Encías retraídas: causas y tratamiento definitivo
Uno de los problemas más habituales de las encías son las encías retraídas. Según el Consejo de Dentistas, el 72% de los adultos presenta recesión gingival. Esta afección, no solo afectan la estética de la sonrisa, sino que también pueden causar sensibilidad dental, mayor riesgo de caries y pérdida de soporte en los dientes.
En Alejandro Prieto Dental, en el Barrio Salamanca, Madrid, tratamos esta condición desde un enfoque clínico avanzado y personalizado.
En este artículo descubrirás por qué se retraen las encías, cómo prevenirlo y cuáles son los tratamientos más eficaces, incluidos los injertos de encía, que ofrecen resultados naturales y duraderos.
¿Qué son las encías retraídas?
Hablamos de encías retraídas cuando el tejido que recubre el diente se desplaza hacia la raíz, dejando parte de esta expuesta.
Esto puede ocurrir de forma localizada (en un solo diente) o afectar a toda la arcada.
El resultado es una sonrisa con dientes que parecen más largos, sensibilidad al cepillado o al frío, e incluso dolor de encías.
Si no se trata, la retracción puede avanzar, provocando desgaste de encías y pérdida ósea.

Encías retraídas: causas principales
Las encías retraídas no aparecen de la noche a la mañana. Normalmente, son el resultado de varios factores combinados.
1. Cepillado agresivo o incorrecto
Usar un cepillo duro o aplicar demasiada presión es una de las causas más comunes.
Este hábito daña el esmalte y el margen gingival, provocando desgaste de encías con el tiempo.
2. Enfermedad periodontal
La gingivitis y la periodontitis destruyen progresivamente las fibras de sujeción de la encía.
Si no se tratan, pueden provocar encías retraídas y sangrantes, además de pérdida de hueso.
3. Malposición dental o mordida desequilibrada
Cuando los dientes están desalineados, la presión masticatoria no se reparte correctamente.
Esto genera encía retraída en un solo diente o en zonas concretas.
4. Tabaco, estrés y cambios hormonales
El tabaco reduce el flujo sanguíneo en la encía, y el estrés altera el equilibrio inmunológico.
En mujeres, los cambios hormonales (embarazo, menopausia) también pueden debilitar el tejido.
5. Envejecimiento natural
Con la edad, el tejido pierde colágeno y elasticidad, lo que hace que las encías se retraigan gradualmente.
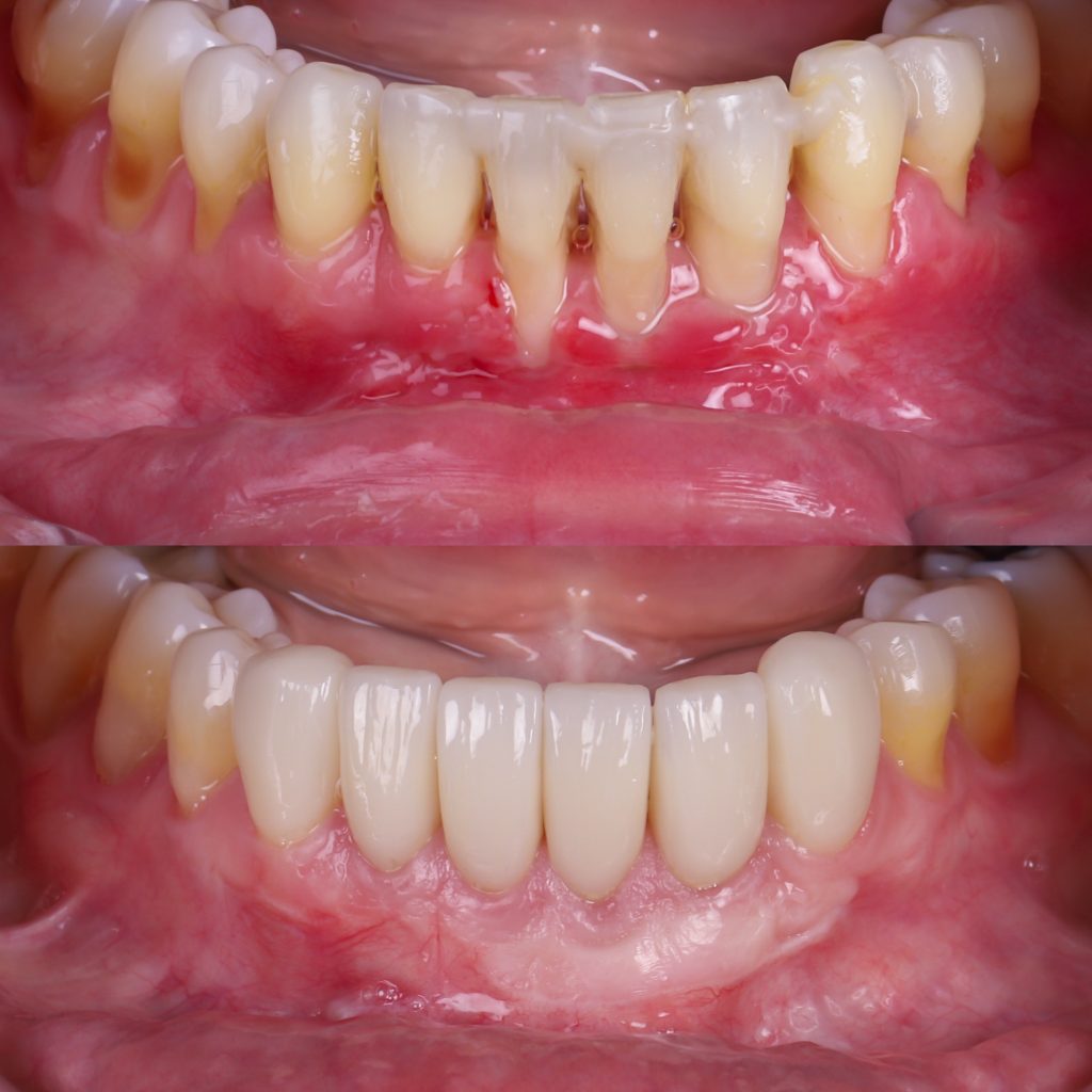
Fotos de encías retraídas antes y después
En las fotos de encías retraídas antes y después del tratamiento puede verse la diferencia:
