
Mucha gente se pregunta porqué se usan puntos después de colocar un implante dental. Tener puntos (suturas) después de un procedimiento de implante dental es algo común y una parte importante del proceso de curación. Aunque es importante entender que no siempre son necesarios. En esta guía te explicamos todo lo que necesitas saber sobre los puntos de implante dental en un lenguaje claro y sencillo. Ya sea que en tu cirugía se pongan puntos que se disuelvan solos o necesiten ser retirados, o que ni tan siquiera sea necesario ponerlos. Aquí te contamos qué esperar, cómo cuidarlos y cuándo debes llamarnos. Nuestro objetivo es ayudarte a sentirte cómodo e informado durante tu recuperación en Dr. Alejandro Prieto Clínica Dental, en Madrid.
¿Por qué se usan puntos después de un implante dental?
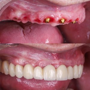
Si durante la misma cirugía de colocación de implantes se han extraído los dientes en mal estado, no será necesario hacer cortes ni puntos de sutura. No obstante, si no es el caso, tu dentista realiza pequeños cortes en las encías para colocar el poste del implante dentro del hueso maxilar. Los puntos, o suturas, se utilizan para cerrar estos cortes. Cerrar la encía ayuda a mantenerla ajustada al implante, detener el sangrado y proteger el área de posibles infecciones por comida o bacterias. Un buen cierre con puntos también acelera la curación y ayuda a que la encía se adhiera firmemente al nuevo implante.
Tipos de puntos para implante dental
Existen dos tipos principales de suturas en cirugía dental:
-
Puntos reabsorbibles: Están hechos de materiales que se descomponen de forma natural en el cuerpo. Generalmente se caen o disuelven por completo en 1 a 2 semanas. Son prácticos porque no requieren una cita para retirarlos.
-
Puntos no reabsorbibles: Están hechos de materiales más resistentes (como nailon o seda) que no se disuelven solos. Tu dentista programará una visita de seguimiento alrededor de 1 a 2 semanas después para retirarlos suavemente.
Tu dentista te dirá qué tipo de puntos tienes. En ambos casos, el objetivo es el mismo: mantener las encías en su lugar mientras cicatrizan. Para conocer más sobre cómo cicatrizan las encías y los tejidos tras una cirugía oral, te recomendamos leer esta guía médica sobre la curación después de un implante dental.
¿Cuánto tiempo permanecerán los puntos?
Primeros días: Los puntos ayudan a mantener todo en su lugar. Es posible que notes un poco de sangrado o supuración leve, lo cual es normal. Mantén la zona limpia y evita tocar los puntos.
1–3 días después de la cirugía: La hinchazón suele alcanzar su punto máximo entre el segundo y tercer día. Aplica compresas frías en la mejilla (20 minutos sí, 20 minutos no) para reducirla.
Aproximadamente 7–10 días: Si tienes puntos no reabsorbibles, regresarás a la clínica para retirarlos. Este procedimiento es rápido e indoloro. En este tiempo, los puntos reabsorbibles ya comenzarán a caerse por sí solos.
Alrededor de las 2 semanas: La mayoría de la curación estará en proceso. Los puntos reabsorbibles deberían haberse ido, y la encía lucirá más asentada.
A largo plazo: Incluso después de que los puntos desaparezcan, las encías necesitan más tiempo para curarse completamente alrededor del implante. Pueden pasar varias semanas hasta que todo se sienta completamente normal.
Cada paciente cicatriza de forma diferente. Sigue siempre las indicaciones de tu dentista y asiste a todas tus revisiones para asegurar que el implante se esté integrando correctamente.
¿Se puede trabajar después de poner un implante dental?
Muchos pacientes se preguntan si pueden volver al trabajo después de colocarse un implante dental. En la mayoría de los casos, la respuesta es sí, pero depende del tipo de trabajo que realices y cómo te sientas después de la cirugía.
Si tu trabajo no requiere esfuerzo físico y puedes estar sentado en un ambiente tranquilo, podrías sentirte bien para regresar al día siguiente. Sin embargo, es común tomarse al menos 1 o 2 días de descanso para recuperarte, controlar la hinchazón y dejar que la anestesia desaparezca por completo.
Si tu trabajo implica levantar peso, esfuerzo físico o hablar muchas horas, es posible que necesites más tiempo de recuperación. Escucha a tu cuerpo, sigue las recomendaciones de tu dentista, y no dudes en tomarte uno o dos días libres para facilitar tu recuperación.
