Lorem ipsum dolor sit amet, consectetur adipiscing elit. Ut elit tellus, luctus nec ullamcorper mattis, pulvinar dapibus leo.

¿Qué son los Implantes de carga Inmediata?

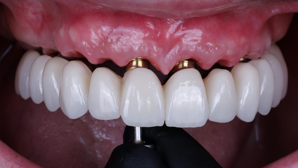
Los implantes de carga inmediata consisten en una técnica que permite colocar los implantes dentales y, en el mismo día, fijar sobre ellos una prótesis provisional. Esto te permite salir de la clínica con dientes fijos desde el primer momento, con función y estética inmediata, sin los largos meses de espera de los implantes tradicionales.

La prótesis provisional —muy similar en estética y funcionalidad a la definitiva— se lleva durante unos tres meses, mientras los implantes se integran en el hueso. Una vez completada la osteointegración, colocamos la prótesis definitiva, diseñada con máxima precisión y ajustada a tu sonrisa final mediante diseño digital de sonrisa.

¿para quién son indicados LOS IMPLANTES DE CARGA INMEDIATA?

En general, la carga inmediata está indicada en personas que:

  • Desean recuperar dientes fijos de forma rápida, sin largos periodos con ausencias dentales.

  • Presentan un volumen y calidad de hueso adecuados para lograr estabilidad primaria del implante.

  • Buscan una solución fija frente a prótesis removibles.

  • Quieren mejorar estética, función masticatoria y seguridad al hablar en el menor tiempo posible.

En casos de pérdida ósea severa, puede ser necesario combinar la carga inmediata con técnicas avanzadas de regeneración ósea o valorar otras alternativas como implantes cigomáticos.

Proceso de tratamiento de implantes de cargA INMEDIATA - IMPLANTES EN 24 HORAS

En Alejandro Prieto Dental seguimos un protocolo preciso para conseguir dientes fijos desde el primer día.

1. Estudio y planificación digital

Realizamos un TAC 3D, escaneado intraoral y un análisis estético para planificar la posición de los implantes y el diseño de la prótesis.

2. Cirugía con sedación y mínima invasión

Colocamos los implantes siguiendo la planificación digital. El procedimiento es cómodo gracias a la sedación y suele generar molestias leves los primeros días.

3. Colocación de dientes fijos en 24 horas

En las primeras 24 horas se instala una prótesis fija provisional, permitiendo al paciente hablar, sonreír y hacer vida normal prácticamente desde el inicio.

4. Integración y controles

Durante los meses siguientes los implantes se integran en el hueso. Se realizan revisiones periódicas para asegurar la correcta evolución.

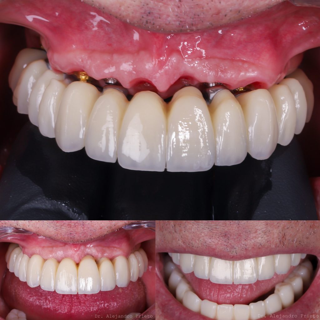
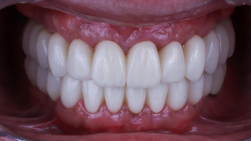
5. Prótesis definitiva de alta estética

Una vez completada la osteointegración, se diseña y coloca la prótesis final, logrando un resultado natural, estable y duradero.

ata.

La carga inmediata permite al paciente disfrutar de su dentadura dija desde el primer día de la cirugía

- Dr. Alejandro Prieto

Ventajas de usar implantes de carga inmediata

  •  Dientes fijos el mismo día o en 24–48 horas.
  • Comodidad y funcionalidad inmediata: comer, hablar, sonreír con normalidad.

  • Estética inmediata, sonrisa completa sin esperar meses.

  • Procedimiento planificado con precisión gracias a la tecnología digital.

  • Prótesis fabricada en nuestro laboratorio en exclusiva: ajuste perfecto, estética y calidad garantizada.

  • Reducción de tiempo total y menos citas; ideal para quienes buscan eficiencia.

  • Precios justos. No cobramos más como en otras clínicas, por usar implantes de carga inmediata.

Colocar esta prótesis ayuda a la cicatrización rápida y segura del tejido óseo y la integración adecuada del implante al hueso.
La diferencia entre los implantes dentales tradicionales y los implantes de carga inmediata es que estos últimos llevan desde el primer día una prótesis provincial, es decir, tendrás un resultado estético inmediato.

tESTIMONOS DE PACIENTES CON IMPLANTES DE CARGA INMEDIATA

Los pacientes que se someten a tratamientos de carga inmediata sobre implantes suelen coincidir en varios puntos:

  • Se sorprenden de lo poco que perciben la cirugía gracias a la sedación y a las técnicas mínimamente invasivas.

  • Describen las molestias posteriores como perfectamente controlables con medicación durante dos o tres días.

