DR. ALEJANDRO PRIETO
Clínica Dental

Elevación de seno maxilar:
implantes dentales cuando no hay hueso

¿Qué es la elevación de seno maxilar?

La elevación de seno maxilar es un procedimiento quirúrgico que consiste en elevar cuidadosamente el seno maxilar y crear el espacio necesario para colocar material de regeneración ósea. Con el tiempo, este hueso se integra y permite la colocación segura de implantes dentales.

La falta de hueso en el maxilar superior es muy frecuente tras la pérdida de dientes, ya que el hueso se reabsorbe de forma natural y el seno maxilar desciende, reduciendo la altura disponible para los implantes. La elevación de seno maxilar soluciona este problema y permite planificar tratamientos de implantología con mayor seguridad y previsibilidad.

Es una técnica contrastada, ampliamente utilizada y con alta tasa de éxito cuando está bien indicada y planificada, tal y como recogen las guías clínicas y la literatura científica de la Sociedad Española de Periodoncia y Osteointegración (SEPA).

En Dr. Alejandro Prieto Dental somos especialistas en rehabilitaciones de boca completa con implantes

-Dr. Alejandro

Tipos de elevación sinusal

Elevación de seno maxilar abierta

La elevación de seno maxilar abierta está indicada cuando la pérdida de hueso es mayor. Se accede lateralmente al seno maxilar para elevar la membrana y colocar una mayor cantidad de material regenerativo.

Es la técnica más utilizada en casos complejos y permite una regeneración ósea amplia y controlada.

Elevación de seno maxilar y colocación de implantes

  • Elevación de seno maxilar y colocación de implantes en el mismo acto quirúrgico, cuando existe una altura mínima de hueso.
  • Elevación de seno maxilar previa a la colocación de implantes, dejando que el hueso regenere antes de colocar los implantes.

Ambas opciones permiten obtener implantes dentales estables y duraderos cuando están correctamente indicadas. La elección depende de la anatomía del paciente y de la planificación individual del tratamiento.

¿Para quién está indicada la elevación de seno maxilar?

La regeneración ósea en el seno maxilar está indicada en:

La regeneración ósea en el seno maxilar está indicada en:

  • Pacientes con poco hueso en el maxilar superior.
  • Personas que han perdido dientes hace tiempo y presentan reabsorción ósea.
  • Pacientes a los que se les ha indicado que no pueden ponerse implantes.
  • Casos en los que no es posible colocar implantes dentales convencionales.
  • Pacientes que desean una solución fija frente a prótesis removibles.
  • Tratamientos de implantes unitarios, múltiples o rehabilitaciones completas.
Un estudio previo con TAC dental y planificación digital permite confirmar si el paciente es candidato y cuál es la mejor opción en cada caso.

Ventajas de la elevación de seno maxilar

La técnica de elevación del seno ofrece múltiples ventajas:

Desventajas, riesgos y posibles complicaciones

Como cualquier procedimiento quirúrgico, la cirugía de elevación de seno puede presentar riesgos o efectos secundarios , aunque no son frecuentes cuando está bien indicado.

El fracaso de la elevación de seno maxilar es poco habitual y suele estar relacionado con factores como el tabaquismo, infecciones previas o no seguir las indicaciones postoperatorias.

Precio de la elevación de seno maxilar

El precio de la elevación de seno maxilar depende de varios factores:

  • Tipo de técnica (abierta o cerrada).
  • Cantidad de hueso a regenerar.
  • Complejidad del caso.
  • Si se colocan implantes en el mismo procedimiento.

De forma orientativa, el precio suele oscilar entre 600 € y 1.500 €, sin incluir el coste de los implantes dentales.

Tras un estudio personalizado, se ofrece un presupuesto cerrado y adaptado a cada paciente.

Opiniones sobre la elevación de seno maxilar

Las opiniones sobre la elevación de seno maxilar suelen ser muy positivas, especialmente en pacientes a los que previamente se les había dicho que no podían colocarse implantes dentales.

