Diferencia entre carillas y fundas dentales: te lo explicamos todo
Las coronas dentales y las carillas son dos soluciones comunes para mejorar la sonrisa, pero cumplen funciones diferentes. En Alejandro Prieto Dental, en Barrio Salamanca, Madrid, nos especializamos tanto en tratamientos dentales restauradores como estéticos.
Muchos pacientes preguntan sobre la diferencia entre una corona dental y una carilla, así como sobre el coste de estos tratamientos. En este artículo explicaremos de forma sencilla qué son las coronas, los tipos y precios de coronas dentales, y cómo se comparan con las carillas.
Nuestro objetivo es ayudarte a tomar una decisión informada para lograr una sonrisa más sana y estética.
¿Qué es una funda dental?
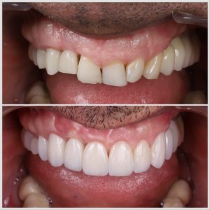
Una corona dental (a menudo llamada “funda”) es una cubierta hecha a medida que recubre todo el diente. Restaura la forma, la resistencia y la apariencia del diente. Normalmente se recomienda cuando un diente está muy dañado o debilitado, por ejemplo, tras una caries extensa, una fractura o un tratamiento de conductos. Al cubrir todo el diente, la corona lo mantiene unido y lo protege de más daños.
Principales beneficios de las fundas dentales:
-
Resistencia y protección: Refuerza un diente debilitado (por una gran obturación o tras una endodoncia) y evita que se fracture.
-
Función restaurada: Permite volver a masticar y morder con normalidad, ya que devuelve al diente su forma y durabilidad.
-
Apariencia natural: Las coronas modernas son del mismo color del diente y se personalizan para integrarse perfectamente con la sonrisa.
-
Solución duradera: Fabricadas con materiales resistentes, pueden durar muchos años (10–15 o más) con una buena higiene oral.

Tipos de coronas dentales
Existen varios tipos de coronas, que se diferencian principalmente por el material del que están hechas. Recomendaremos la mejor opción en función de la ubicación del diente, tus objetivos estéticos y tu presupuesto. Los tipos más comunes son:
-
Coronas de porcelana (todo cerámica): Fabricadas íntegramente en porcelana o cerámica. Ofrecen la apariencia más natural, imitando el color y la translucidez del esmalte dental. Son ideales para los dientes anteriores o los que se ven al sonreír. No llevan metal y son biocompatibles, perfectas para pacientes con sensibilidad a los metales.
-
Coronas de zirconio: El zirconio es un material cerámico muy resistente. Estas coronas son duraderas, estéticas y soportan grandes fuerzas de mordida, por lo que son ideales para molares. Combinan resistencia y aspecto natural, lo que las hace muy populares para restauraciones posteriores.
-
Coronas metal-porcelana (PFM): Combinan una base metálica con una capa externa de porcelana. El metal aporta fuerza y la porcelana un aspecto similar al diente. Se han usado durante décadas por su resistencia y ajuste. Son algo menos translúcidas que las de cerámica pura, pero siguen ofreciendo buenos resultados estéticos y suelen ser una opción más económica.
-
Coronas metálicas (oro o aleaciones): Hechas completamente de metal (oro o aleaciones dentales). Aunque no son del color del diente, son las más duraderas y rara vez se fracturan. Requieren menos desgaste dental y suelen colocarse en molares posteriores, donde no se ven. Algunos pacientes eligen las de oro por su longevidad y porque desgastan menos a los dientes opuestos.
¿Cuánto cuestan las fundas dentales en Madrid?
Una de las preguntas más comunes es sobre el precio. En Madrid, el coste suele oscilar entre 350 € y 650 € por diente, dependiendo del material y de la complejidad del caso. Las opciones premium, como las coronas de zirconio o cerámica pura, se sitúan en el rango más alto.
Tratamientos adicionales, como endodoncias o reconstrucción de dientes muy dañados, también pueden influir en el precio final. Para pacientes que necesitan varias coronas o rehabilitaciones completas, elaboramos planes personalizados que ajustan el coste por pieza y ofrecemos opciones de financiación para tratamientos extensos.
Varios factores afectan al precio, como el material elegido, el número de dientes a tratar y el trabajo preparatorio necesario. En nuestra clínica la transparencia es fundamental: entregamos un presupuesto detallado antes de comenzar.
Combinamos precios competitivos con tecnología CAD/CAM de última generación y materiales de primera calidad, para garantizar coronas precisas, duraderas y naturales. Invertir en una corona no solo restaura la función y la estética, sino que también puede salvar un diente de la extracción, aportando valor a largo plazo y tranquilidad.
Consejo: También ofrecemos planes de pago flexibles y financiación hasta 48 meses para tratamientos extensos. No dudes en consultarnos sobre las opciones de pago para que tu tratamiento dental sea lo más accesible posible.

Diferencia entre carillas y fundas dentales:
| Característica | Carillas dentales | Fundas dentales (coronas) |
|---|---|---|
| Cobertura | Solo la parte frontal del diente | Todo el diente, cubre 360º |
| Objetivo principal | Estética: mejorar color, forma y tamaño | Restauración: proteger y reforzar dientes dañados |
| Reducción dental | Mínima, conserva la mayor parte del esmalte | Mayor tallado, se reduce más estructura dental |
| Materiales comunes | Porcelana o composite | Porcelana, zirconio o metal-porcelana |
| Duración media | 10–15 años (porcelana) / 4–7 años (composite) | 10–15 años o más según material y cuidado |
| Precio en Madrid | Carillas de porcelana: 400–650 € por diente. Carillas de composite: 200–400 € (menor duración). | 350–650 € por corona, según material y complejidad |
| Cuándo se recomienda | Manchas, fracturas leves, dientes pequeños o desalineados | Dientes debilitados, fracturados o tras endodoncia |
En resumen: las carillas son más conservadoras y se centran en la estética, mientras que las fundas cubren todo el diente y se usan cuando está más dañado. El precio de las carillas de porcelana es similar al de una corona dental en Madrid.

Si buscas un cambio estético integral con mínimdo talla, explora nuestras carillas de alta estética y el diseño digital de sonrisa, que te permite previsualizar el resultado antes de empezar.
¿carillas o fundas dentales?
Elegir entre una corona y una carilla depende del estado del diente y de tus objetivos. Normalmente se recomienda una corona cuando el diente está roto, tiene una obturación grande o ha pasado por un tratamiento de conductos, especialmente en los molares que soportan la mayor fuerza de masticación.
Las carillas, en cambio, son ideales si el diente está sano pero deseas mejorar su color, forma o una ligera alineación. Además, representan una manera conservadora de embellecer los dientes anteriores, especialmente en casos de manchas resistentes o pequeñas fracturas.
Por otro lado, en algunos tratamientos de diseño de sonrisa completo, se pueden combinar ambas opciones: coronas para los dientes más dañados y carillas para el resto.
Transforma tu sonrisa en Madrid
Nuestro enfoque es totalmente personalizado, garantizando un resultado natural que potencie tu estética facial. Tu sonrisa lo merece, y lograr la sonrisa de tus sueños puede ser más fácil de lo que imaginas.
Ponte en contacto con nosotros en Alejandro Prieto Dental y déjanos ayudarte a devolver la salud y belleza a tu sonrisa con la solución más adecuada: coronas, carillas u otros de nuestros tratamientos especializados. ¡Esperamos verte sonreír con confianza gracias a los resultados!