Dentadura completa fija: la solución definitiva para recuperar tu sonrisa
En Alejandro Prieto Dental, somos especialistas en dentadura completas fija sobre implantes, una solución avanzada, cómoda y estética que te permite volver a masticar, hablar y sonreír con total confianza, sin paladar artificial ni adhesivos.
¿Qué es una dentadura completa fija?
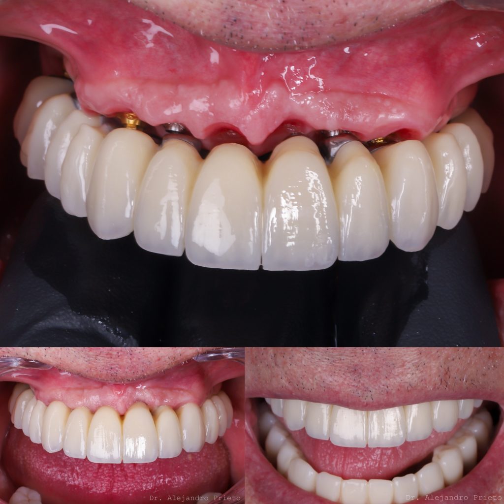
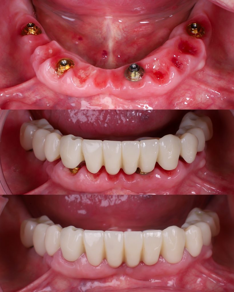
Una dentadura completa fija es una prótesis dental sujeta de manera permanente sobre implantes dentales. A diferencia de una dentadura postiza tradicional, no se mueve, no se retira para limpiar y ofrece una sensación idéntica a tener dientes naturales.
Existen diferentes tipos de prótesis dentales fijas, según el número de implantes necesarios y el tipo de material empleado. La más común es la llamada dentadura fija sobre 4 implantes, también conocida como All-on-4, aunque en algunos casos se utilizan 6 implantes (All-on-6) para mayor estabilidad.
Dentadura fija sobre 4 implantes: precio y ventajas
Según el Consejo de Dentistas, La dentadura fija sobre 4 implantes es una opción ideal para quienes han perdido todos los dientes en una arcada (superior o inferior).
>El precio puede variar en función del material y la tecnología utilizada, pero en Alejandro Prieto Dental ofrecemos opciones personalizadas y financiación a medida.
Ventajas principales:
- Resultados naturales y estables.
- Sin paladar artificial ni adhesivos.
- Recuperación rápida con técnicas mínimamente invasivas.
- Masticación y fonética como con dientes naturales.
- Garantía de por vida en los implantes.
Prótesis dental fija: precio y tipos
El precio de una prótesis dental fija depende del número de implantes, del material (metal-cerámica, zirconio, resina híbrida) y del tipo de anclaje.
>En general, una dentadura fija completa tiene un coste más alto que una prótesis removible, pero ofrece una durabilidad y confort incomparables.
En nuestra clínica utilizamos planificación digital 3D, cirugía guiada y materiales de última generación para lograr un ajuste perfecto y una estética natural.
Dentadura postiza vs dentadura fija
Una dentadura postiza tradicional se apoya sobre la encía y puede moverse al hablar o comer. En cambio, una dentadura postiza fija sin implantes se sujeta mediante sistemas de anclaje o adhesivos, aunque no ofrece la misma estabilidad ni comodidad que la opción con implantes.
Si buscas una solución sin paladar y más estética, las dentaduras postizas sin paladar o prótesis dentales fijas sobre implantes son la opción ideal.
Precio de una dentadura completa fija
Los pacientes suelen preguntar:
- ¿Cuánto cuesta una dentadura completa fija?
- ¿Cuál es el precio de una dentadura postiza fija completa?
- ¿Cuánto vale una dentadura fija completa?
El precio de una dentadura completa fija en España suele oscilar entre 15.000 € y 17.000 € por arcada, dependiendo del número de implantes, el tipo de prótesis y los materiales empleados.
>En Alejandro Prieto Dental, ofrecemos planes personalizados, con la posibilidad de financiación sin intereses y una garantía de por vida en los implantes.
Opiniones sobre la dentadura completa fija
Las opiniones de pacientes que se han colocado una dentadura fija completa son muy positivas.
La mayoría destaca:
- El confort al comer y hablar.
- La estética natural.
- La seguridad y confianza recuperadas.
En Alejandro Prieto Dental, cientos de pacientes han transformado su vida con este tratamiento, recuperando una sonrisa natural y funcional.
¿Cuántos implantes se necesitan para una dentadura fija?
Normalmente se colocan 4 a 6 implantes por arcada para asegurar una fijación sólida.
El número exacto depende de la cantidad y calidad del hueso, así como del tipo de prótesis seleccionada.
¿Cuánto tiempo se tarda en poner una dentadura fija?
Gracias a la tecnología de cirugía guiada y carga inmediata, es posible colocar los implantes y una prótesis provisional en el mismo día.
>El proceso completo, con la prótesis definitiva, suele completarse en 2 a 3 meses, una vez el hueso se ha integrado con los implantes.
Prótesis dentales precios y mantenimiento
El mantenimiento de una prótesis dental fija es sencillo: basta con una buena higiene diaria y revisiones periódicas.
En nuestra clínica, utilizamos materiales de alta estética y resistencia que aseguran una larga durabilidad y mínimo mantenimiento.

Conclusión
En Alejandro Prieto Dental, somos referentes en implantología avanzada y prótesis completas fijas de alta estética.
Ofrecemos garantía de por vida en los implantes, tecnología digital 3D y la opción de anestesia consciente para que el tratamiento sea completamente cómodo.
Reserva tu valoración sin coste
Madrid | Clínica especializada en implantes y dentaduras completas fijas
Preguntas frecuentes
¿Cuánto cuesta una dentadura postiza fija completa?
El precio de una dentadura postiza fija completa varía según el número de implantes y el material. En promedio, entre 6.000 € y 12.000 € por arcada.
¿Cuánto cuesta una dentadura fija completa?
En nuestra clínica, la dentadura fija completa sobre implantes tiene un precio personalizado según el caso, con financiación sin intereses y garantía de por vida.
¿Cuántos implantes son necesarios para una dentadura fija?
Generalmente se necesitan 4 a 6 implantes por arcada, aunque cada caso se estudia de forma individual mediante un escáner 3D.
¿Cuánto tiempo se tarda en poner una dentadura fija?
Con técnicas de carga inmediata, puedes estrenar dientes fijos en un solo día. El proceso total de integración puede durar entre 2 y 3 meses.
¿Hay diferencia entre una prótesis removible y una dentadura fija?
Sí. La prótesis removible se quita para limpiar y puede moverse, mientras que la dentadura fija se sujeta sobre implantes y ofrece una sensación natural y estable.


