¿Qué es la cirugía guiada para implantes dentales?
La cirugía guiada para implantes dentales es una técnica avanzada de implantología que utiliza imágenes 3D y software digital para planificar con exactitud la posición del implante antes de la cirugía.
En lugar de colocar el implante “a mano alzada”, el dentista diseña en el ordenador la posición ideal (ángulo, profundidad y ubicación). Después, se fabrica una férula quirúrgica personalizada que guía cada movimiento durante la operación.
En resumen: es como usar un “GPS dental” que aumenta la precisión, reduce los riesgos y hace que la cirugía sea más cómoda y rápida.
¿Cómo funciona paso a paso?
- Estudio inicial
- Se revisa tu salud oral y general.
- Se realizan radiografías y un escáner 3D (CBCT).
- Planificación digital
- El software simula la colocación del implante sobre tu hueso.
- El dentista elige la mejor posición y tamaño.
- Diseño y fabricación de la guía
- Se crea una férula personalizada mediante impresión 3D.
- Esta guía encaja en tu boca y dirige con precisión el fresado y la colocación del implante.
- Cirugía mínimamente invasiva
- Se coloca el implante a través de la guía quirúrgica.
- Gracias a esta precisión, la cirugía es más rápida y con incisiones más pequeñas.
- Recuperación y seguimiento
- Menos dolor e inflamación que con la cirugía tradicional.
- Revisiones periódicas para comprobar la osteointegración.
- Si es posible, se coloca un diente provisional el mismo día.
Ventajas de la cirugía guiada para implantes frente a la tradicional
- Más precisión: la planificación digital reduce el margen de error.
- Más segura: se evitan nervios, senos maxilares u otras estructuras sensibles.
- Más rápida: la cirugía suele durar menos de una hora por implante.
- Más cómoda: incisiones mínimas, menos inflamación y recuperación más rápida.
- Más estética: permite planificar la prótesis para un mejor resultado final.
- Carga inmediata: en muchos casos, el paciente sale con dientes provisionales el mismo día.
Comparativa cirugía guiada y cirugía tradicional:
| Aspecto | Cirugía tradicional | Cirugía guiada |
|---|---|---|
| Precisión en la posición | Menos control, variabilidad | Alta precisión gracias a guía digital |
| Tiempo de cirugía | Más largo, más invasivo | Más corto, mínimamente invasivo |
| Comodidad postoperatoria | Mayor dolor, inflamación | Menos dolor, mejor recuperación |
| Riesgo de errores anatómicos | Más alto | Reducido al mínimo |
| Posibilidad de prótesis inmediata | Depende del caso | Aplicable con mayor frecuencia cuando condiciones lo permiten |
¿Qué limitaciones tiene?
Aunque es muy ventajosa, la cirugía guiada no siempre es la mejor opción:
- Puede tener un coste más elevado que la cirugía tradicional.
- Requiere tiempo de planificación y fabricación de la férula.
Por eso es fundamental una valoración previa con un especialista en implantología.
¿Cuánto dura la cirugía guiada para implantes?
- Duración de la cirugía: entre 30 y 60 minutos por implante.
- Recuperación inicial: molestias leves de 2–3 días, con dieta blanda y cuidados básicos.
- Osteointegración: el hueso tarda de 3 a 6 meses en unirse al implante.
- Corona definitiva: se coloca después de este periodo, aunque en muchos casos se ponen provisionales inmediatos.
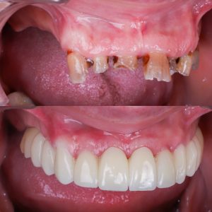
Con cirugía guiada, el paciente puede disfrutar de dientes provisionales desde el primer día y, tras la cicatrización, recibir la prótesis definitiva.
Preguntas frecuentes sobre cirugía guiada para implantes
¿La cirugía guiada duele?
No. Se realiza con anestesia local y, si lo deseas, con sedación consciente. Solo puedes notar presión, pero no dolor.
¿La recuperación es más rápida que en la cirugía tradicional?
Sí. Al ser mínimamente invasiva, suele haber menos hinchazón, menos dolor y un postoperatorio más cómodo.
¿Es más cara la cirugía guiada?
No, a pesar de que muchos pacientes lo consideran una inversión por los beneficios en seguridad, estética y comodidad.
¿Siempre se pueden colocar dientes el mismo día?
Depende del hueso y la estabilidad inicial del implante. Cuando las condiciones son buenas, se pueden poner dientes provisionales inmediatos.
Conclusión
La cirugía guiada para implantes dentales es la técnica más precisa, cómoda y segura para colocar implantes hoy en día. Permite planificar cada detalle antes de entrar al quirófano y ofrece mejores resultados estéticos y funcionales.
En Dr. Alejandro Prieto Clínica Dental, en Madrid, somos especialistas en implantología avanzada con planificación digital 3D y cirugía guiada. Nuestro objetivo es que recuperes tu sonrisa con la máxima seguridad, rapidez y estética.
Si quieres cambiar tu sonrisa con la última tecnología, durabilidad y estética, pide tu cita aquí.



