Causas y soluciones al sangrado de encías
Causas y soluciones al sangrado de encías El sangrado de encías es un síntoma común que muchas personas pasan por […]
Causas y soluciones al sangrado de encías El sangrado de encías es un síntoma común que muchas personas pasan por […]
Encías negras: causas, tratamiento y cómo recuperar el color natural El color de las encías influye directamente en la armonía
Encías retraídas: causas y tratamiento definitivo Uno de los problemas más habituales de las encías son las encías retraídas. Según
Causas y soluciones al sangrado de encías El sangrado de encías es un síntoma común que muchas personas pasan por
Encías inflamadas: causas, síntomas y tratamientos Las encías inflamadas son uno de los problemas más frecuentes en la salud bucodental,
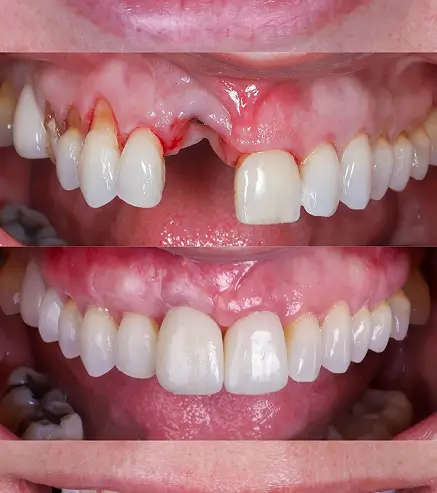
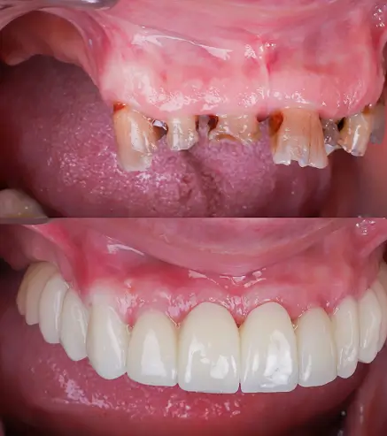
Implantes dentales en Madrid: todo lo que debes saber ¿Qué son los implantes dentales? Un implante dental es un pequeño tornillo de titanio que se coloca en el hueso maxilar para sustituir la raíz de un diente perdido. Una vez cicatrizado, se coloca encima un pilar y una corona que imita a un diente natural. […]
¿Qué es la cirugía guiada para implantes dentales? La cirugía guiada para implantes dentales es una técnica avanzada de implantología que utiliza imágenes 3D y software digital para planificar con exactitud la posición del implante antes de la cirugía. En lugar de colocar el implante “a mano alzada”, el dentista diseña en el ordenador la posición […]
Cirugía dental para implantes dentales En este post vamos a hablar del proceso completo de cirugía dental para colocación de implantes dentales. Para comenzar, es importante destacar que los implantes dentales son “raíces” dentales artificiales: pequeños tornillos de titanio colocados quirúrgicamente en el hueso maxilar para sostener un diente de reemplazo (corona). En otras palabras, […]
¿Cuál es el proceso de colocación de un implante dental? En este artículo explicamos cada paso del proceso de colocación de un implante dental, cuánto tiempo dura y qué esperar durante la recuperación. Para comenzar, es importante entender que los implantes dentales son una solución confiable y a largo plazo para reemplazar dientes perdidos. Un […]
¿Qué son los implantes dentales Yuxtaóseos? En Alejandro Prieto Dental, en el Barrio de Salamanca (Madrid), somos especialistas en los casos más complejos de implantología. Cuando no hay hueso suficiente para un implante convencional, existen técnicas avanzadas como los implantes yuxtaóseos o subperiósticos, los implantes cigomáticos y los implantes pterigoideos. Los implantes yuxtaóseos son una […]