foto para explicación sobre si duele ponerse implantes dentales

Mucha gente se pregunta si ponerse un implante dental duele. En este post vamos a responder a esta duda general y explicaremos en detalle todos el proceso de colocación de un implante dental.

Los implantes dentales son raíces dentales artificiales modernas (generalmente de titanio) que se utilizan para reemplazar dientes perdidos. “Se ven, se sienten y funcionan” como dientes reales, restaurando tu capacidad para masticar y sonreír con comodidad. En nuestra clínica en Madrid, un implante dental consiste en colocar un pequeño tornillo de titanio en el hueso maxilar, esperar a que se fusione con el hueso y luego colocar una corona de aspecto natural. Esto restaura tu mordida y ayuda a prevenir la pérdida ósea. (De hecho, en España – especialmente en Madrid – muchos pacientes eligen especialistas en implantes por esta solución confiable).

Proceso de colocación de implantes

Colocarse un implante dental generalmente implica varios pasos. Primero, te reúnes con nuestro especialista (el Dr. Alejandro Prieto o su equipo) para un examen e imágenes digitales. Usamos escaneos 3D y planificación computarizada para diseñar la colocación del implante. Esto garantiza una cirugía precisa.

  1. Consulta y planificación: Revisamos tu salud dental, tomamos radiografías o una tomografía 3D (CBCT), y planificamos la cirugía. El plan incluye el tamaño y la posición exacta del implante.

FOTO DE ESCÁNER DENTAL 3D

  1. Cirugía – colocación del implante: Bajo anestesia local (y sedación si deseas mayor comodidad), el Dr. Prieto inserta cuidadosamente el implante de titanio en tu hueso maxilar. Es un procedimiento rápido. No sentirás dolor durante la cirugía gracias al anestésico moderno. Usamos técnicas mínimamente invasivas para una colocación rápida y segura. En la cirugía, te colocaremos el diente provisional. Tendrás dientes desde el primer día con la técnica carga inmediata.
  2. Cicatrización (osteointegración): Durante los siguientes 2–3 meses, el implante se fusiona gradualmente con el hueso. Durante este tiempo llevarás una corona temporal (colocada de inmediato) para no estar nunca sin diente.
  3. Pilar y corona final: Una vez que el implante ha sanado, colocamos un pilar y luego la corona permanente. Esta corona se hace a medida para que coincida con tus otros dientes en forma y color, ofreciendo un resultado completamente natural.

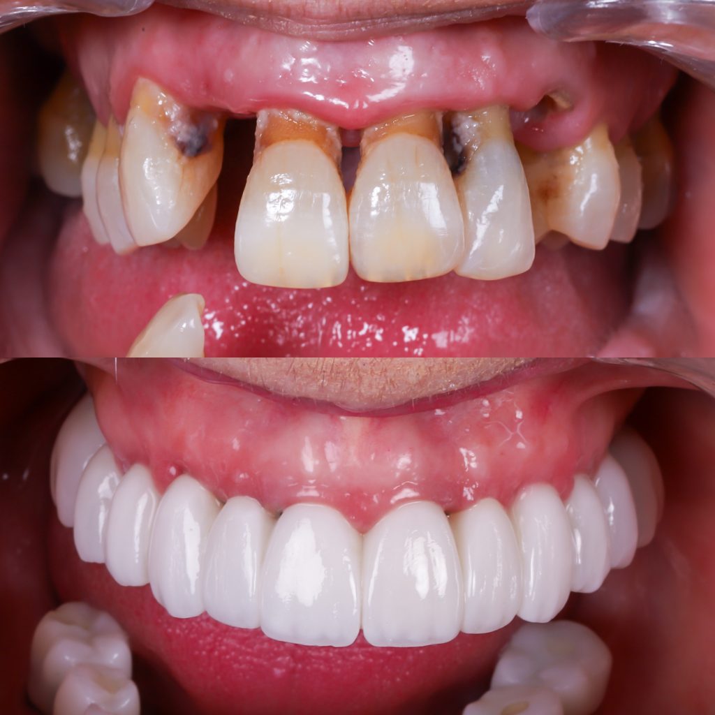
En casos donde faltan varios dientes, también ofrecemos soluciones para múltiples piezas: un puente fijo sobre implantes para varios dientes o una restauración completa del arco (All-on-4/6) para toda la mandíbula superior o inferior. Incluso en casos graves de pérdida ósea, usamos métodos especiales como implantes “sin hueso” o implantes cigomáticos que evitan injertos complicados. Nuestro laboratorio interno y planificación guiada 3D garantizan resultados rápidos y precisos.

foto de fijación del implante en el hueso maxilar. osteointegración

¿Ponerse un implante dental duele?

