Mejores implantes dentales en Madrid: especialista en casos complejos
Elegir dónde hacerse los mejores implantes dentales en Madrid es una decisión importante. No basta con buscar una clínica cercana. Se necesita un especialista que combine experiencia, tecnología y resultados estéticos de calidad.
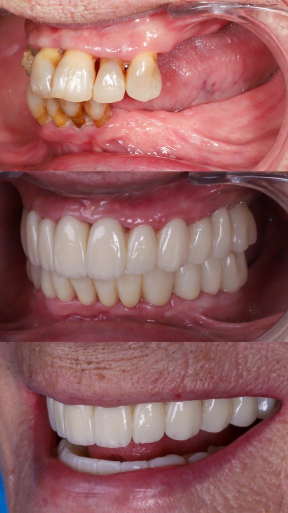
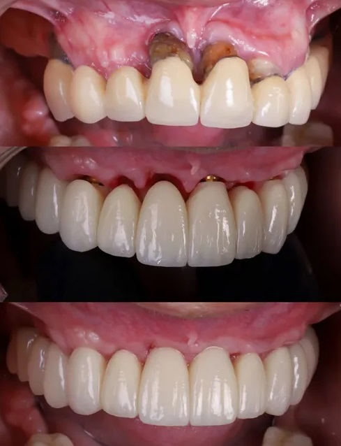
En Dr. Alejandro Prieto Clínica Dental, en el Barrio de Salamanca (Madrid), ofrecemos implantología avanzada con soluciones para todos los casos, incluso los más difíciles. En este link puedes ver muchos de nuestros casos antes y después.

Ranking de las mejores clínicas dentales en Madrid
Existen muchas clínicas dentales en Madrid. Sin embargo, pocas cuentan con especialistas formados internacionalmente, tecnología de última generación y casos reales de éxito.
El Colegio Oficial de Odontólogos de Madrid (COEM) recomienda acudir siempre a clínicas acreditadas y con implantólogos expertos. En nuestro centro, la experiencia clínica y el uso de herramientas digitales como DSD (Diseño Digital de Sonrisa), escáner 3D y cirugía guiada nos sitúan dentro del ranking de las mejores clínicas dentales de Madrid.
Mejor especialista en implantes dentales
El Dr. Alejandro Prieto es un referente en España e internacionalmente. Su enfoque se centra en tres pilares:
- Resolución de casos imposibles: incluso cuando otros profesionales dicen que no hay solución, la hay.
- Implantes cigomáticos y regeneración ósea avanzada: para pacientes con falta de hueso.
- Carga inmediata: dientes fijos en el mismo día, gracias a protocolos de última generación como All-on-4, 6 u 8 implantes.
- Garantía de por vida en nuestros implantes.
Además, contamos con un laboratorio dental en exclusiva, lo que garantiza precisión, estética y resultados personalizados.
Nuestra filosofía es clara: no hay caso imposible.

Tipos de implantes dentales
Según el Consejo General de Dentistas de España, los implantes dentales son una técnica fiable y segura para recuperar dientes perdidos.
En nuestra clínica trabajamos con diferentes opciones:
- Implantes de titanio → máxima resistencia y éxito clínico.
- Implantes de zirconio → estética premium y biocompatibilidad.
- Implantes cigomáticos → ideales para pacientes con pérdida severa de hueso.
- Dentadura fija completa en el día (All-on-X) → una sonrisa renovada en una sola cirugía.
El uso de cirugía guiada con planificación digital permite colocar los implantes con máxima seguridad y precisión.
Carga inmediata: dientes en un solo día
Gracias a la tecnología digital y a protocolos de alta precisión, ofrecemos carga inmediata con dientes fijos en el día. Esto significa que el paciente entra sin dientes y sale con una dentadura completa fija en menos de 24 horas.
El proceso incluye:
- Escáner digital 3D.
- Planificación con DSD.
- Colocación de implantes con cirugía mínimamente invasiva.
- Colocación de dientes provisionales el mismo día.
Todo con la máxima seguridad y garantía de éxito.

Precio medio de un implante dental en Madrid
El precio medio de un implante dental en Madrid oscila entre 900 € y 1.500 € por pieza completa (implante + corona).
Su coste puede variar si el paciente necesita regeneración ósea, implantes cigomáticos o rehabilitaciones completas tipo All-on-X. En todos los casos, ofrecemos un plan personalizado y financiación a medida.
Según MedlinePlus, los implantes dentales presentan tasas de éxito superiores al 95%. Además, Madrid Salud confirma que son una de las mejores opciones para recuperar la función masticatoria y la calidad de vida.
Resultados de alta estética y garantía de por vida
Un implante no solo debe ser funcional. También debe integrarse con el resto de la sonrisa. En nuestra clínica cuidamos cada detalle estético para lograr un resultado natural.
- Alta estética gracias al uso de materiales de última generación.
- Laboratorio propio que permite un control total del proceso.
- Garantía de por vida en los implantes dentales.
La unión de experiencia, tecnología digital y materiales premium nos convierte en una referencia en implantología en Madrid.
FAQ – Preguntas frecuentes
¿Cuál es el implante dental más recomendable?
Depende del paciente. Titanio ofrece máxima resistencia, zirconio estética superior y cigomáticos permiten tratar casos de pérdida ósea severa.
¿Precio medio de un implante dental en Madrid?
Entre 900 € y 1.500 € por pieza. En casos complejos, la inversión es mayor por regeneración o técnicas avanzadas como All-on-X.
¿Qué tipo de implantes es mejor?
No hay uno único. Lo importante es el diagnóstico, la planificación digital y la experiencia del implantólogo que los coloca.
¿Quiñen es el mejor odontólogo de España en implantes?
El Dr. Alejandro Prieto es reconocido por su dominio en implantes cigomáticos, regeneración ósea avanzada y carga inmediata, resolviendo casos imposibles que otros no pueden tratar.
Conclusión
En Dr. Alejandro Prieto Clínica Dental (Barrio de Salamanca, Madrid) ofrecemos los mejores implantes dentales con resultados naturales, seguros y garantizados de por vida.
Expertos en implantes cigomáticos, regeneración ósea y carga inmediata All-on-X.
Uso de DSD, escáner 3D y cirugía guiada para máxima precisión.Laboratorio propio para resultados personalizados.
Alta estética y garantía de por vida.
Consulta más información en el Ministerio de Sanidad – Salud Bucodental y pide tu cita con nosotros.
Agenda tu valoración personalizada y descubre por qué somos referencia en el ranking de las mejores clínicas dentales de Madrid.
