Fotos de carillas dentales: resultados reales antes y después
Las carillas dentales son uno de los tratamientos más demandados en odontología estética. En este post vamos a enseñarte varias fotos de carillas dentales, casos reales antes y después, llevados a cabo en nuestra clínica. De esta forma puedes saber qué esperar y decidir si este tratamiento es para ti.
En este artículo encontrarás:
- Qué son las carillas dentales y cómo se colocan.
- Tipos de carillas dentales y precios en España.
- Fotos reales de carillas dentales antes y después.
- Opiniones, ventajas y desventajas.
¿Qué son las carillas dentales?
Según Mayo Clinic Org, una carilla dental es una fina lámina de porcelana o composite que se coloca en la parte frontal del diente para mejorar su estética.
- Qué es una carilla dental: una funda ultrafina que corrige color, forma y tamaño.
- Qué son las carillas dentales: solución estética para quienes buscan una sonrisa más blanca y alineada.
- Carillas dentales qué son: son consideradas un tratamiento mínimamente invasivo, sobre todo en la modalidad carillas sin tallado.
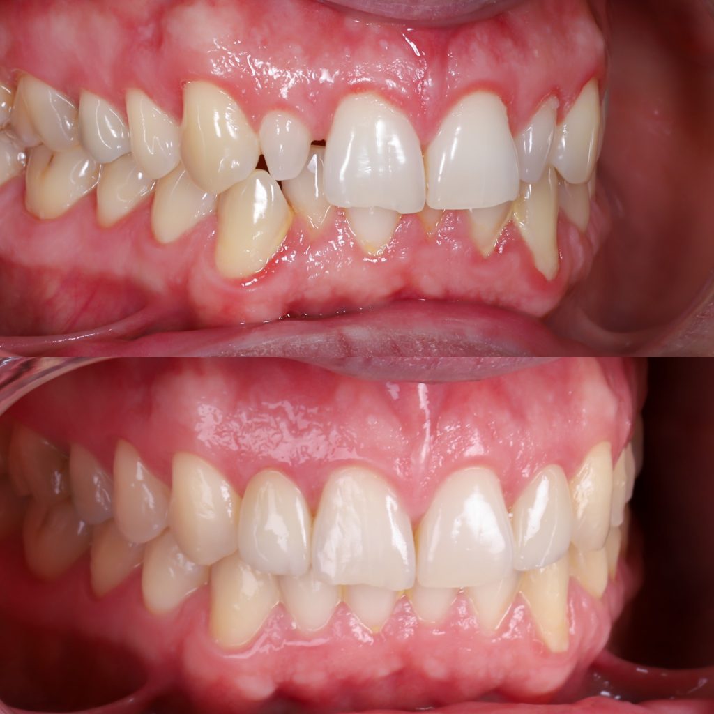
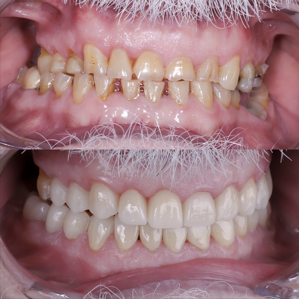
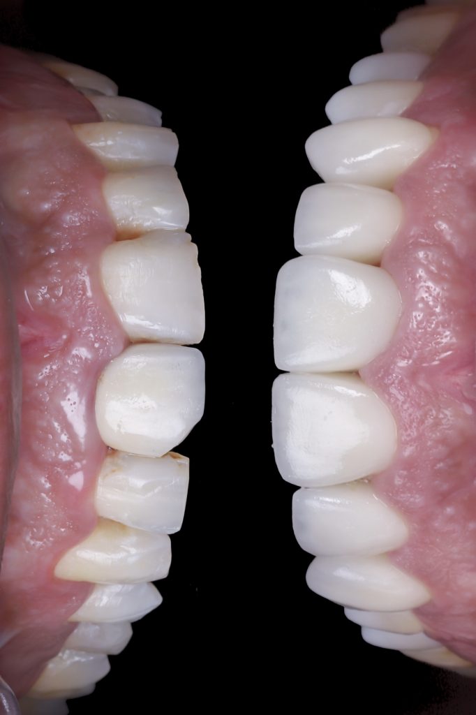
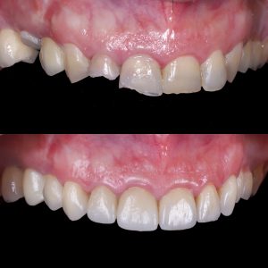
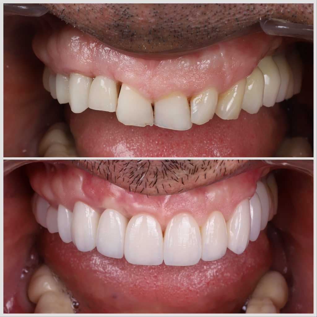
Mira aquí las fotos de carillas dentales antes y después: notarás la diferencia en el color y la forma de los dientes.