Muchos pacientes preguntan: “¿Duelen los implantes dentales?” En realidad, la cirugía moderna de implantes es bastante cómoda. Durante la operación estarás adormecido con anestesia local, y ofrecemos sedación consciente para pacientes que así lo prefieran. La mayoría no siente dolor alguno durante el procedimiento. Después, puede haber algo de sensibilidad e hinchazón leve en las primeras 24–48 horas – similar a lo que se siente tras una extracción dental común. Generalmente, esto se controla fácilmente con analgésicos durante las siguientes horas/días.

Gracias a nuestras técnicas suaves y enfoque de carga inmediata, la incomodidad es mínima y breve. Muchos pacientes vuelven al trabajo o sus actividades normales en uno o dos días, usando una corona temporal desde el principio podrán hacer vida normal. En resumen, aunque algo de molestia es normal, suele ser leve y de corta duración. El uso de sedación y herramientas avanzadas en nuestra clínica asegura tu comodidad en todo momento. Lee más sobre los materiales usados en implantes dentales. 

foto de implantes en el día con carga inmediata

Cuidados y mantenimiento

El cuidado adecuado tras tu implante es esencial para su éxito a largo plazo. Pasos clave para el cuidado posterior:

  • Mantén la higiene oral: Cepíllate los dientes suavemente dos veces al día y limpia alrededor del implante según nuestras indicaciones. Usa hilo dental o cepillos interdentales para mantenerlo libre de placa.
  • Dieta blanda al principio: Evita masticar alimentos duros (hielo, caramelos duros, etc.) sobre el implante nuevo por un tiempo. Dale al sitio tiempo para sanar antes de aplicar fuerza completa.
  • No fumar: Fumar puede dificultar mucho la cicatrización. Si fumas, recomendamos dejarlo o al menos evitarlo durante el periodo de recuperación.
  • Revisiones periódicas: Asiste a todas las citas de seguimiento para monitorear la curación. Revisaremos tus encías y mordida. En nuestra práctica, las limpiezas y exámenes regulares ayudan a detectar y prevenir problemas a tiempo.
  • Protégete del bruxismo: Si aprietas o rechinas los dientes, consúltanos sobre un protector nocturno. Proteger el implante del exceso de presión alargará su vida útil.

Con buenos cuidados en casa y visitas regulares al dentista, tu implante puede mantenerse sano de por vida. Siguiendo estas pautas, nuestros pacientes conservan sus implantes y encías en buen estado a largo plazo. En Dr. Alejandro Prieto Clínica Dental, damos garantía de por vida en nuestros implantes dentales. 

Por qué ponerte implantes en Dr. Alejandro Prieto Clínica dental en Madrid

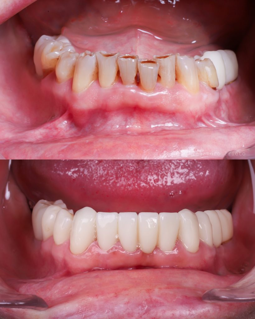
foto de implantes de boca completa

En Dr. Alejandro Prieto Clínica Dental, nos especializamos en implantología avanzada con un enfoque en estética y comodidad del paciente. El Dr. Alejandro Prieto es reconocido internacionalmente por su experiencia en implantes dentales. Nuestra clínica está ubicada en el exclusivo Barrio de Salamanca en Madrid (cerca del Paseo de la Castellana). Combinamos tecnología de vanguardia (imagen 3D, cirugía guiada) con habilidad artística para crear una sonrisa perfecta para cada paciente.

Nuestros dentistas realizan todo los tipos de implantes todos los días, por lo que recibes atención altamente capacitada. Ofrecemos todos los servicios de implantes en un solo lugar: implantes unitarios, puentes sobre implantes, restauraciones completas All-on-4/6 y soluciones para mínima masa ósea (incluyendo implantes cigomáticos). Cada implante se coloca con carga inmediata y trabajo de laboratorio propio, para que salgas con un diente temporal bonito el mismo día.

Los pacientes valoran nuestro enfoque personal: explicamos cada paso con claridad, respondemos todas tus dudas y te hacemos sentir seguro. Ofrecemos sedación dental para pacientes nerviosos y utilizamos solo materiales biocompatibles y de alta calidad.

Conoce nuestra clínica y al Dr. Alejandro Prieto

Empieza con tu Consulta

¿Listo para recuperar tu sonrisa? Contacta con Dr. Alejandro Prieto Clínica Dental para agendar una consulta. Nuestro equipo te programará una cita en nuestra clínica en Madrid, donde hablamos español e inglés. Estaremos encantados de ayudarte a lograr una sonrisa sana y segura con implantes dentales.