Lorem ipsum dolor sit amet, consectetur adipiscing elit. Ut elit tellus, luctus nec ullamcorper mattis, pulvinar dapibus leo.

Prótesis dental sobre implantes dentales

La dentadura fija sobre implantes es una solución definitiva para quienes han perdido una o ambas arcadas dentales. Consiste en colocar varios implantes integrados en el hueso maxilar o mandíbula, que servirán de anclaje a una prótesis fija de boca completa, de modo que no puedas quitarla: está fija permanentemente, como dientes naturales


A diferencia de las dentaduras removibles, la prótesis fija garantiza estabilidad, comodidad, función plena al masticar, fijación segura y estética natural.

¿PARA QUIÉN ESTÁ INDICADO?

  • Pacientes con pérdida total o parcial de dientes en una arcada o ambas. 

  • Personas que ya usan dentaduras removibles y quieren una opción fija, segura y cómoda. 

  • Pacientes que buscan masticar, hablar y sonreír con normalidad, sin desplazamientos, sin adhesivos, sin molestias — con una solución permanente.

Proceso de colocación IMPLANTES FIJOS PARA BOCA COMPLETA - nUESTRO MÉTODO

En Alejandro Prieto Dental, abordamos cada caso con máxima rigurosidad. Nuestro proceso:

  1. Estudio y diagnóstico digital 3D completo —  planificamos con precisión usando la última tecnología digital.

  2. Plan personalizado adaptado a tus necesidades: número de implantes según el estado de tu hueso y definición de la próstesis con diseño digital de sonrisa.

  3. Implantología avanzada: colocación de implantes dentales usando cirugía guiada. Trabajamos solo con las mejores marcas de implantes dentales. 

  4. Prótesis fija sobre implantes, el mismo día de la cirugía, con carga inmediata, ponemos prótesis provisional para que tengas dientes desde el primer día. La prótesis, está hecha artesanalmente en laboratorio dental en exclusiva: asgurando ajuste perfecto, alta estética y mejores calidades.

  5. Seguimiento y mantenimiento: control periódico para asegurar la salud y durabilidad de tu rehabilitación. Damos garantía de por vida en implantes sujeta a revisiones periódicas sin coste asociado.

Nuestro protocolo perfeccionado aplicando la última tecnología digital, la experiencia de casi 20 años y cientos de casos de implantología avanzada nos han convertido en una clínica de referencia en Madrid. Pacientes de todo el mundo acuden a nosotros para sus rehabilitaciones completas con dientes fijos en el día.

Precio dentadura fija sobre implantes

En Alejandro Prieto Dental, abordamos cada caso con máxima rigurosidad. Nuestro proceso:

  1. Estudio y diagnóstico digital 3D completo —  planificamos con precisión usando la última tecnología digital.

  2. Plan personalizado adaptado a tus necesidades: número de implantes según el estado de tu hueso y definición de la próstesis con diseño digital de sonrisa.

  3. Implantología avanzada: colocación de implantes dentales usando cirugía guiada. Trabajamos solo con las mejores marcas de implantes dentales. 

  4. Prótesis fija sobre implantes, el mismo día de la cirugía, con carga inmediata, ponemos prótesis provisional para que tengas dientes desde el primer día. La prótesis, está hecha artesanalmente en laboratorio dental en exclusiva: asgurando ajuste perfecto, alta estética y mejores calidades.

  5. Seguimiento y mantenimiento: control periódico para asegurar la salud y durabilidad de tu rehabilitación. Damos garantía de por vida en implantes sujeta a revisiones periódicas sin coste asociado.

Nuestro protocolo perfeccionado aplicando la última tecnología digital, la experiencia de casi 20 años y cientos de casos de implantología avanzada nos han convertido en una clínica de referencia en Madrid. Pacientes de todo el mundo acuden a nosotros para sus rehabilitaciones completas con dientes fijos en el día.

