nuestra clínica en el Barrio de Salamanca, Madrid, el precio incluye estudio digital de sonrisa, escáner 3D y laboratorio en exclusiva para un resultado altamente estético y natural.

Carillas dentales con seguros y financiación en Madrid
Muchos pacientes preguntan por carillas dentales con Adeslas o con otros seguros. Generalmente, las aseguradoras no cubren este tratamiento porque es estético, aunque algunas ofrecen descuentos. En nuestra clínica te damos opciones de financiación flexible para que el precio no sea un obstáculo.
¿Cómo se ponen las carillas dentales?
El procedimiento de carillas dentales es sencillo y cómodo:
- Evaluación y diseño digital de la sonrisa.
- Preparación mínima del diente (a veces sin tallado).
- Escaneo digital 3D e impresión para laboratorio.
- Colocación de carillas provisionales.
- Cementado final con luz LED.
En 2 visitas puedes disfrutar de una sonrisa renovada.
Ventajas y desventajas de las carillas dentales en Madrid
Ventajas:
- Resultados inmediatos.
- Alta estética y naturalidad.
- Tratamiento mínimamente invasivo.
Desventajas:
- En algunos casos donde hace falta tallado, no son reversibles: una vez colocadas, el diente siempre necesitará carilla.
- Precio más alto que otros tratamientos como el blanqueamiento.
- En composite, necesitan retoques periódicos y tienen resultado menos natural.
Carillas dentales porcelana vs composite
| Característica | Carillas porcelana | Carillas composite |
|---|---|---|
| Duración media | 10–15 años | 4–7 años |
| Estética | Muy alta, aspecto natural | Correcta, menos natural |
| Precio aprox. en Madrid | 400–650 € por diente | 200–400 € por diente |
| Visitas necesarias | 2 (preparación y colocación) | 1 (moldeado en clínica) |
FAQ sobre carillas dentales en Madrid
¿Carillas dentales qué son?
Son láminas finas que se colocan en la parte frontal del diente para mejorar su estética en color, forma y tamaño.
¿Cuánto cuestan las carillas dentales en Madrid?
En Madrid, las de porcelana cuestan entre 400 € y 650 € por diente, y las de composite entre 200 € y 400 €.
¿Hay que limar los dientes para poner carillas?
En la mayoría de los casos se elimina solo una capa mínima de esmalte (0,3–0,5 mm). En carillas ultrafinas no es necesario tallado.
¿Carillas dentales Adeslas las cubre?
No están incluidas, aunque algunos seguros ofrecen descuentos en clínicas asociadas. Nosotros trabajamos con los seguros más relevantes de España.
¿Qué diferencia hay con implantes dentales?
Las carillas mejoran dientes naturales, mientras que los implantes reemplazan piezas ausentes. Son tratamientos distintos.
Carillas dentales en Madrid: tu mejor opción
Si buscas un dentista en Madrid especializado en estética dental, en Alejandro Prieto Dental ofrecemos carillas de alta estética de porcelana. Usamos protocolo 100% digital, tenemos laboratorio exclusivo y garantizamos resultados altamente naturales.
Estamos en el Barrio de Salamanca, cerca del Intercambiador de Avenida América. Atendemos en español e inglés y ofrecemos financiación flexible.
Da el paso hacia tu nueva sonrisa. Pide tu primera consulta gratuita y descubre por qué somos referencia en carillas dentales en Madrid.
