Alargamiento coronario
El alargamiento coronario es un procedimiento quirúrgico odontológico que permite exponer mayor superficie del diente eliminando o remodelando tejido gingival y, en algunos casos, hueso. Se utiliza tanto por motivos estéticos como funcionales, mejorando la proporción diente-encía y facilitando tratamientos restauradores.
¿Qué es el alargamiento coronario?
Es una cirugía periodontal que permite aumentar la parte visible del diente. Puede realizarse mediante gingivectomía (solo encía) o combinando remodelación ósea cuando es necesario.
Se utiliza en:
- Estética de sonrisa
- Dientes cortos
- Preparación para coronas o empastes profundos
- Fracturas dentales subgingivales

¿Para quién está indicado?
- Pacientes con exceso de encía visible
- Personas con sonrisa gingival leve o moderada
- Pacientes que necesitan reconstrucciones dentales
- Casos donde la caries queda bajo encía
Alargamiento coronario y gingivectomía: diferencias
La gingivectomía solo elimina encía.
El alargamiento coronario puede incluir remodelado óseo para resultados más estables.
Proceso paso a paso
- Valoración clínica
- Radiografías o TAC si es necesario
- Planificación estética
- Anestesia local
- Remodelado de encía (y hueso si procede)
- Sutura y control posterior
Duración aproximada: 45–90 minutos.
Precio del alargamiento coronario en España
👉 250 € – 600 € por diente
👉 Casos estéticos completos: puede ser mayor
Depende de:
- Número de dientes
- Complejidad quirúrgica
- Tecnología utilizada
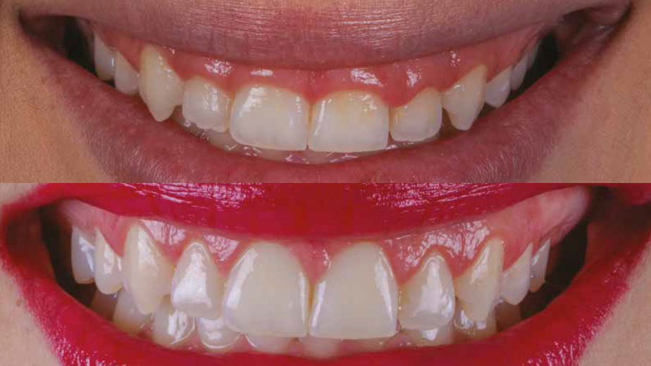
Antes y después del alargamiento coronario
El resultado permite ver más superficie dental, mejorando la estética de la sonrisa y facilitando restauraciones duraderas.
Los cambios suelen ser visibles tras la cicatrización inicial.

Ana, 36 años
“Mis dientes parecían muy cortos. Después del tratamiento mi sonrisa cambió muchísimo.”
Luis, 48 años
“Me lo hicieron para colocar una corona dental. La recuperación fue más fácil de lo que esperaba.”
Carla, 29 años
“El resultado es muy natural. Nadie nota que me hice una cirugía.”
Pide tu cita sin coste y descubre si el alargamiento coronario es la mejor opción para tu sonrisa.
En Dr. Alejandro Prieto Dental somos especialistas en rehabilitaciones de boca completa con implantes
-Dr. Alejandro
Preguntas frecuentes
La cicatrización tras un alargamiento de corona varía según cada paciente y la complejidad del procedimiento. La encía suele recuperarse de forma inicial en 7–10 días, permitiendo volver a la mayoría de actividades. No obstante, la cicatrización completa del tejido gingival y del hueso requiere entre 6 y 12 semanas, momento en el que el área está totalmente estable para continuar con restauraciones definitivas.
El alargamiento coronario es un procedimiento de cirugía periodontal que consiste en remodelar la encía —y en algunos casos el hueso— para exponer una mayor parte del diente. Se utiliza tanto en tratamientos clínicos, por ejemplo cuando una caries o una corona requieren más estructura dental para restaurarse correctamente, como con fines estéticos, para armonizar la línea de la encía y mejorar la apariencia de una sonrisa gingival.
El alargamiento coronario es un tratamiento seguro y muy útil, pero no siempre es la mejor opción para todos los casos. Puede no recomendarse cuando hay pérdida ósea avanzada, cuando el diente podría quedar menos estable al alargar demasiado la corona o si existe una fractura en la raíz que impida obtener suficiente estructura dental. En estas situaciones, el especialista valora alternativas que ofrezcan un mejor resultado estético y funcional para el paciente.
El precio medio en España de un alargamiento coronario, es de 255 euros por diente.
conoce al equipo – Alejandro Prieto Dental
Equipo multidisciplinar
En Alejandro Prieto Dental contamos con un equipo multidisciplinar especializado en implantes dentales, dentadura fija sobre implantes con carga inmediata y carillas dentales de alta estética.
El equipo está liderado por el Dr. Alejandro Prieto, cirujano implantólogo de prestigio internacional, experto en impantes de boca completa y en resultados de alta estética dental. Contamos con laboratorio dental en exclusiva, lo que nos permite controlar internamente cada fase del tratamiento para asegurar calidad, precisión y resultados predecibles.
Nuestro objetivo: resultados naturales, estables y duraderos para cada paciente.
Historias de transformación
Si alguna vez te han dicho que tu caso no tiene solución, en Alejandro Prieto Dental desafiamos los límites de la odontología para ofrecerte la respuesta que estabas buscando.
Antes y después

Antes y después

Antes y después

Antes y después

Antes y después

Antes y después


Pide tu primera cita gratuita y empieza tu cambio
Visualizar la transformación
Los cambios de imagen de la sonrisa favorecen mejoras cuidadosas y matizadas, para obtener resultados naturales que garanticen el equilibrio general y la armonía facial.
Ver más historias
EXPERIMENTE LA DIFERENCIA
En Alejandro Prieto Dental, fusionamos arte, tecnología y máxima precisión para diseñar sonrisas únicas, auténticas y completamente personalizadas