Ventajas

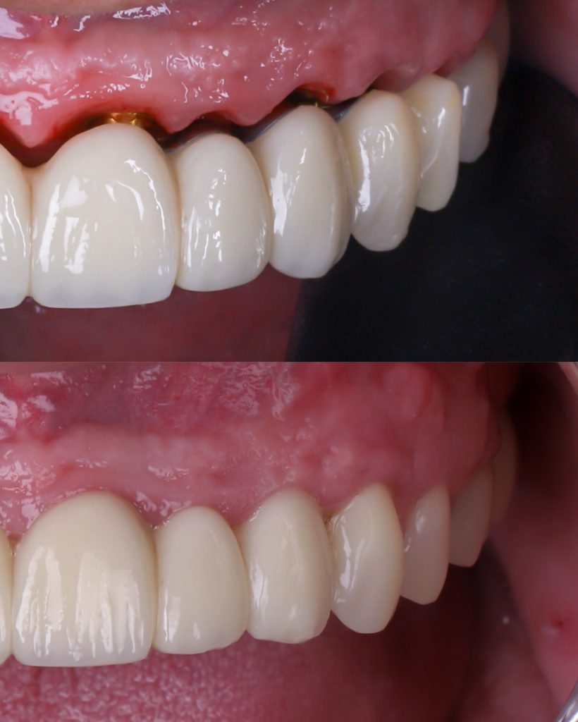
La prótesis dental fija sobre implantes es una de las soluciones más estables, estéticas y duraderas para reemplazar dientes perdidos. Estas son sus principales ventajas:

1. Estabilidad total

La prótesis queda firmemente unida a los implantes, evitando movimientos y proporcionando seguridad al hablar y masticar.

2. Masticación eficiente

Permite recuperar gran parte de la fuerza masticatoria natural, facilitando una alimentación cómoda y sin limitaciones.

3. Estética natural y personalizada

Se diseña a medida, respetando forma, color y proporciones para obtener un resultado armónico y muy natural.

4. Sensación similar a los dientes propios

La integración entre implante y prótesis proporciona una sensación estable y cómoda, muy parecida a tener dientes naturales.

5. Prevención de la pérdida ósea

Los implantes estimulan el hueso maxilar, ayudando a conservar el volumen óseo y evitando el colapso o envejecimiento facial.

6. Alta durabilidad

Con un buen cuidado, las prótesis fijas sobre implantes pueden durar muchos años, ofreciendo una solución sólida y predecible. En Alejandro Prieto Dental, damos garantía de por vida en implantes dentales.

7. Mejora de la calidad de vida

Restablecen la función, la estética y la seguridad del paciente, evitando las molestias de las prótesis removibles.

8. Confort y mantenimiento sencillo

No requieren adhesivos y su limpieza diaria es simple, facilitando una rutina cómoda y eficaz.

Testimonios

Nuestros pacientes que se someten a una prótesis fija sobre implantes suelen coincidir en varias sensaciones y experiencias que se repiten una y otra vez en nuestra consulta. La mayoría se sorprenden de lo poco que duele el procedimiento: gracias a la sedación, describen la cirugía como un proceso cómodo, y las molestias posteriores como leves y manejables con medicación durante dos o tres días.

También valoran especialmente poder llevar dientes fijos desde el primer día, lo que les permite reincorporarse a su vida normal de forma casi inmediata, sin interrupciones ni incomodidades.

Otro aspecto que nuestros pacientes destacan es la naturalidad del resultado. Muchos comentan que nunca habían visto unos dientes tan estéticos y adaptados a su rostro, y que por fin pueden sonreír sin complejos, recuperar seguridad y volver a disfrutar de funciones tan básicas como hablar o masticar con total confianza.

En conjunto, la mayoría describe este tratamiento como una decisión que les ha cambiado la vida, no solo por la funcionalidad que recuperan, sino por el impacto positivo en su confianza y bienestar diario.

conoce al equipo – Alejandro Prieto Dental

Equipo multidisciplinar

En Alejandro Prieto Dental contamos con un equipo multidisciplinar especializado en implantes dentales, dentadura fija sobre implantes con carga inmediata y carillas dentales de alta estética.

El equipo está liderado por el Dr. Alejandro Prieto, cirujano implantólogo de prestigio internacional, experto en impantes de boca completa y en resultados de alta estética dental. Contamos con laboratorio dental en exclusiva, lo que nos permite controlar internamente cada fase del tratamiento para asegurar calidad, precisión y resultados predecibles.

Nuestro objetivo: resultados naturales, estables y duraderos para cada paciente.

Historias de transformación

Si alguna vez te han dicho que tu caso no tiene solución, en Alejandro Prieto Dental desafiamos los límites de la odontología para ofrecerte la respuesta que estabas buscando.