una encía más gruesa, rosada y firme, y una raíz que vuelve a quedar protegida.
En Alejandro Prieto Dental, documentamos los casos con imágenes clínicas (previo consentimiento del paciente) para mostrar los resultados reales obtenidos con el injerto de encía.
Estos tratamientos logran una mejora estética y funcional visible en pocas semanas.
Cómo curar las encías retraídas
El tratamiento depende del grado de retracción y la causa que la origina. En muchos casos, se combinan higiene profesional, productos específicos y cirugía regenerativa.
1. Limpieza profesional y control periodontal
El primer paso es eliminar la placa y el sarro acumulado mediante un curetaje o raspado radicular.
Esto detiene la inflamación de las encías y permite estabilizar la retracción.
2. Pasta dental para encías retraídas
Usar una pasta de dientes para encías retraídas es esencial para reforzar el tejido y reducir la sensibilidad.
Las más recomendadas incluyen Parodontax Encías, Vitis Encías o Elmex Sensitive.
Estas pastas ayudan a mantener la encía sana, aunque no regeneran el tejido perdido.
3. Terapias de soporte (sin cirugía)
En retracciones leves, se pueden aplicar geles para regenerar las encías, colutorios con ácido hialurónico o sesiones con láser de baja intensidad.
Estas terapias fortalecen la encía y mejoran su aspecto, pero su efecto es limitado.
Injerto de encía: la solución definitiva
Cuando la retracción es moderada o severa, el injerto de encía es el único tratamiento capaz de recuperar el tejido perdido y proteger la raíz dental.
¿En qué consiste?
El procedimiento consiste en trasplantar un pequeño fragmento de tejido (generalmente del paladar o de un biomaterial biocompatible) para cubrir la raíz expuesta.
Este tejido se integra de manera natural, devolviendo volumen, color y firmeza a la encía.
Ventajas:
- Mejora estética inmediata.
- Reducción de la sensibilidad dental.
- Prevención de nuevas retracciones.
- Resultados estables y duraderos.
En Alejandro Prieto Dental, empleamos técnicas microquirúrgicas con anestesia local, sin dolor y con recuperación rápida.
Es una cirugía sencilla, predecible y con una tasa de éxito superior al 95%.
En la mayoría de los casos, el paciente recupera la encía en una sola intervención.
¿Se pueden regenerar las encías retraídas sin cirugía?
En retracciones leves, es posible fortalecer el tejido existente con buenos hábitos y productos específicos.
