Encías: tratamientos y soluciones
Las encías son el tejido que protege y sostiene nuestros dientes, y su salud es esencial para una boca sana. Cuando las encías se inflaman, sangran o duelen, pueden estar avisando de una infección, una enfermedad gingival o incluso de un problema más serio.
En Alejandro Prieto Dental, tratamos todos los tipos de afecciones gingivales —desde una encía inflamada hasta casos avanzados de recesión de encías— con un enfoque médico, estético y regenerativo.

¿Por qué se inflaman las encías?
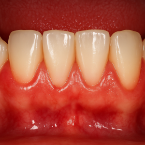
Las encías inflamadas son uno de los motivos más frecuentes de consulta dental. La inflamación de encías suele deberse a la acumulación de placa bacteriana, aunque también puede estar relacionada con el estrés, cambios hormonales o una higiene deficiente.
Entre las causas más comunes se encuentran:
- Acumulación de sarro o restos de comida.
- Cepillado agresivo.
- Ortodoncia mal ajustada.
- Carencias de vitamina C o B12.
- Enfermedades sistémicas como la diabetes.
Si notas dolor de encías, sangrado de encías o un bulto en la encía sin dolor, podrías tener una infección gingival o una gingivitis en desarrollo.
Las 5 problemas de las encías más comunes
- Gingivitis: inflamación leve, reversible con limpieza profesional.
- Periodontitis: infección profunda que afecta el hueso y puede causar recesión o encías retraídas.
- Retracción gingival: pérdida de encía que deja parte del diente expuesto.
- Absceso o flemones en encías: acumulación de pus por infección.
- Cáncer de encías: menos frecuente, pero requiere diagnóstico precoz.
Los síntomas pueden ir desde una encía roja e inflamada hasta llaguitas en la encía, bultos, flemón en la encía o dolor en las encías de abajo.
Infección en las encías: cómo reconocerla
Una infección en la encía puede comenzar con una ligera molestia y evolucionar a un flemón en la encía o incluso a una infección de muelas y encías.
Si notas pus al presionar la encía, hinchazón facial o mal sabor, necesitas atención inmediata.
Los antibióticos para infección de muelas y encías pueden aliviar el cuadro, pero siempre deben recetarse por un dentista.
Automedicarse puede enmascarar el problema y empeorar la infección.
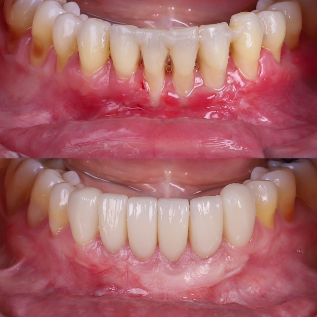
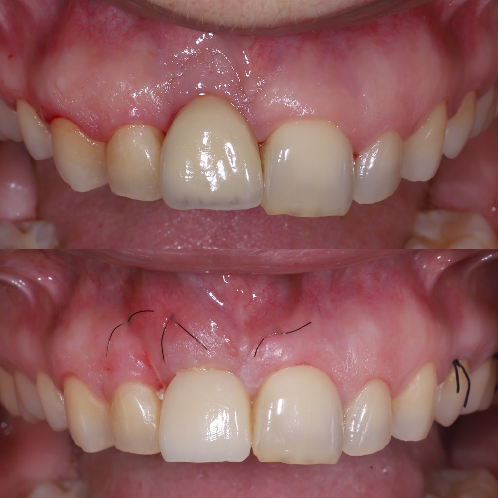
Recesión gingival y encías retraídas
Las encías retraídas (o recesión gingival) ocurren cuando el tejido se separa del diente, dejando la raíz expuesta.
Esto puede causar sensibilidad, inflamación y pérdida de soporte.
Los tratamientos más efectivos incluyen:
- Injerto de encía: para regenerar el tejido perdido.
- Gel para regenerar las encías con ácido hialurónico o Emdogain®.
- Tratamientos gingivales con láser para reducir la inflamación.
Si te preguntas cómo regenerar las encías o cómo bajar la inflamación de las encías rápidamente, lo ideal es acudir a un especialista que evalúe tu caso.
Algunos de nuestro casos antes y después de tratar encías retraídas con injerto de encía.