Preocupaciones comunes y cuándo llamar a tu dentista

Es normal preguntarse qué es parte del proceso de curación y qué no lo es. Aquí te damos algunas recomendaciones:
-
Sangrado leve o supuración: Un poco de sangre (especialmente en la gasa) durante los primeros 1–2 días es común. Puedes colocar una gasa limpia sobre la zona y morder suavemente durante 30 minutos para detener el sangrado. Si el sangrado es abundante o no se detiene, contáctanos.
-
Inflamación y hematomas: Es normal tener algo de hinchazón durante 2–3 días y puede aparecer un pequeño morado en la mejilla o debajo del ojo. Si la hinchazón sigue aumentando después del tercer día, avísanos.
-
Dolor: Es normal sentir algunas molestias, pero deberían disminuir cada día. Si el dolor es intenso, punzante o empeora después de los primeros días, llámanos.
-
Problemas con los puntos: Si un punto reabsorbible se cae antes de tiempo y no hay dolor, hinchazón ni sangrado, normalmente no es un problema. Pero si un punto te molesta, tira de la encía, o se caen varios puntos, llámanos. No intentes tocarlos ni quitarlos tú mismo.
-
Signos de infección: Fíjate si aparece enrojecimiento creciente, calor en la zona, pus o fiebre. Si notas alguno de estos síntomas, llama a la clínica de inmediato.
-
Implante flojo: Es muy raro, pero si sientes que el implante está suelto, contáctanos de inmediato.
Te animamos a llamarnos ante cualquier duda—ninguna pregunta es demasiado pequeña. Es mejor consultar a tiempo y asegurarse de que la curación vaya bien.
Citas de Seguimiento
En Dr. Alejandro Prieto Clínica Dental, programamos una cita de control aproximadamente una semana después de tu cirugía de implante. En esta visita:
-
Retiramos los puntos no reabsorbibles (si los tienes).
-
Revisamos cómo están cicatrizando tus encías y el implante.
-
Respondemos tus preguntas y te damos indicaciones para seguir cuidándote.
Esta cita es rápida y nos ayuda a confirmar que el implante está sanando correctamente. Aunque tus puntos se hayan disuelto solos, igualmente te veremos para revisar la zona y planear los siguientes pasos (como colocar la corona final).
¿Por qué elegir Dr. Alejandro Prieto Clínica Dental en Madrid?
Nuestra clínica, ubicada en el Barrio de Salamanca, Madrid, es un referente en tratamientos avanzados de implantes dentales. El Dr. Alejandro Prieto es especialista en cirugía oral e implantología, y utilizamos tecnología digital de última generación y técnicas suaves para tu máxima comodidad.
Ofrecemos opciones de sedación y un entorno cálido y profesional para que tu experiencia sea lo más agradable posible. Ya sea un solo implante o una rehabilitación completa, cuidamos cada detalle—incluyendo el seguimiento especializado de los puntos y del implante.
Puedes agendar tu primera cita o contactarnos en cualquier momento. Estamos aquí para resolver tus dudas y acompañarte en una recuperación exitosa.
Preguntas Frecuentes
¿Se me caerán solos los puntos del implante dental?
Si tienes puntos reabsorbibles, sí—normalmente se disuelven en 1 a 2 semanas a medida que la encía cicatriza. Los puntos no reabsorbibles se retiran en la clínica entre 7 y 10 días después de la cirugía.
¿Cómo debo cepillarme los dientes si tengo puntos?
Puedes cepillar los demás dientes con normalidad. En la zona del implante, utiliza un cepillo muy suave y hazlo con cuidado. Trata de no tocar directamente los puntos con el cepillo.
¿Qué pasa si se me cae un punto antes de tiempo?
Si se cae y no tienes dolor, hinchazón ni sangrado, normalmente no hay problema. Continúa enjuagándote con agua con sal suavemente y deja que la boca sane. Si te preocupa o la zona se ve irritada, llámanos.
¿Cuándo puedo volver a comer normalmente después de la cirugía?
Empieza con alimentos blandos (yogur, sopa, pasta) durante los primeros días. Después de una semana, si te sientes cómodo, puedes comenzar a introducir alimentos más firmes poco a poco. Mastica del lado opuesto al implante hasta que esté completamente curado.
¿Puedo tomar analgésicos?
Sí. Puedes tomar los medicamentos que te recetó o recomendó tu dentista. Evita la aspirina justo después de la cirugía (puede aumentar el sangrado). Sigue siempre las indicaciones del envase y, si el dolor no mejora, comunícalo al equipo.