Sin embargo, cuando la raíz ya está expuesta, la encía no se regenera sola.
En estos casos, el injerto gingival es la única forma de cubrir la raíz y restaurar la estética.
Los remedios caseros o productos naturales pueden ayudar a mantener la encía más sana, pero no sustituyen el tratamiento profesional.
Encías retraídas: remedios caseros
Algunos remedios caseros pueden complementar el tratamiento profesional y aliviar síntomas leves:
- Enjuagues con agua tibia y sal marina.
- Aplicar gel de aloe vera puro sobre la zona afectada.
- Hacer enjuagues con aceite de coco o sésamo (oil pulling).
- Aumentar el consumo de vitamina C, colágeno y zinc.
Estos métodos ayudan a mantener las encías más fuertes, pero no corrigen la retracción cuando ya hay pérdida de tejido.
Encía retraída en un solo diente
Es muy frecuente tener encía retraída en un solo diente, especialmente en caninos o incisivos. Esto puede deberse a un cepillado localizado agresivo o a una malposición dental.
El injerto localizado permite cubrir la raíz y equilibrar la línea gingival, con resultados estéticos inmediatos.

¿Cuánto cuesta el tratamiento para encías retraídas?
El precio depende del tipo de tratamiento y el número de dientes afectados:
- Limpieza y tratamiento no quirúrgico: 80–150 €
- Terapias regenerativas (láser o PRF): 200–400 €
- Injerto de encía completo: 450–900 € por zona
En Alejandro Prieto Dental, el tratamiento se planifica de forma personalizada para garantizar la máxima precisión y resultados naturales.
Mejor pasta dental para encías retraídas
Las mejores pastas dentales para encías retraídas son aquellas que refuerzan la barrera gingival y reducen la sensibilidad:
- Parodontax Encías Retractadas
- Vitis Encías Colutorio y Pasta
- GUM SensiVital
- Elmex Sensitive Professional
Evita cepillos duros o movimientos horizontales agresivos. Usa cepillos ultrasuaves y realiza visitas periódicas de mantenimiento.
Por qué se despegan las encías de los dientes
Las encías se despegan por la pérdida de fibras de colágeno que las mantienen adheridas al diente.
Esto puede ocurrir por placa bacteriana, traumatismos repetidos o infecciones periodontales crónicas.
Cuando se forma una bolsa periodontal, las bacterias penetran más profundamente y agravan la retracción.
Encías retraídas: antes y después del tratamiento
El cambio tras el tratamiento es evidente: las raíces dejan de verse, el color se unifica y la sonrisa recupera su armonía.
Las fotos de encías retraídas antes y después muestran una mejora notable tanto estética como funcional.
Preguntas frecuentes
¿Cómo sanar las encías retraídas?
Depende del grado de retracción. En casos leves, con limpieza profesional y control periodontal. En retracciones severas, solo el injerto quirúrgico permite recuperar el tejido perdido.
¿Qué provoca la retracción de encías?
Las causas más comunes son el cepillado agresivo, las enfermedades periodontales, el tabaco, los cambios hormonales y la malposición dental.
¿Cómo regenerar las encías de forma natural?
No se regeneran de forma completa sin cirugía. En fases leves se pueden fortalecer con buena higiene y colutorios con ácido hialurónico, pero el injerto es el tratamiento definitivo.
¿Cuánto cuesta el tratamiento para encías retraídas?
Entre 100 y 900 €, según la gravedad y el tratamiento aplicado. El injerto de encía ofrece resultados duraderos con una sola cirugía.
¿Es conveniente ponerse implantes teniendo las encías muy retraídas?
No. Primero debe regenerarse la encía para que el implante tenga un soporte estable y estético. En muchos casos se realiza un injerto previo.
Conclusión y llamada a la acción
Las encías retraídas no se regeneran solas, pero sí pueden tratarse con resultados excelentes.
En Alejandro Prieto Dental (Barrio Salamanca) aplicamos técnicas de injerto gingival mínimamente invasivas, con una tasa de éxito superior al 95%.
El resultado: una sonrisa más sana, equilibrada y estéticamente natural.
Agenda tu valoración y descubre cómo podemos ayudarte a recuperar tus encías con precisión, experiencia y tecnología avanzada.
ALT text sugerencias:
- “Resultado de injerto de encía en paciente con retracción gingival en Alejandro Prieto Dental.”
- “Dentista especialista en periodoncia realizando cirugía de encía retraída.”