Tratamientos profesionales a problemas de las encías
En Alejandro Prieto Dental, realizamos tratamientos avanzados de salud gingival:
- Limpieza profunda o curetaje: elimina bacterias bajo la línea de la encía.
- Regeneración ósea y gingival: mediante injerto o biomaterial.
- Cirugía mucogingival o injerto de encía.
- Láser gingival para reducir inflamación sin dolor.
- Terapia antibiótica localizada (cuando hay infección).
Utilizamos productos profesionales como Bexident Encías, Parodontax o Vitis como apoyo domiciliario en la fase de mantenimiento.

Remedios y cuidados en casa
Aunque ningún remedio casero sustituye al tratamiento odontológico, hay hábitos que ayudan a mantener encías sanas:
- Cepillarse después de cada comida con cepillo suave.
- Usar colutorio con clorhexidina o CPC.
- Evitar tabaco y alcohol.
- Aplicar gel para regenerar las encías si hay retracción.
- Enjuagues suaves con agua y sal para reducir inflamación.
Si notas dolor en las encías o bulto en la encía, y te preguntas cómo desinflamar las encías al instante, evita remedios agresivos caseros: pueden irritar más el tejido.

Cuándo acudir al dentista
Debes acudir al especialista si presentas alguno de estos síntomas:
- Encías que sangran al cepillarte.
- Dolor persistente o punzante.
- Bulto en la encía o flemón.
- Encías blancas o negras.
- Retracción de encías o dientes que parecen más largos.
- Llagas o ulceraciones que no cicatrizan.
Un diagnóstico temprano permite evitar complicaciones como el cáncer de encías.
Preguntas frecuentes sobre problemas de las encías
¿Cómo saber si tengo infección en las encías?
Si tienes encías inflamadas, dolor, mal sabor o pus al presionar, es probable que haya una infección. También puede notarse un bulto en la encía sin dolor o un flemón.
¿Qué enfermedades de las encías hay?
Las más comunes son la gingivitis, periodontitis, recesión gingival, abscesos y, en casos raros, el cáncer de encías.
¿Qué hacer para curar las encías?
Realiza una higiene profesional, usa colutorios específicos y sigue las indicaciones de tu dentista. En casos avanzados, puede requerirse un injerto de encía o tratamiento quirúrgico.
¿Cuáles son los 3 tipos de encía?
La encía libre (alrededor del diente), la encía adherida (más firme) y la mucosa alveolar (más flexible).
Me sangran las encías, ¿es normal?
No. El sangrado de encías indica inflamación o enfermedad gingival. Es un signo temprano de gingivitis.
¿Qué es bueno para el dolor de encías?
Enjuagues con agua tibia y sal, analgésicos suaves y gel calmante para encías. Si persiste, consulta al dentista.
Me aprieto la encía y me sale pus, ¿qué significa?
Es un signo de absceso o infección gingival. Necesitas tratamiento urgente para drenar la infección y evitar complicaciones.
Cómo desinflamar las encías
Evita alimentos duros, usa cepillo suave y enjuágate con colutorio. Los geles regeneradores gingivales ayudan a calmar y reparar el tejido.
Por qué se inflaman las encías
Por acumulación de placa, mala higiene o cambios hormonales. También puede deberse a una infección en encías o muelas.
Cómo regenerar las encías
Con tratamientos de injerto de encía o biomaterial regenerativo aplicados por un especialista en periodoncia.
Conclusión
Las encías sanas son la base de una sonrisa duradera.
Si sufres encías inflamadas, retraídas, dolor, bultos o sangrado, no esperes a que el problema avance.
En Alejandro Prieto Dental, contamos con tecnología avanzada, materiales biocompatibles y técnicas regenerativas para tratar cualquier problema gingival con precisión y estética.
Contacta con nosotros Clínica Alejandro Prieto Dental – Barrio Salamanca, Madrid
Estudio personalizado sin coste
