- Damos garantía de por vida en implantes dentales
- Contamos con los mejores cirujanos en implantología avanzada y casos complejos
- Trabajamos solo con las mejores marcas del mundo
- Usamos la última tecnología digital para máxima precisión
- Contamos con laboratorio en exclusiva para total control de calidad, tiempos y resultados
¿Qué son los implantes dentales?
Los implantes dentales son fijaciones de titanio u otro material biocompatible que reemplazan la raíz de un diente perdido. Sobre estas fijaciones se coloca una corona, puente o prótesis fija, devolviendo función, estética y estabilidad.
Son la opción ideal si has perdido uno o varios dientes, incluso para rehabilitaciones de boca completa, ya que ofrecen:
- Estabilidad a largo plazo.
- Aspecto natural parecido al diente.
- Comodidad al masticar.
- Conservación del hueso y estructura oral.
Tipos de implantes dentales
Implante individual
Implantes múltiples
Tratamiento para pacientes sin dientes o con piezas muy deterioradas. Todos nuestros tratamientos se hacen con carga inmediata (dientes fijos en 24h), de modo que tendrás dientes fijos el mismo día de la cirugía de colocación de implantes.
Implantes en casos complejos
Contamos con amplia experiencia en pacientes con falta de hueso dental o anatomías complicadas. Cuando existe deficiencia ósea o un periodonto comprometido, realizamos una planificación digital de máxima precisión y aplicamos técnicas avanzadas de regeneración como injerto óseo o elevación de seno maxilar, cuando es necesario.
Según cada caso, también podemos colocar implantes específicos para atrofias severas:
Ofrecemos alternativas seguras y estables incluso en situaciones donde otros no encuentraron solución.
Ventajas de los implantes dentales
Los implantes dentales ofrecen numerosas ventajas en comparación con otras soluciones para reemplazar los dientes perdidos. Algunas de las principales ventajas son las siguientes:
- Estabilidad y comodidad.
- Durabilidad.
- Preservación del hueso.
- Estética y función.
- Mejora la calidad de vida.
Precio de los implantes dentales en España
El precio de un implante dental o implante dental completo en España empieza desde 1.500 € todo incluido. Abarcando el implante, la cirugía, el pilar y la corona definitiva. Este rango puede variar según la calidad del material, la tecnología utilizada, la experiencia del especialista y la complejidad del caso. Asegúrate que no caes en ofertas de implantes muy baratos ya que entonces estarán usando malas calidades. Igualmente asegúrate que el precio que te entregan tiene todo incluído sin sorpresas.
"Somos especialistas en rehabilitaciones de boca completa con implantes dentales. Solucionamos hasta los casos mas complejos de implantología cuidando al detalle la estética dental"
Dr. Alejandro Prieto
Testimonios de pacientes con implantes dentales
Los pacientes destacan, sobre todo, la naturalidad del resultado, la comodidad durante el tratamiento y la ausencia de dolor en la cirugía. Muchos subrayan que han recuperado la confianza al sonreír, la capacidad de masticar con normalidad y una importante mejora en su calidad de vida. También valoran la precisión de la planificación digital, el trato cercano del equipo y la posibilidad de recibir soluciones incluso en casos complejos, como falta de hueso o implantes en zonas muy visibles. En general, los pacientes coinciden en que la experiencia ha sido más sencilla de lo esperado y que el resultado final supera sus expectativas tanto en estética como en funcionalidad.
“Llevaba años evitando sonreír por miedo a que se viera el hueco. En Alejandro Prieto Dental me pusieron un implante el mismo día y salí con un diente provisional perfecto. La experiencia fue increíble, sin dolor y con un resultado que superó mis expectativas.” María G.
“Pensé que no podría ponerme implantes porque me faltaba hueso. Aquí me explicaron el proceso y me ofrecieron una solución personalizada. La cirugía fue rápida y la recuperación muy buena. Hoy vuelvo a masticar con normalidad y mi sonrisa se ve completamente natural.” Javier R.
Proceso de colocación de implantes dentales con protocolo digital
Dental realizamos todo el tratamiento mediante un protocolo digital completo, lo que nos permite ofrecer cirugías más precisas, mínimamente invasivas y con resultados estéticos inmediatos.
Estudio digital y planificación 3D
El proceso comienza con un análisis exhaustivo mediante TAC 3D, escáner intraoral y fotografía digital.
Con esta información creamos un modelo virtual del paciente, donde planificamos la posición exacta del implante y diseñamos la futura sonrisa.
Este enfoque permite una colocación ultraprecisa y totalmente personalizada.
Diseño digital de la prótesis provisional
Antes de la cirugía, nuestro laboratorio dental en exclusiva diseña digitalmente los dientes provisionales, ajustados en forma, color y proporción.
Esto permite que el provisional esté listo el mismo día de la intervención, con una estética superior y perfectamente integrada.
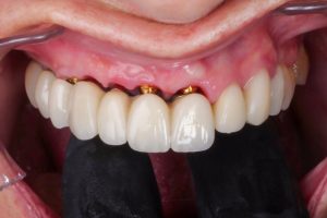
Cirugía guiada digitalmente
La cirugía se realiza mediante guías quirúrgicas digitales, que dirigen el implante al punto exacto planificado.
Esto se traduce en:
- Mayor precisión.
- Menor inflamación.
- Recuperación más rápida.
- Resultado más predecible.
- Todo el procedimiento se hace con anestesia local, sin dolor.