Fotos de carillas dentales antes y después
Las imágenes de resultados reales son la mejor referencia para entender qué se consigue con este tratamiento.
- Carillas dentales fotos antes y después: muestran cambios radicales en la sonrisa.
- Famosos con carillas dentales: actores, cantantes y presentadores españoles mejoraron su imagen gracias a este tratamiento.
- Carillas dentales opiniones: la mayoría de pacientes coinciden en que ganan confianza y seguridad al sonreír.
Tipos de carillas dentales y precios
Existen varios tipos de carillas dentales según el material:
- Carillas de composite → más económicas. (Carillas dentales composite precio desde 150 € por diente).
- Carillas de porcelana → alta estética y mayor duración. (Carillas dentales porcelana precio desde 400–600 € por diente).
- Carillas de zirconio o cerámica avanzada → máxima naturalidad y resistencia.
Tipos de carillas dentales y precios en España:
- Carilla dental precio individual: 150–600 €
- Precio carillas dentales toda la boca: 3.000–8.000 € según material y clínica.
- Carillas dentales precio Vitaldent: varía según promoción, entre 350 y 500 € por diente.
- Carillas dentales precio Sanitas o Adeslas: desde 250 € por diente, dependiendo de la póliza.
¿Cómo se ponen las carillas dentales?
- En algunos casos se requiere un mínimo tallado dental (limado).
- En carillas sin tallado, no se toca el diente natural.
- Se utilizan adhesivos especiales (¿con qué se pega una carilla dental? Con resinas compuestas de alta resistencia).
El procedimiento es rápido: en 2–3 citas tendrás tu sonrisa renovada.
Carillas dentales: ventajas y desventajas
Ventajas:
- Resultados inmediatos y naturales.
- Mejoran color, forma y alineación.
- Alternativa a ortodoncia y blanqueamiento.
Carillas dentales desventajas:
- Precio más elevado que otros tratamientos.
- Requieren cuidados para prolongar su duración.
- En algunos casos implican desgaste dental.
Carillas dentales precios en España
El precio de las carillas dentales en España depende de la ciudad y del material:
- Carillas dentales Madrid precio: desde 250 € (composite) hasta 600 € (porcelana).
- Carillas dentales Barcelona precios: similares a Madrid.
- Carillas dentales Málaga precio: desde 200 € en composite.
- Carillas dentales Valencia y Alicante: desde 250–500 € por diente.
Precio de carillas dentales toda la boca: entre 3.000 y 8.000 € según material y clínica.
Preguntas frecuentes sobre carillas dentales
¿Cuánto cuesta una sola carilla dental?
El precio de una carilla dental individual en España va desde 150 € (composite) hasta 600 € (porcelana o zirconio).
¿Qué carillas se ven más naturales?
Las carillas de porcelana o zirconio ofrecen la mayor naturalidad gracias a su translucidez, imitando el esmalte natural.
¿Qué pasa con mis dientes si me pongo carillas?
En la mayoría de los casos se mantiene la estructura dental. Con carillas sin tallado no hay desgaste, mientras que en porcelana puede haber un mínimo limado.
¿Cuánto cobran por unas carillas?
Depende de la clínica y el material: 150–600 € por diente. Para toda la boca, entre 3.000 y 8.000 €.
¿A qué edad se pueden poner carillas dentales?
Se recomienda a partir de los 18 años, cuando el desarrollo dental está completo.
¿Con qué se pega una carilla dental?
Con resinas adhesivas de alta resistencia utilizadas exclusivamente en clínicas dentales.
¿Cuánto duran las carillas dentales?
Las de composite duran 5–7 años, mientras que las de porcelana duran 10–15 años o más.
Conclusión
Las carillas dentales son el tratamiento estético más demandado para transformar la sonrisa. Si buscas inspiración, las fotos de carillas dentales antes y después muestran resultados espectaculares.
En Dr. Alejandro Prieto Dental (Madrid) ofrecemos carillas de porcelana y composite con la máxima naturalidad y a precios transparentes. Te asesoramos sobre qué tipo de carilla es la mejor para ti y cuánto cuesta el tratamiento completo.
