Fotos de encías retraídas
Las encías retraídas son un problema cada vez más habitual entre adultos y jóvenes. Si notas que tus dientes parecen más largos o tienes sensibilidad, es posible que tu encía se haya retraído.
En Alejandro Prieto Dental, clínica dental localizada en el Barrio Salamanca, Madrid, tratamos casos de encías retraídas con técnicas de vanguardia en regeneración.
En este artículo descubrirás cómo curar las encías retraídas, cuándo es grave la retracción, y verás fotos de encías retraídas antes y después.

¿Qué son las encías retraídas y por qué ocurren?
Se llama recesión gingival al proceso por el cual la encía se desplaza, dejando visible parte de la raíz del diente.
Las encías retraídas causas más comunes incluyen cepillado excesivo, bruxismo, periodontitis, genética y tratamientos mal ajustados.
Una encía retraída en un solo diente puede indicar trauma o mala posición dental.
Consecuencias y síntomas
Las encías retraídas pueden provocar:
Sensibilidad dental.
Apariencia de “dientes más largos”.
Mayor riesgo de caries radicular.
Estética comprometida.
Si no se tratan, pueden derivar en pérdida ósea y movilidad dental. Por eso es esencial actuar al primer síntoma.
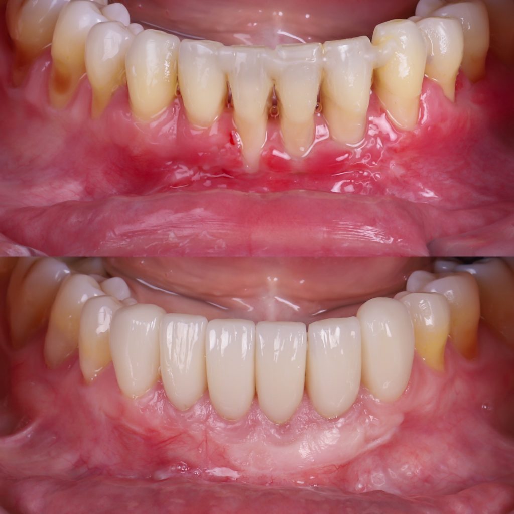
Fotos encías retraídas antes y después
En Alejandro Prieto Dental, documentamos cada caso con fotografías clínicas antes y después, lo que nos permite evaluar objetivamente la mejora estética y funcional tras el tratamiento.

Tratamientos disponibles
Técnicas mínimamente invasivas
Regenerar encías retraídas sin cirugía, mediante ácido hialurónico o biomateriales.
Microinjertos gingivales cuando es necesaria más cobertura.
Empaste para encías retraídas en casos con exposición radicular leve.
Pasta dental y colutorio adecuados
Utilizar la mejor pasta dental para encías retraídas y un colutorio regenerador ayuda a mantener el resultado.
Recomendamos opciones con flúor, clorhexidina o extractos naturales.
Casos avanzados
Cuando la retracción es extensa, se realiza injerto de encía o cirugía mucogingival.
El uso de ácido hialurónico para encías retraídas antes y después del injerto mejora la recuperación y el resultado estético.

¿Es posible ponerse implantes con encías retraídas?
Sí, pero antes debe regenerarse la encía. En Alejandro Prieto Dental, combinamos técnicas de regeneración ósea y gingival antes de colocar los implantes, asegurando estética y durabilidad.
Esto nos convierte en una clínica de referencia para implantes con encías retraídas en Madrid.
Cómo fortalecer y cuidar las encías retraídas
Usa cepillo eléctrico para encías retraídas con cerdas suaves.
Cepilla sin ejercer presión.
Evita blanqueadores abrasivos.
Mantén una dieta equilibrada rica en vitamina C.
Acude a revisiones cada 6 meses.
Así se pueden fortalecer encías retraídas y prevenir futuras recesiones.
Remedios caseros: ¿sirven realmente?
Muchos pacientes preguntan por remedios caseros para encías retraídas. Aunque algunos, como los enjuagues con agua salina o aceite de coco, pueden aliviar molestias, no regeneran la encía perdida. Por tanto, lo ideal es combinar buenos hábitos con la supervisión de un dentista especializado.
Casos reales en Alejandro Prieto Dental
Un paciente joven acudió con encía retraída en un solo diente debido a ortodoncia previa.
Mediante una técnica combinada de ácido hialurónico e injerto de tejido conectivo, conseguimos recuperar encías retraídas y eliminar la sensibilidad.
El resultado puede verse en nuestras fotos encías retraídas antes y después, realizadas en nuestra clínica de Barrio Salamanca , Madrid.
Preguntas frecuentas sobre Encías retraídas
¿Cómo sanar encías retraídas?
Con diagnóstico profesional, higiene adecuada y técnicas de regeneración.
¿Qué hacer cuando las encías se retraen?
Evita cepillarte con fuerza y visita a tu dentista cuanto antes.
¿Cómo regenerar las encías retraídas de forma natural?
Solo se puede mejorar parcialmente; la regeneración completa requiere tratamiento clínico.
¿Cuándo es grave la retracción de encías?
Cuando hay exposición radicular o pérdida ósea.
¿Qué enfermedad retrae las encías?
Principalmente la periodontitis.
¿Es conveniente ponerse implantes con encías retraídas?
Sí, siempre que se regenere la encía previamente.
Conclusión
Las encías retraídas pueden tratarse con éxito y sin cirugía en muchos casos.
En Alejandro Prieto Dental, en el Barrio Salamanca de Madrid, combinamos tecnología avanzada y experiencia en estética gingival para recuperar la sonrisa de forma natural.

