Tipos de implantes dentales en Madrid
En Alejandro Prieto Dental, en el Barrio de Salamanca (Madrid), somos especialistas en implantología avanzada y en devolver sonrisas naturales con las técnicas más modernas. Hoy te explicamos los tipos de implantes dentales que existen, sus precios, ventajas y en qué casos se recomiendan.
¿Qué tipos de implantes hay?
Los implantes dentales son raíces artificiales que sustituyen la pieza perdida y permiten colocar una corona o una dentadura fija.
Sin embargo, no todos los implantes son iguales. Su diseño, material y técnica de colocación varían según la cantidad de hueso, la estética deseada y la situación clínica del paciente.
Los principales son:
- Implantes endoóseos
Son los más comunes. Se colocan dentro del hueso y actúan como raíz artificial. Fabricados en titanio o zirconio, ofrecen una excelente integración y durabilidad. - Implantes subperiósticos o yuxtaóseos
Se apoyan sobre el hueso y debajo de la encía. Se usan en pacientes con pérdida ósea severa. Son conocidos como implantes sin tornillos. - Implantes cigomáticos y pterigoideos
Se anclan en el hueso del pómulo o en la zona posterior del maxilar cuando no hay hueso disponible.

Tipos de implantes dentales y precios
El precio de los implantes dentales depende del tipo, la técnica y los materiales utilizados.
| Tipo de implante | Indicaciones principales | Precio aproximado (Madrid) |
|---|---|---|
| Implante endoóseo (titanio/zirconio) | Casos estándar | 900 € – 1.500 € |
| Implante cigomático | Falta total de hueso maxilar | 5.000 € – 8.000 € |
| Implante subperióstico (sin tornillos) | Pérdida ósea severa | 6.000 € – 12.000 € por arcada |
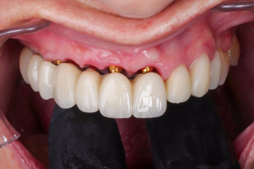
| All-on-X (dentadura fija completa) | Rehabilitación total en un día | 9.000 € – 14.000 € |
En Alejandro Prieto Dental realizamos una planificación 3D personalizada que determina el tipo de implante y la prótesis ideal según cada paciente.
Tipos de hueso para implantes dentales
La calidad del hueso es tan importante como el implante.
Según el Consejo General de Dentistas de España, existen cuatro tipos de hueso para implantes dentales:
- Tipo I: Hueso denso y compacto. Alta estabilidad.
- Tipo II: Mezcla equilibrada entre densidad y elasticidad. Ideal para la mayoría de los casos.
- Tipo III: Hueso más poroso, requiere planificación guiada.
- Tipo IV: Hueso blando o escaso; suele requerir regeneración o implantes cigomáticos.
En nuestra clínica, usamos escáner digital 3D y cirugía guiada para valorar con exactitud el tipo de hueso y garantizar el mejor resultado.
Tipos de barras para implantes dentales
Las barras para implantes dentales sirven para unir varios implantes y sujetar una prótesis fija o removible.
Los principales tipos son:
- Barra Dolder: clásica, para prótesis removibles.
- Barra Hader: permite anclaje con clips, fácil de limpiar.
- Barra CAD/CAM: diseño digital de máxima precisión y estética.
En Alejandro Prieto Dental, fabricamos estas barras en nuestro laboratorio propio, garantizando ajuste perfecto y resultados de alta estética.
Tipos de implantes en casos complejos
Además de los convencionales, existen implantes especiales para situaciones específicas:
- Implantes cigomáticos: para pacientes sin hueso en el maxilar superior.
- Implantes pterigoideos: anclados en la parte posterior del maxilar.
- Implantes subperiósticos: ideales cuando la regeneración no es posible.
Estos tratamientos requieren planificación digital 3D y cirugía guiada, especialidades en las que Alejandro Prieto Dental es centro de referencia en Madrid.
Tipos de implantes y errores frecuentes
Existen casos donde los implantes se colocan sin planificación adecuada, lo que puede generar complicaciones.
Por eso, en nuestro blog mostramos fotos de implantes dentales mal colocados, para explicar a los pacientes cómo evitar estos errores poniéndose en manos de profesionales expertos.
La experiencia del implantólogo y el uso de tecnología avanzada son claves para evitar fallos. A continuación dejamos algunos de nuestros casos reales de implantología avanzada.


Preguntas frecuentes sobre tipos de implantes dentales
¿Qué tipos de implantes hay?
Existen tres principales: endoóseos, subperiósticos y cigomáticos. Cada uno se adapta a una cantidad diferente de hueso y necesidad funcional.
¿Cuántos tipos diferentes de implantes existen?
Aparte de los tres básicos, hay variantes como los implantes pterigoideos o los sistemas All-on-X para rehabilitaciones completas.
¿Qué tipo de implante dental es mejor?
Depende del caso. En pacientes con hueso suficiente, el de titanio es el más usado. En casos sin hueso, se recomiendan cigomáticos o subperiósticos.
¿Cuál es el implante más usado?
El más habitual es el implante endoóseo de titanio, por su resistencia, biocompatibilidad y larga duración.
Conclusión
En nuestra clínica Alejandro Prieto Dental, en Barrio de Salamanca, Madrid. Realizamos todos los tipos de implantes dentales, desde los más convencionales hasta los casos de cirugía avanzada. Lo que nos diferencia:
Planificación 3D y cirugía guiada digital.
Laboratorio propio para resultados personalizados.
Implantes de alta estética con garantía de por vida.
Agenda tu valoración personalizada y descubre qué tipo de implante es ideal para ti.