Preguntas frecuentes

¿Cuánto cuesta una dentadura fija con implantes?

En España, una dentadura fija con implantes cuesta entre 15.000 € y 18.000 € por arcada.
El precio depende del número de implantes (4, 6 u 8), del material de la prótesis (resina, porcelana o circonio) y de si el paciente necesita regeneración ósea. En Alejandro Prieto Dental, este precio incluye los implantes, la prótesis provisional con dientes en el día, la prótesis definitiva, la sedación y todas las revisiones, además de garantía de por vida en los implantes.

¿Cuántos implantes son necesarios para una dentadura fija?

Para una dentadura fija se suelen colocar entre 4 y 8 implantes por arcada.
Las técnicas más habituales son dentadura fija sobre 4, 6 u 8 implantes cuando se busca la máxima estabilidad. El número exacto depende de la calidad del hueso y de la planificación del cirujano. 

 

¿Cuántos implantes dentales se pueden poner en un día?

En un solo día se pueden colocar hasta 16 implantes cuando se rehabilitan ambas arcadas (superior e inferior) en una misma cirugía. Normalmente se colocan entre 4 y 8 implantes por arcada, según la calidad del hueso y la técnica utilizada (All-on-4, All-on-6 u 8 implantes).

Muchos pacientes prefieren hacerlo todo en una única intervención porque la sedación solo se realiza una vez, lo que reduce costes y facilita el proceso. Otros optan por hacerlo en dos cirugías, una por arcada, para una recuperación más progresiva.

En Alejandro Prieto Dental nos adaptamos a la preferencia del paciente y planificamos cada caso con TAC 3D para garantizar estabilidad, función y estética, ofreciendo además garantía de por vida en  implantes dentales.

¿Cuánto cuesta una prótesis fija dental?

En España, una prótesis fija dental con implantes de boca completa cuesta entre 15.000 € y 18.000 € por arcada. El precio depende del número de implantes (4, 6 u 8), del material de la prótesis (resina, porcelana o circonio) y de si es necesario realizar injertos óseos.

En Alejandro Prieto Dental, este precio incluye los implantes, la prótesis provisional con dientes en el día (carga inmediata), la prótesis definitiva, la sedación y todas las revisiones, además de garantía de por vida en los implantes.

Factores que influyen en el precio

  • Número de implantes utilizados: normalmente 4, 6 u 8 por arcada.

  • Material de la prótesis definitiva:

    • Resina reforzada

    • Porcelana

    • Circonio monolítico o multicapa (la opción más estética y resistente)

  • Necesidad de injertos óseos, regeneración o elevación de seno.

  • Nivel de especialización del cirujano y la clínica. Importante ver casos del cirujano que te va a tratar para asegurar que tiene gran experiencia.

  • Importante asegurarse que la marca de implantes es buena.
¿Qué es mejor, las dentaduras postizas permanentes o los implantes?

Los implantes de boca completa son mejores que las dentaduras postizas a largo plazo.
Los implantes son fijos, no se mueven, permiten masticar con más fuerza y ayudan a conservar el hueso. Las dentaduras postizas pueden moverse, generar incomodidad y acelerar la pérdida ósea. Por eso los implantes ofrecen una solución más estable, cómoda y duradera.

¿Cuál es la diferencia entre implantes y prótesis fijas?

El implante es el tornillo que sustituye la raíz; la prótesis fija es el diente o los dientes que van colocados encima.
El implante se integra en el hueso y actúa como soporte. La prótesis fija puede ser una corona, un puente o una arcada completa atornillada a varios implantes. En resumen: el implante es la base; la prótesis fija es la parte visible que reemplaza los dientes.

Visualizar la transformación

Los cambios de imagen de la sonrisa favorecen mejoras cuidadosas y matizadas, para obtener resultados naturales que garanticen el equilibrio general y la armonía facial.

Ver más historias

EXPERIMENTE LA DIFERENCIA

En Alejandro Prieto Dental, fusionamos arte, tecnología y máxima precisión para diseñar sonrisas únicas, auténticas y completamente personalizadas.

Scroll to Top

We're here to help!

Call or WhatsApp us on the number:

Available
Mon - Friday 9 AM — 9 PM