Lorem ipsum dolor sit amet, consectetur adipiscing elit. Ut elit tellus, luctus nec ullamcorper mattis, pulvinar dapibus leo.

Implantes Pterigoideos: qué son, indicaciones y precio

Face Clinic es una clínica de referencia en España especializada en implantes pterigoideos para pacientes con reabsorción ósea severa en el maxilar superior posterior.

¿Qué son los Implantes Pterigoideos?

Los implantes pterigoideos son una técnica quirúrgica avanzada en implantología dental que se utiliza enpacientes con pérdida ósea en la mandíbula posterior. Estos implantes se colocan en el área pterigoidea, que es una zona de hueso denso en la mandíbula ubicada cerca del maxilar y el cráneo.
La técnica de implante pterigoideo se emplea como una alternativa a la colocación de implantes convencionales en pacientes con una cantidad limitada de hueso en la mandíbula.Este procedimiento permite la colocación de implantes sin la necesidad de injertos óseos adicionales.
Ofrecen una serie de beneficios en comparación con otras técnicas de implantes. Debido a que se colocan en una posición más cercana a la articulación temporomandibular (ATM), pueden proporcionar una mayor estabilidad y soporte a la mandíbula. Además, esta técnica suele ser menos invasiva que otras técnicas, lo que significa que el tiempo de recuperación es generalmente más corto.

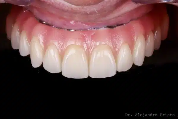
En Dr. Alejandro Prieto Dental somos especialistas en rehabilitaciones de boca completa con implantes

-Dr. Alejandro

¿Qué problemas resuelven los implantes pterigoideos?

Los tipos de implantes sin tornillo disponibles son:

Es importante que un especialista en implantología dental realice una evaluación cuidadosa de cada caso para determinar si los implantes pterigoideos son una opción adecuada para el paciente.

conoce al equipo – Alejandro Prieto Dental

Equipo multidisciplinar

En Alejandro Prieto Dental contamos con un equipo multidisciplinar especializado en implantes dentales, dentadura fija sobre implantes con carga inmediata y carillas dentales de alta estética.

El equipo está liderado por el Dr. Alejandro Prieto, cirujano implantólogo de prestigio internacional, experto en impantes de boca completa y en resultados de alta estética dental. Contamos con laboratorio dental en exclusiva, lo que nos permite controlar internamente cada fase del tratamiento para asegurar calidad, precisión y resultados predecibles.

Nuestro objetivo: resultados naturales, estables y duraderos para cada paciente.

Historias de transformación

Si alguna vez te han dicho que tu caso no tiene solución, en Alejandro Prieto Dental desafiamos los límites de la odontología para ofrecerte la respuesta que estabas buscando.

Preguntas frecuentes

¿Qué son los implantes subperiósticos?

Son estructuras metálicas personalizadas que se colocan sobre el hueso y debajo de la encía, diseñadas para sostener dientes fijos sin necesidad de tornillos dentro del hueso. Puedes conocer más sobre su funcionamiento en el sitio del Consejo General de Dentistas.

¿Cuánto cuestan los implantes subperiósticos?

El precio de los implantes subperiósticos depende de la complejidad del caso, aunque en Madrid suele oscilar entre 6.000 € y 12.000 € por arcada completa. Consulta nuestras tarifas en la sección implantes subperiósticos precio

¿Qué significa subperióstico?

“Subperióstico” significa “debajo del periostio”, la capa que recubre el hueso. En implantología, se refiere a los implantes que se apoyan sobre el hueso sin penetrarlo.

¿Cuáles son los tres tipos de implantes dentales?

¿Cuáles son los tres tipos de implantes dentales?
Los tres principales tipos son:
1. Implantes endoóseos, insertados dentro del hueso.
2. Implantes cigomáticos, anclados en el hueso del pómulo.
3. Implantes subperiósticos, apoyados sobre el hueso cuando no existe volumen suficiente.

Visualizar la transformación

Los cambios de imagen de la sonrisa favorecen mejoras cuidadosas y matizadas, para obtener resultados naturales que garanticen el equilibrio general y la armonía facial.

Ver más historias

EXPERIMENTE LA DIFERENCIA

En Alejandro Prieto Dental, fusionamos arte, tecnología y máxima precisión para diseñar sonrisas únicas, auténticas y completamente personalizadas

Scroll to Top

We're here to help!

Call or WhatsApp us on the number:

Available
Mon - Friday 9 AM — 9 PM