¿Por qué aparecen las llagas boca? Causas y Tratamientos
Llagas boca: Todo lo que debes saber para tratarlas Las llagas boca son úlceras dolorosas que aparecen en los tejidos […]
Llagas boca: Todo lo que debes saber para tratarlas Las llagas boca son úlceras dolorosas que aparecen en los tejidos […]
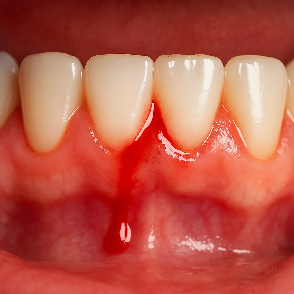
Causas y soluciones al sangrado de encías El sangrado de encías es un síntoma común que muchas personas pasan por
Encías negras: causas, tratamiento y cómo recuperar el color natural El color de las encías influye directamente en la armonía
Encías retraídas: causas y tratamiento definitivo Uno de los problemas más habituales de las encías son las encías retraídas. Según
Causas y soluciones al sangrado de encías El sangrado de encías es un síntoma común que muchas personas pasan por
Encías inflamadas: causas, síntomas y tratamientos Las encías inflamadas son uno de los problemas más frecuentes en la salud bucodental,
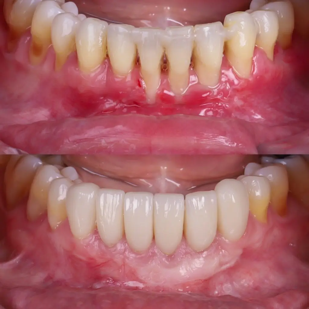
Fotos de carillas dentales: resultados reales antes y después Las carillas dentales son uno de los tratamientos más demandados en odontología estética. En este post vamos a enseñarte varias fotos de carillas dentales, casos reales antes y después, llevados a cabo en nuestra clínica. De esta forma puedes saber qué esperar y decidir si este […]
¿Cómo se pone una carilla dental? Las carillas dentales son uno de los tratamientos más demandados en odontología estética. Permiten mejorar el color, la forma y la posición de los dientes en pocas visitas. En esta guía te explicamos cómo se pone una carilla dental, qué tipos existen, su precio en Madrid, sus ventajas y […]
Corona de metal porcelana : cuándo usarlas y precio Las coronas dentales de porcelana, también conocidas como metal porcelana (y a menudo llamadas fundas) son recubrimientos dentales hechos a medida que se utilizan para restaurar dientes muy dañados, fracturados o con caries extensas. Una corona cubre completamente un diente previamente preparado, devolviéndole su forma, tamaño […]
Carillas dentales en Madrid: tipos, precios y opiniones Las carillas dentales en Madrid son uno de los tratamientos más demandados en odontología estética. Con ellas puedes transformar tu sonrisa de forma rápida, segura y duradera. En esta guía te contamos qué son, cómo se ponen, qué tipos existen, el precio en España y en Madrid, así […]