  • Valoran mucho poder incorporarse rápidamente a su vida normal, SIN UN SOLO DÍA SIN DIENTES.

  • Comentan que los dientes fijos que reciben son los más naturales que han visto, tanto en color como en forma.

  • Muchos destacan que por fin pueden sonreír sin complejos y volver a comer con seguridad.

En conjunto, la mayoría define la carga inmediata como un tratamiento que les ha cambiado la manera de verse y de relacionarse con los demás.

conoce al equipo – Alejandro Prieto Dental

Equipo multidisciplinar

En Alejandro Prieto Dental contamos con un equipo multidisciplinar especializado en implantes dentales, dentadura fija sobre implantes con carga inmediata y carillas dentales de alta estética.

El equipo está liderado por el Dr. Alejandro Prieto, cirujano implantólogo de prestigio internacional, experto en impantes de boca completa y en resultados de alta estética dental. Contamos con laboratorio dental en exclusiva, lo que nos permite controlar internamente cada fase del tratamiento para asegurar calidad, precisión y resultados predecibles.

Nuestro objetivo: resultados naturales, estables y duraderos para cada paciente.

Historias de transformación

Si alguna vez te han dicho que tu caso no tiene solución, en Alejandro Prieto Dental desafiamos los límites de la odontología para ofrecerte la respuesta que estabas buscando.

Preguntas frecuentes sobre implantes de carga inmediat

¿Qué es mejor, un implante de carga inmediata o normal?

Los implantes de carga inmediata son la mejor opción cuando se busca una solución rápida, con dientes fijos en 24 horas y una recuperación estética y funcional inmediata. Son ideales para pacientes con buena calidad ósea y estabilidad primaria suficiente del implante.

Los implantes tradicionales pueden ser la mejor opción en casos donde el hueso es limitado, existe infección, movilidad dental severa o no se puede garantizar una estabilidad inicial óptima. Ya que ofrecen una integración muy sólida a largo plazo porque respetan completamente los tiempos biológicos del hueso.

En resumen:

  • Carga inmediata: mejor para pacientes que cumplen criterios clínicos y desean dientes fijos desde el primer día.

  • Implante tradicional: mejor para casos complejos, poco hueso o cuando se busca máxima predictibilidad biológica.

La decisión final debe basarse en un estudio individualizado con TAC 3D, ya que solo así puede determinarse cuál de las dos opciones ofrece mayor seguridad y durabilidad en cada caso.

¿Cuáles son los riesgos de los implantes de carga inmediata?

Los principales riesgos de los implantes de carga inmediata son la falta de osteointegración si el implante recibe demasiada carga en los primeros días, la fractura de la prótesis provisional, la infección postoperatoria y los problemas de oclusión si la mordida no está bien ajustada. Estos riesgos se reducen de forma significativa cuando el caso está bien indicado y el paciente sigue las recomendaciones del implantólogo.

¿Cuánto dura un implante de carga inmediata?

Un implante de carga inmediata puede durar hasta toda la vida, si ha sido bien colocado y siguiendo los cuidados recomendados. Es importante entender que la carga inmediata no cambia la vida útil del implante porque el implante es exactamente el mismo que se usa en la técnica tradicional. La diferencia no está en el implante, sino en la técnica: en vez de esperar varios meses, se colocan dientes fijos en las primeras 24 horas.

Por este motivo, un implante de carga inmediata dura lo mismo que un implante convencional, siempre que exista buena estabilidad inicial, el caso esté bien planificado y se realice un mantenimiento adecuado. En Alejandro Prieto Dental, damos garantía de por vida en implantes.

¿Qué precio tienen los implantes de carga inmediata?

Los precios de carga inmediata son de 1.500 € todo incluido, para implante de carga inmediata unitario. Y desde 15.000 € para arcada completa con carga inmediata. Incluyendo planificación digital, implantes y prótesis provisional inmediata.

 

 

 

¿Cuáles son los tres tipos de implantes dentales?

¿Cuáles son los tres tipos de implantes dentales?
Los tres principales tipos son:
1. Implantes endoóseos, insertados dentro del hueso.
2. Implantes cigomáticos, anclados en el hueso del pómulo.
3. Implantes subperiósticos, apoyados sobre el hueso cuando no existe volumen suficiente.

Visualizar la transformación

Los cambios de imagen de la sonrisa favorecen mejoras cuidadosas y matizadas, para obtener resultados naturales que garanticen el equilibrio general y la armonía facial.

Ver más historias

EXPERIMENTE LA DIFERENCIA

En Alejandro Prieto Dental, fusionamos arte, tecnología y máxima precisión para diseñar sonrisas únicas, auténticas y completamente personalizadas.

Scroll to Top

We're here to help!

Call or WhatsApp us on the number:

Available
Mon - Friday 9 AM — 9 PM