En Alejandro Prieto Dental somos especialistas en prótesis sobre implantes, una de las soluciones más avanzadas para reponer todos los dientes de forma fija, funcional y estética.
Este tratamiento permite recuperar la sonrisa para toda la vida con resultados naturales, cómodos y duraderos.

¿Qué es exactamente?
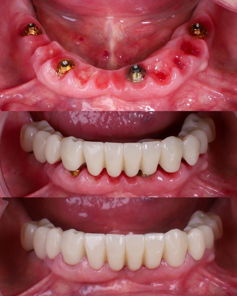
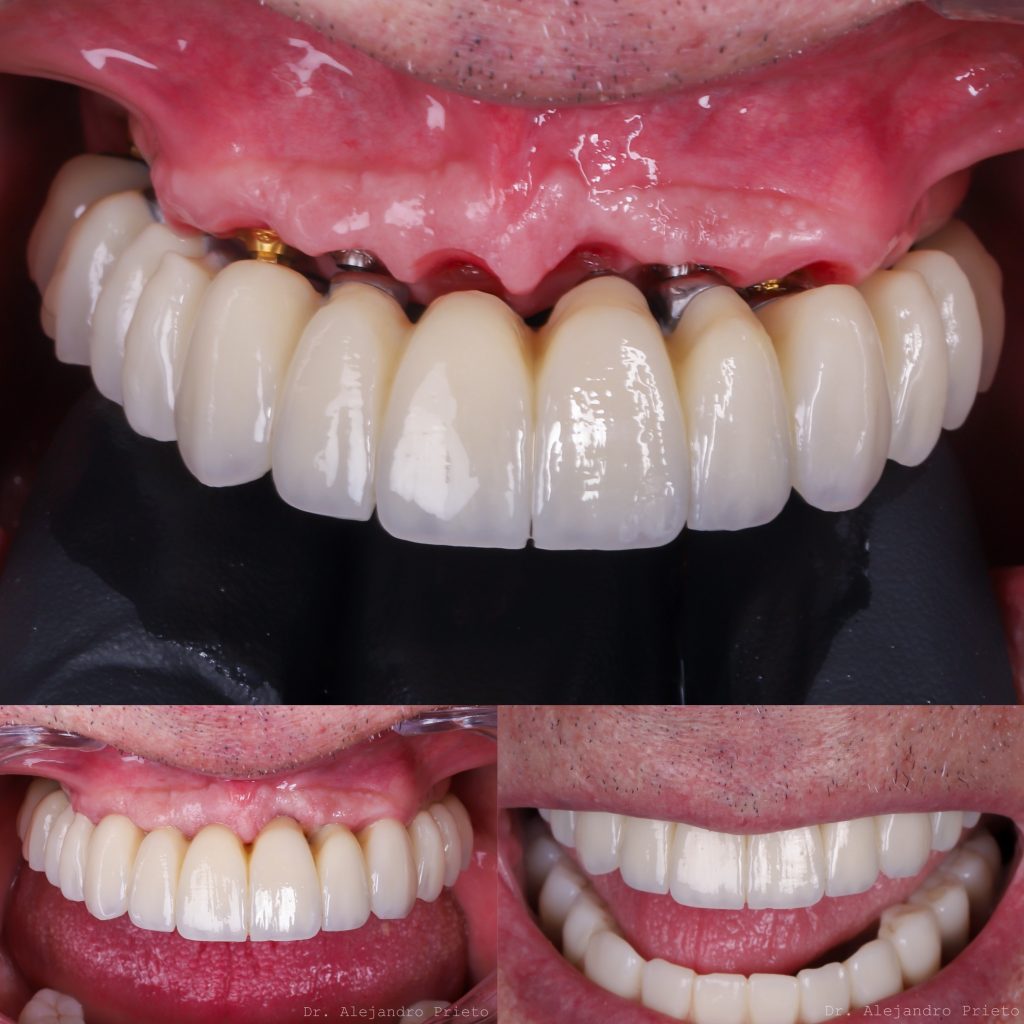
Se trata de una estructura dental que se apoya sobre implantes colocados en el hueso maxilar o mandibular. Los implantes actúan como raíces artificiales y la prótesis sustituye los dientes perdidos, quedando totalmente fija y estable.
A diferencia de las dentaduras postizas removibles, no se mueven ni requieren adhesivos. Ofrecen una sensación idéntica a la de los dientes naturales, tanto al hablar como al masticar.

