En Alejandro Prieto Dental, somos especialistas en implantología avanzada y cirugía oral en Madrid. Aunque los implantes dentales están diseñados para durar muchos años, en algunos casos es necesario quitar un implante dental por razones médicas, estéticas o funcionales. En la mayoría de casos por rechazo o porque se colocaron de forma incorrecta.
Aquí te explicamos cómo se realiza, cuánto cuesta y qué pasa después.
¿Por qué puede ser necesario quitar un implante dental?
Algunas causas comunes son:
- Infección o periimplantitis (inflamación del tejido que rodea el implante).
- Falta de osteointegración, cuando el implante no se une bien al hueso.
- Implante mal colocado o con problemas estéticos.
- Dolor o rechazo del implante dental.
En ocasiones, solo se necesita quitar la corona sobre el implante, mientras que en otros casos hay que extraer el implante completo o el tornillo interno.
¿Cómo se quita un implante dental?
En Alejandro Prieto Dental, la extracción de un implante se realiza bajo anestesia local, de forma totalmente indolora.
Usamos tecnología 3D y cirugía guiada, lo que permite retirar el implante con precisión y sin dañar el hueso.
El procedimiento puede incluir:
- Retirar la corona o prótesis fija.
- Extraer el tornillo del implante dental.
- Realizar una extracción atraumática del implante si hay pérdida ósea o infección.
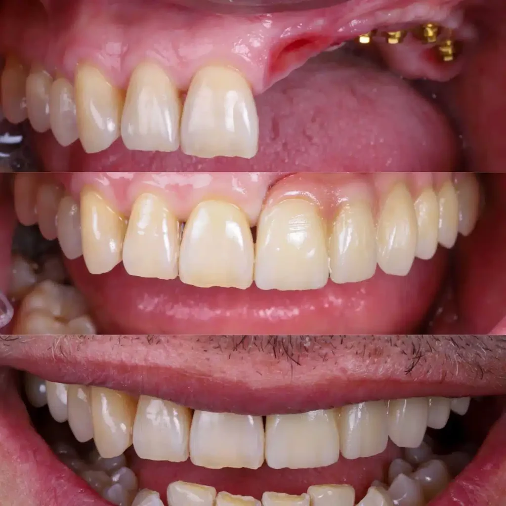
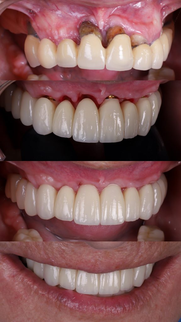
En la mayoría de los casos, podemos colocar un nuevo implante en la misma intervención, según el estado del hueso. Trabajamos con sistemas de implantes Zimvie y Straumann, entre otros, líderes en biocompatibilidad y precisión en el mercado.
Quitar implante dental precio en Madrid
El precio depende del tipo de implante, su posición y la dificultad de la cirugía.
En Alejandro Prieto Dental, el coste suele estar entre 150 euros por pieza, incluyendo anestesia y control radiográfico.
Si hay una infección o pérdida ósea, puede requerirse regeneración, lo que aumenta el precio.
Ofrecemos siempre un estudio 3D y diagnóstico gratuito antes de cualquier intervención, sin compromiso.

Consecuencias
Las consecuencias de quitar un implante dental suelen ser leves y temporales:
- Molestia o inflamación leve en la zona.
- Pérdida de hueso si no se regenera correctamente.
Quitar puntos del implante dental duele
Después de la extracción, se colocan puntos de sutura que son absorbibles. En general, quitar los puntos de un implante dental no duele.
Recomendamos seguir las pautas postoperatorias y mantener una buena higiene para favorecer la cicatrización.
Infección o rechazo: síntomas de alerta
Si notas dolor, inflamación, movilidad o sangrado, podrían ser síntomas de infección del implante dental o de rechazo.
En ese caso, es importante acudir de inmediato para valorar si se debe quitar y realizar un tratamiento regenerativo.
En resumen
Quitar un implante dental es un procedimiento seguro cuando se realiza en manos expertas.
En Alejandro Prieto Dental, utilizamos tecnología digital, cirugía mínimamente invasiva y regeneración ósea avanzada para garantizar una recuperación rápida y sin complicaciones. Recibimos muchos pacientes que necesitan reemplazar sus implantes dentales por unos nuevos por muchos motivos. Somos expertos en casos complejos y damos garantía de por vida en nuestros implantes y prótesis. Sujeto a revisiones periódicas sin coste. Contacta hoy mismo y recibe tu diagnóstico.

Preguntas frecuentes
¿Es doloroso retirar un implante dental?
No. Se realiza con anestesia local y es totalmente indoloro. Puede haber una leve molestia después, fácilmente controlable con medicación.
¿Qué pasa si me quito el implante dental?
El hueso puede reabsorberse si no se regenera correctamente. Por eso siempre valoramos una sustitución o prótesis temporal.
¿Cómo se quitan los implantes dentales?
Se retira la corona, luego el tornillo del implante, y finalmente el cuerpo del implante mediante cirugía guiada precisa y sin dañar el hueso.
¿Cuánto cuesta quitar un implante dental?
El precio en Madrid es aproximadamente de 150 € por implante.
¿Se puede quitar la corona de un implante dental?
Sí. En algunos casos solo es necesario quitar la corona sin tocar el implante. Esto se hace cuando hay fracturas o ajustes estéticos.