¿Qué son las prótesis sobre implantes?
En Alejandro Prieto Dental somos especialistas en prótesis sobre implantes, una de las soluciones más avanzadas para reponer todos los dientes de forma fija, funcional y estética.
Este tratamiento permite recuperar la sonrisa para toda la vida con resultados naturales, cómodos y duraderos.

¿Qué es exactamente?
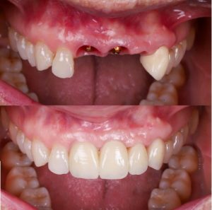
Se trata de una estructura dental que se apoya sobre implantes colocados en el hueso maxilar o mandibular. Los implantes actúan como raíces artificiales y la prótesis sustituye los dientes perdidos, quedando totalmente fija y estable.
A diferencia de las dentaduras postizas removibles, no se mueven ni requieren adhesivos. Ofrecen una sensación idéntica a la de los dientes naturales, tanto al hablar como al masticar.

Tipos de prótesis sobre implantes
Se distinguen tres grandes tipos, según las necesidades y objetivos de cada paciente:
Prótesis fija sobre implantes
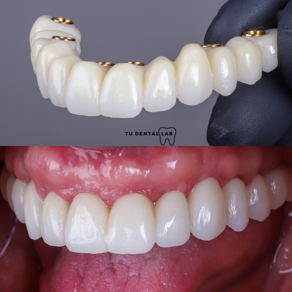
Es una estructura atornillada a los implantes. Solo puede retirarla el odontólogo, ofreciendo máxima estabilidad, función y estética.
Se puede realizar sobre cuatro, seis o más implantes por arcada, según el caso y la planificación digital. Esta es sin duda la solución más parecida a dientes naturales.
Prótesis híbrida sobre implantes
Combina una estructura metálica interna con recubrimiento en resina o cerámica. Es fija, ligera y altamente estética, ideal para rehabilitaciones completas con resultados naturales y cómodos.
Prótesis removible sobre implantes (sobredentadura)
También llamada prótesis dental removible o de quita y pon. Se fija mediante anclajes de precisión sobre los implantes y el paciente puede retirarla para su limpieza. Es más estable que una dentadura tradicional y mantiene un diseño más estético y discreto.
¿Cuántos implantes se necesitan?
Depende de la planificación y de la cantidad de hueso disponible.
Generalmente se utilizan entre cuatro y seis implantes por arcada para sujetar una prótesis completa. Gracias a la planificación digital 3D y la cirugía guiada, el tratamiento se realiza con máxima precisión y mínima invasión.
En algunos casos, incluso es posible colocar los implantes y una prótesis provisional fija en el mismo día, lo que se conoce como implantes en el día.

Ventajas
- Resultados estéticos naturales.
- Dientes fijos y estables.
- Sin paladar ni movimientos.
- Masticación y fonética mejoradas.
- Mantenimiento sencillo.
- En Alejandro Prieto Dental, garantía de por vida en los implantes.
Conclusión
Somos una clínica de referencia en implantología avanzada y prótesis completas fijas de alta estética.
Trabajamos con tecnología digital 3D, materiales premium y técnicas quirúrgicas precisas para lograr resultados predecibles y duraderos.
Solicita tu valoración sin coste y descubre cuál es la mejor solución para ti.
Alejandro Prieto Dental – Implantes de alta estética en Madrid con garantía de por vida
Preguntas frecuentes
¿Qué son las prótesis sobre implantes?
Son prótesis fijas o removibles que se apoyan sobre implantes dentales para sustituir todos los dientes de una arcada, ofreciendo estabilidad y estética natural.
¿Cuántos implantes se necesitan?
Depende de cada caso. Habitualmente se utilizan entre cuatro y seis implantes por arcada para una rehabilitación completa.
¿Cuál es la diferencia entre un implante y una prótesis?
El implante sustituye la raíz del diente; la prótesis reemplaza la parte visible. Juntos forman una estructura fija y funcional.
¿Qué es una prótesis híbrida sobre implantes?
Es una prótesis fija que combina una estructura metálica con recubrimiento estético, aportando resistencia, ligereza y una apariencia muy natural.
¿Cuánto cuesta una prótesis sobre implantes?
El precio depende del número de implantes y del tipo de prótesis. En Alejandro Prieto Dental realizamos una valoración personalizada y sin compromiso.
