¿Cómo se pone una carilla dental?
Las carillas dentales son uno de los tratamientos más demandados en odontología estética. Permiten mejorar el color, la forma y la posición de los dientes en pocas visitas. En esta guía te explicamos cómo se pone una carilla dental, qué tipos existen, su precio en Madrid, sus ventajas y desventajas, y resolvemos las preguntas más frecuentes.

¿Qué son las carillas dentales?
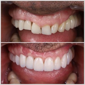
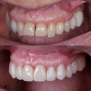
Las carillas dentales son láminas muy finas de porcelana o composite que se colocan en la parte frontal del diente para mejorar su apariencia. Se adhieren de forma permanente, creando una sonrisa más blanca, uniforme y estética.
En inglés, las carillas dentales se conocen como dental veneers.
Tipos de carillas dentales
Existen varios tipos de carillas dentales según el material y el procedimiento:
- Carillas de porcelana: se fabrican en nuestro laboratorio en exclusiva con tecnología CAD/CAM. Destacan por su aspecto natural, alta resistencia y durabilidad (al menos 15 años).
- Carillas de composite: se moldean directamente sobre el diente en la clínica. Son más económicas, pero duran menos (4–7 años) y requieren retoques.
Las carillas dentales de porcelana son la opción más recomendada cuando se busca un resultado estético y duradero.
Cómo se pone una carilla dental: procedimiento paso a paso
El procedimiento de carillas dentales es rápido y cómodo. Estos son los pasos principales:
1. Consulta y planificación
En la primera cita, el dentista revisa la boca y define los objetivos estéticos. Con radiografías y escaneos digitales en 3D se crea un diseño digital de sonrisa (DSD) que permite previsualizar el resultado antes de empezar.
2. Preparación del diente
Muchos pacientes preguntan: ¿hay que limar los dientes para poner carillas?
En la mayoría de los casos se elimina solo una capa mínima de esmalte (0,3–0,5 mm). En carillas ultrafinas o “no-prep”, puede no ser necesario. Este paso es indoloro y garantiza un ajuste perfecto.
3. Impresiones y fabricación
Tras preparar los dientes, se toma un escaneo digital en 3D. El modelo se envía a nuestro laboratorio en exclusiva, donde se fabrican las carillas personalizadas en porcelana o composite. El proceso tarda entre una y dos semanas. Durante este tiempo se colocan carillas provisionales.
4. Colocación y cementado final
Una vez listas, las carillas se prueban en la boca. Si el ajuste y el color son correctos, se adhieren de forma definitiva con un cemento especial y luz LED. El resultado es inmediato y natural.
En resumen: así es como se pone una carilla dental: preparación mínima, impresión digital y colocación definitiva en una o dos visitas.
Carillas dentales precio en Madrid
El precio de las carillas dentales en Madrid depende del material:
- Carillas de porcelana: entre 400 € y 650 € por diente.
- Carillas de composite: entre 200 € y 400 € por diente.
Las carillas de porcelana tienen un coste mayor, pero ofrecen mejor estética y mayor duración.
Carillas dentales desventajas
Aunque las carillas son un tratamiento seguro, existen algunas desventajas que conviene conocer:
- No son reversibles: una vez colocadas, el diente siempre necesitará una carilla.
- Requieren tallar ligeramente el esmalte en la mayoría de los casos.
- Precio más alto que otros tratamientos estéticos.
- Riesgo de fractura o desprendimiento si no se cuidan correctamente.
Cuidados y mantenimiento
Para que las carillas se mantengan perfectas durante años, sigue estas recomendaciones:
- Cepíllate dos veces al día con pasta fluorada.
- Usa hilo dental a diario.
- Evita morder hielo, uñas o caramelos duros.
- Modera el consumo de café, vino y tabaco.
- Acude a revisiones periódicas en tu clínica dental.
Con estos cuidados, las carillas de porcelana pueden durar entre 10 y 15 años.

Preguntas frecuentes sobre cómo se pone una carilla dental
¿Cómo se ponen las carillas en los dientes?
El dentista elimina una fina capa de esmalte, toma un molde digital y fabrica la carilla a medida. Después se coloca y fija con cemento especial y luz LED.
¿Cuánto cobran por poner una carilla dental?
En Madrid, las carillas de porcelana cuestan entre 400 € y 650 € por diente. Las de composite, entre 200 € y 400 €.
¿Qué se necesita para ponerse carillas?
Encías sanas, dientes libres de caries y una buena higiene oral. Si hay problemas previos, deben tratarse antes.
¿Cuánto cobran por ponerse carillas?
El precio depende del material y el número de dientes. Un tratamiento completo puede oscilar entre 200 € por diente en composite y 650 € en porcelana.
Conclusión
Ahora ya sabes cómo se pone una carilla dental y qué esperar del procedimiento. Es un tratamiento rápido, seguro y con resultados inmediatos. En nuestra clínica en Madrid utilizamos protocolo 100% digital, materiales de máxima calidad y ofrecemos opciones tanto en porcelana como en composite.
Pide tu consulta gratuita en Alejandro Prieto Dental y descubre si las carillas dentales son la solución ideal para tu sonrisa.
