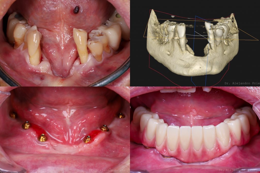
Injerto de hueso dental
Un injerto de hueso dental es un procedimiento quirúrgico que estimula la regeneración de la masa ósea que da soporte al implante. Se hace por medio de materiales biológicos o sintéticos.
¿Qué es el injerto de hueso dental?
Un injerto de hueso dental es una técnica quirúrgica que permite aumentar la masa ósea en el maxilar o la mandíbula.
Mediante la implantación de material de injerto se promueve la regeneración de las células óseas con el fin de aumentar su volumen y restaurar tanto su capacidad de soporte como su estética.
Este tratamiento puede tener diferentes finalidades. La más habitual es proporcionar el soporte necesario para la colocación de implantes.
En Dr. Alejandro Prieto Dental somos especialistas en rehabilitaciones de boca completa con implantes
-Dr. Alejandro
¿Qué materiales se utilizan para un injerto de hueso dental?
El tipo de materiales que se utilizan para los injertos óseos depende de su origen:
- Autoinjerto o autólogo
- Xenoinjerto o heteroinjerto
- Aloinjerto u homoinjerto
- Injerto aloplástico
Es importante tener en cuenta que la colocación de implantes no debe realizarse en los siguientes casos: pacientes con enfermedades sistémicas sin controlar (diabetes no controlada), afecciones cardiovasculares graves, patologías autoinmunes, trastornos de coagulación o problemas importantes de cicatrización.
conoce al equipo – Alejandro Prieto Dental
Equipo multidisciplinar
En Alejandro Prieto Dental contamos con un equipo multidisciplinar especializado en implantes dentales, dentadura fija sobre implantes con carga inmediata y carillas dentales de alta estética.
El equipo está liderado por el Dr. Alejandro Prieto, cirujano implantólogo de prestigio internacional, experto en impantes de boca completa y en resultados de alta estética dental. Contamos con laboratorio dental en exclusiva, lo que nos permite controlar internamente cada fase del tratamiento para asegurar calidad, precisión y resultados predecibles.
Nuestro objetivo: resultados naturales, estables y duraderos para cada paciente.
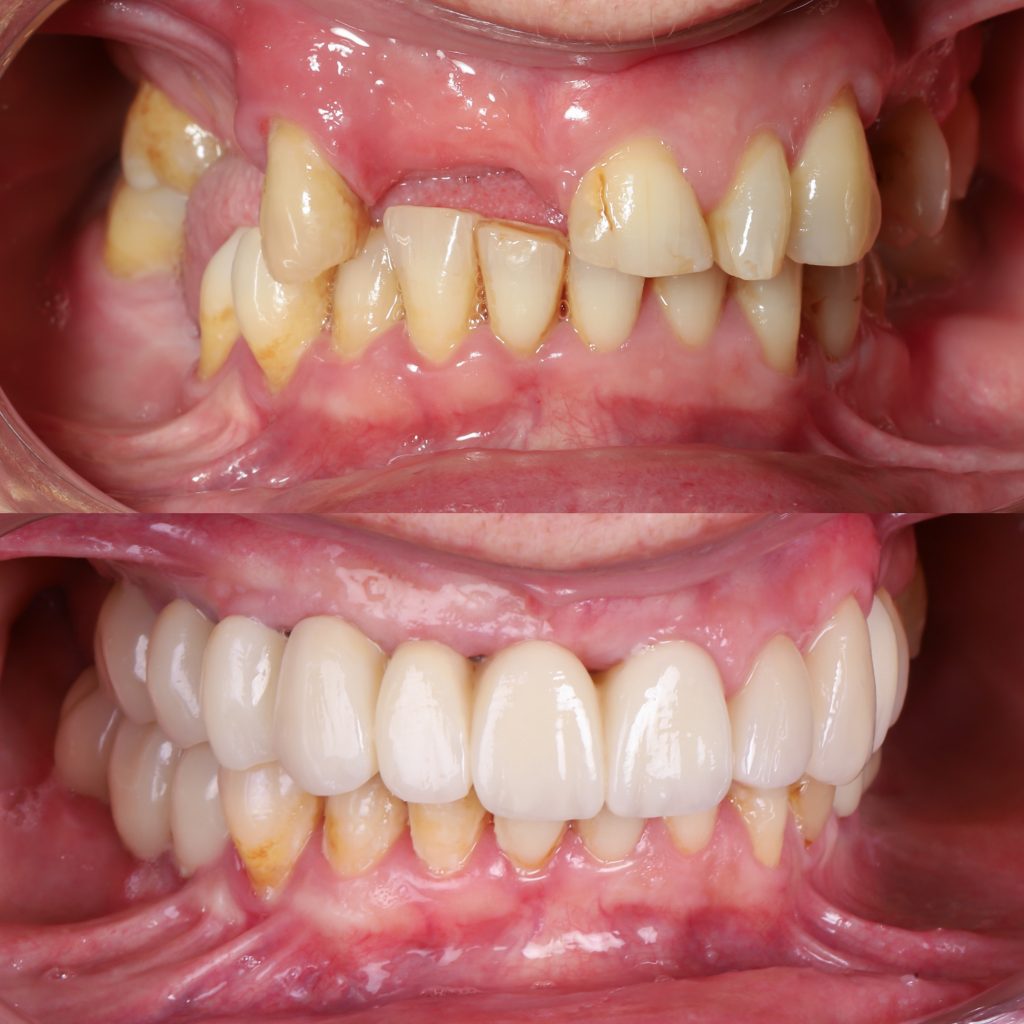