Colocación inmediata de dientes provisionales
Nada más finalizar la cirugía, colocamos los dientes provisionales de alta estética, fabricados en exclusiva por nuestro laboratorio de forma inmediata.
Los pacientes salen de la clínica con dientes fijos, sin necesidad de llevar prótesis removibles ni quedarse con espacios visibles.
Estos provisionales permiten recuperar la estética y la funcionalidad desde el primer día mientras el implante cicatriza.
Osteointegración y seguimiento digital
Durante los próximos 3 a 6 meses, el implante se fusiona con el hueso.
Durante este periodo:
- Controlamos la evolución con revisiones digitales.
- Ajustamos los provisionales si es necesario.
- Mantenemos la estabilidad estética y funcional.
Diseño y colocación de la corona definitiva
Una vez finalizada la osteointegración, tomamos nuevos registros digitales para fabricar la corona definitiva en zirconio de alta estética.
El laboratorio crea una pieza personalizada en color, forma y textura para integrarse de manera perfecta con el resto de la sonrisa.
El resultado final es indistinguible de un diente natural.
Conoce al equipo
Alejandro Prieto Dental
Equipo multidisciplinar
En Alejandro Prieto Dental contamos con un equipo multidisciplinar especializado en implantes dentales, dentadura fija sobre implantes con carga inmediata y carillas dentales de alta estética.
El equipo está liderado por el Dr. Alejandro Prieto, cirujano implantólogo de prestigio internacional, experto en impantes de boca completa y en resultados de alta estética dental. Contamos con laboratorio dental en exclusiva, lo que nos permite controlar internamente cada fase del tratamiento para asegurar calidad, precisión y resultados predecibles.
Nuestro objetivo: resultados naturales, estables y duraderos para cada paciente.
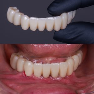
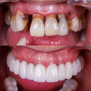
Tratamiento de implantes dentales
Historias de transformación
Si alguna vez te han dicho que tu caso no tiene solución, en Alejandro Prieto Dental desafiamos los límites de la odontología para ofrecerte la respuesta que estabas buscando.
Preguntas frecuentes
¿Cómo son los implantes dentales sin tornillos?
Los implantes dentales sin tornillos también conocidos como implantes subperiósticos, son un tipo de implante diseñado para pacientes con falta de hueso que no pueden recibir un implante tradicional.
En lugar de colocarse dentro del hueso como los implantes endoóseos, los subperiósticos se apoyan encima del hueso y debajo de la encía, mediante una estructura metálica personalizada que se adapta a la forma del maxilar.
No necesitan tornillo porque no se osteointegran dentro del hueso, sino que se fijan por contacto y por la cicatrización del tejido que los rodea.
¿Cuánto cuesta un implante dental?
¿Cuáles son los tres tipos de implantes dentales?
1. Implantes endoóseos
Son los más utilizados. Se colocan directamente dentro del hueso maxilar o mandibular. Tienen forma de tornillo o cilindro y ofrecen la mayor estabilidad. Indicados para la mayoría de pacientes con volumen óseo adecuado.2. Implantes subperiósticos
Se colocan sobre el hueso y debajo de la encía, sin entrar en el interior del hueso. Son una alternativa para pacientes con poco hueso que no desean cirugía regenerativa.3. Implantes cigomáticos
Son implantes extralargos que se anclan en el hueso cigomático (pómulo) cuando no existe hueso suficiente en el maxilar superior. Se usan en casos complejos de atrofia severa y permiten una rehabilitación fija sin injertos.
¿Qué tipo de implante es mejor?
En la mayoría de casos, los implantes endoóseos se consideran la mejor opción porque se colocan dentro del hueso, lo estimulan y ofrecen las tasas de éxito más altas. Sin embargo, en pacientes con pérdida ósea severa, los implantes cigomáticos o soluciones específicas pueden ser la mejor alternativa. El tipo de implante ideal siempre debe decidirse de forma personalizada por un implantólogo tras un estudio 3D del caso.
¿Cuántos días de reposo después de un implante dental?
La mayoría de los pacientes necesitan 24–48 horas de reposo relativo tras colocar un implante dental, evitando esfuerzos físicos y manteniendo una actividad ligera.
La recuperación funcional suele ser de 5 a 7 días, aunque puede variar según la complejidad de la cirugía y el tipo de trabajo de cada persona.
¿Qué consecuencias puede traer un implante dental?ncia a Alejandro Prieto Dental de otras clínicas dentales?
Un implante dental puede provocar molestias postoperatorias normales como dolor leve, inflamación y un pequeño sangrado durante las primeras horas. También existen complicaciones menos frecuentes, como infección, falta de osteointegración (rechazo del implante), daño a nervios o vasos sanguíneos, periimplantitis o sinusitis en el caso de implantes en el maxilar superior. La mayoría de estas consecuencias se evitan con una buena planificación, higiene oral adecuada y revisiones periódicas.
¿Qué es lo más moderno en implantes dentales?
Lo más moderno en implantes dentales combina diseños avanzados de los implantes, nuevos biomateriales y tecnología digital 3D para conseguir tratamientos más rápidos, predecibles y mínimamente invasivos. Hoy en día destacan la carga inmediata, la regeneración ósea guiada, los implantes cigomáticos para casos con poco hueso y los flujos de trabajo completamente digitales.
Visualizar la transformación
Los cambios de imagen de la sonrisa favorecen mejoras cuidadosas y matizadas, para obtener resultados naturales que garanticen el equilibrio general y la armonía facial.
Descubre la diferencia