Los pacientes destacan:

  • Poder volver a tener dientes fijos.
  • La estabilidad del tratamiento.
  • La mejora en función masticatoria.
  • La seguridad del procedimiento cuando está bien explicado.

“Hemos solucionado centenares de casos complejos de pacientes con falta de hueso para poner implantes dentales. Estudiaremos tu caso para darte la solución más segura – Damos garantía de por vida en implantes dentales”

Dr. Alejandro Prieto

Conoce al equipo

Alejandro Prieto Dental

Equipo multidisciplinar

En Alejandro Prieto Dental contamos con un equipo multidisciplinar especializado en implantes dentales, dentadura fija sobre implantes con carga inmediata y carillas dentales de alta estética.

El equipo está liderado por el Dr. Alejandro Prieto, cirujano implantólogo de prestigio internacional, experto en implantes de boca completa y en resultados de alta estética dental. Contamos con laboratorio dental en exclusiva, lo que nos permite controlar internamente cada fase del tratamiento para asegurar calidad, precisión y resultados predecibles.

Nuestro objetivo: resultados naturales, estables y duraderos para cada paciente.

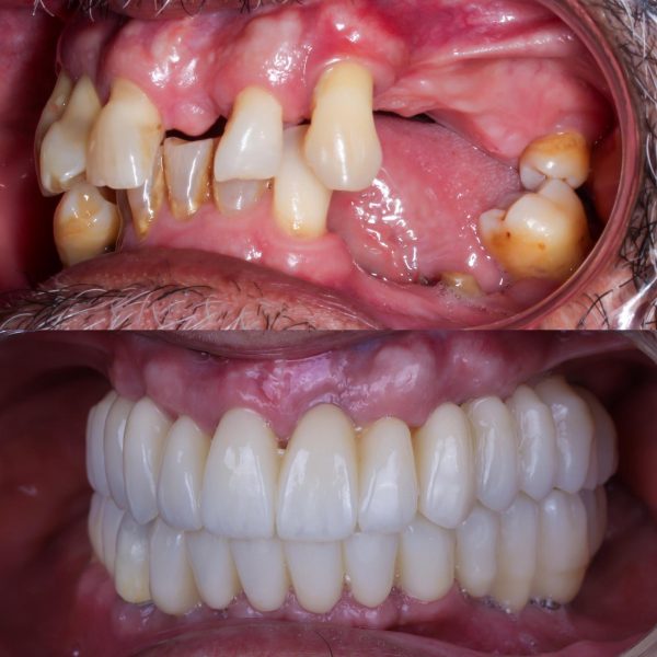
Historias de transformación

Si alguna vez te han dicho que tu caso no tiene solución, en Alejandro Prieto Dental desafiamos los límites de la odontología para ofrecerte la respuesta que estabas buscando.

Preguntas frecuentes

¿La elevación de seno maxilar duele?

No. Se realiza con anestesia local y no es dolorosa durante la cirugía. Las molestias posteriores suelen ser leves.

La recuperación inicial es rápida. La regeneración ósea completa suele tardar entre 4 y 6 meses.

En la mayoría de los casos no, aunque en trabajos físicos puede recomendarse reposo de pocos días.

Se recomienda evitar ejercicio intenso durante la primera semana.

Los efectos secundarios más comunes son inflamación o molestias leves y temporales.

En muchos casos sí, dependiendo de la cantidad de hueso disponible.

Visualizar la transformación

Los cambios de imagen de la sonrisa favorecen mejoras cuidadosas y matizadas, para obtener resultados naturales que garanticen el equilibrio general y la armonía facial.

Descubre la diferencia

En Alejandro Prieto Dental, fusionamos arte, tecnología y máxima precisión para diseñar sonrisas únicas, auténticas y completamente personalizadas.