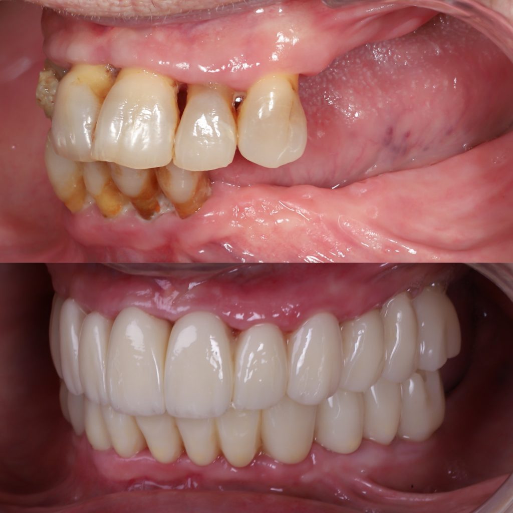
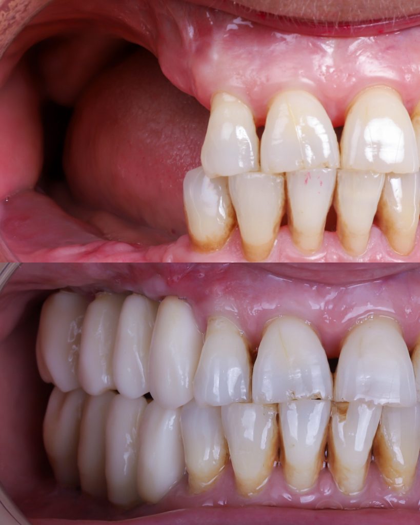
Historias de transformación
Si alguna vez te han dicho que tu caso no tiene solución, en Alejandro Prieto Dental desafiamos los límites de la odontología para ofrecerte la respuesta que estabas buscando.
Before
After
Here Add client review
Client name
Before
After
Lorem ipsum dolor sit amet consectetur. Enim semper enim sit tempor imperdiet eu. Massa auctor elit quis tincidunt quam nisl auctor quis. Diam nec eget sit nisl ullamcorper quis laoreet.
Mr. Amir Gaffry
Before
After
Sed ultricies felis sit amet diam vehicula, et eleifend nisl ultricies. Mauris lacinia sapien nec justo bibendum, at sollicitudin metus sollicitudin. Fusce malesuada metus non pretium vulputate, a fermentum orci commodo ut.
Dr. Leo Martinez
Preguntas frecuentes
Son estructuras metálicas personalizadas que se colocan sobre el hueso y debajo de la encía, diseñadas para sostener dientes fijos sin necesidad de tornillos dentro del hueso. Puedes conocer más sobre su funcionamiento en el sitio del Consejo General de Dentistas.
El precio de los implantes subperiósticos depende de la complejidad del caso, aunque en Madrid suele oscilar entre 6.000 € y 12.000 € por arcada completa. Consulta nuestras tarifas en la sección implantes subperiósticos precio
“Subperióstico” significa “debajo del periostio”, la capa que recubre el hueso. En implantología, se refiere a los implantes que se apoyan sobre el hueso sin penetrarlo.
¿Cuáles son los tres tipos de implantes dentales?
Los tres principales tipos son:
1. Implantes endoóseos, insertados dentro del hueso.
2. Implantes cigomáticos, anclados en el hueso del pómulo.
3. Implantes subperiósticos, apoyados sobre el hueso cuando no existe volumen suficiente.
Visualizar la transformación
Los cambios de imagen de la sonrisa favorecen mejoras cuidadosas y matizadas, para obtener resultados naturales que garanticen el equilibrio general y la armonía facial.
Ver más historias
EXPERIMENTE LA DIFERENCIA
En Alejandro Prieto Dental, fusionamos arte, tecnología y máxima precisión para diseñar sonrisas únicas, auténticas y completamente personalizadas