Tipos de prótesis sobre implantes
Se distinguen tres grandes tipos, según las necesidades y objetivos de cada paciente:
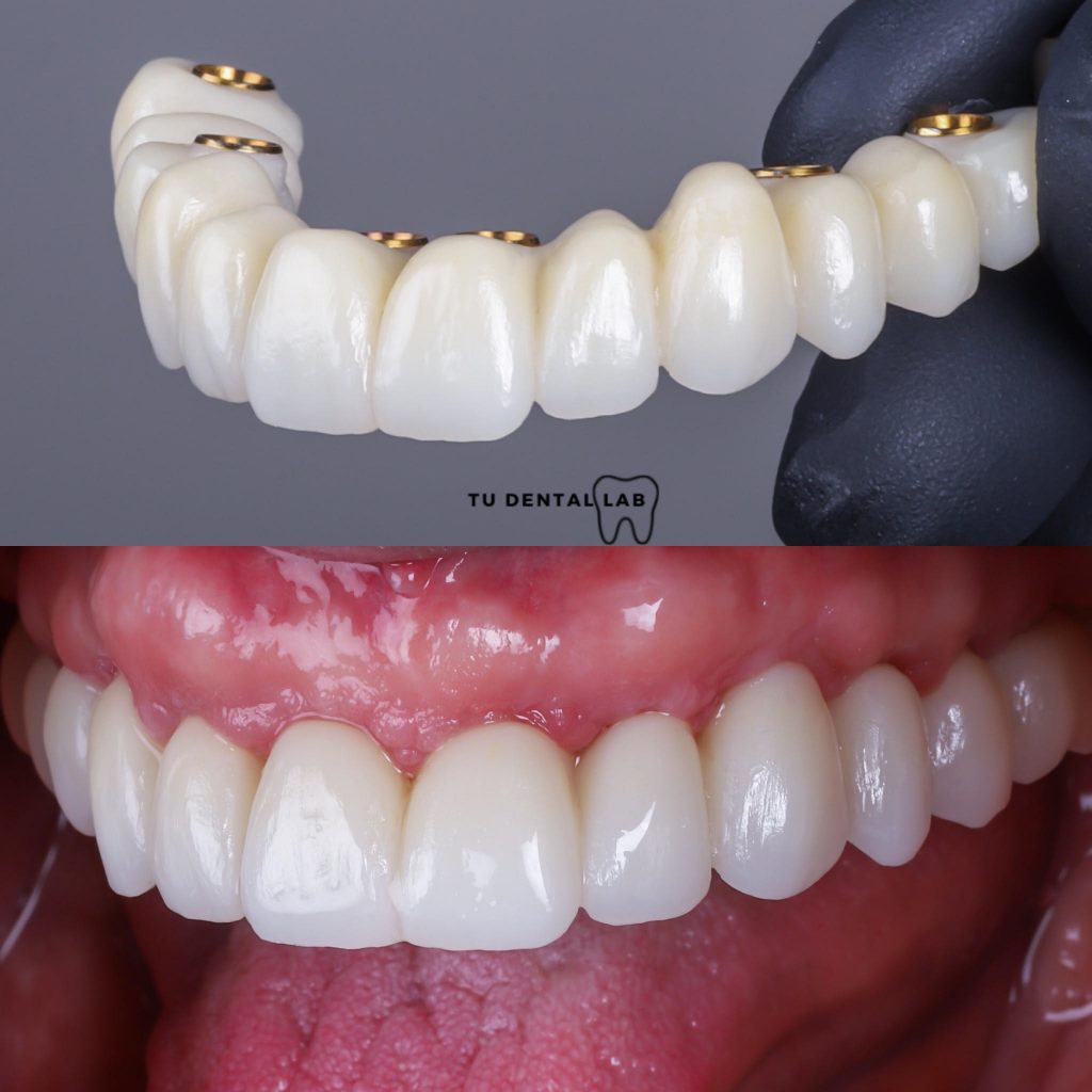
Prótesis fija sobre implantes
Es una estructura atornillada a los implantes. Solo puede retirarla el odontólogo, ofreciendo máxima estabilidad, función y estética.
Se puede realizar sobre cuatro, seis o más implantes por arcada, según el caso y la planificación digital. Esta es sin duda la solución más parecida a dientes naturales.
Prótesis híbrida sobre implantes
Combina una estructura metálica interna con recubrimiento en resina o cerámica. Es fija, ligera y altamente estética, ideal para rehabilitaciones completas con resultados naturales y cómodos.
Prótesis removible sobre implantes (sobredentadura)
También llamada prótesis dental removible o de quita y pon. Se fija mediante anclajes de precisión sobre los implantes y el paciente puede retirarla para su limpieza. Es más estable que una dentadura tradicional y mantiene un diseño más estético y discreto.
¿Cuántos implantes se necesitan?
Depende de la planificación y de la cantidad de hueso disponible.
Generalmente se utilizan entre cuatro y seis implantes por arcada para sujetar una prótesis completa. Gracias a la planificación digital 3D y la cirugía guiada, el tratamiento se realiza con máxima precisión y mínima invasión.
En algunos casos, incluso es posible colocar los implantes y una prótesis provisional fija en el mismo día, lo que se conoce como implantes en el día.

Ventajas
- Resultados estéticos naturales.
- Dientes fijos y estables.
- Sin paladar ni movimientos.
- Masticación y fonética mejoradas.
- Mantenimiento sencillo.
- En Alejandro Prieto Dental, garantía de por vida en los implantes.
Conclusión
Somos una clínica de referencia en implantología avanzada y prótesis completas fijas de alta estética.
Trabajamos con tecnología digital 3D, materiales premium y técnicas quirúrgicas precisas para lograr resultados predecibles y duraderos.
Solicita tu valoración sin coste y descubre cuál es la mejor solución para ti.
Alejandro Prieto Dental – Implantes de alta estética en Madrid con garantía de por vida
Preguntas frecuentes
¿Qué son las prótesis sobre implantes?
Son prótesis fijas o removibles que se apoyan sobre implantes dentales para sustituir todos los dientes de una arcada, ofreciendo estabilidad y estética natural.
¿Cuántos implantes se necesitan?
Depende de cada caso. Habitualmente se utilizan entre cuatro y seis implantes por arcada para una rehabilitación completa.
¿Cuál es la diferencia entre un implante y una prótesis?
El implante sustituye la raíz del diente; la prótesis reemplaza la parte visible. Juntos forman una estructura fija y funcional.
¿Qué es una prótesis híbrida sobre implantes?
Es una prótesis fija que combina una estructura metálica con recubrimiento estético, aportando resistencia, ligereza y una apariencia muy natural.
¿Cuánto cuesta una prótesis sobre implantes?
El precio depende del número de implantes y del tipo de prótesis. En Alejandro Prieto Dental realizamos una valoración personalizada y sin compromiso.