Implantes subperiósticos en Madrid: la solución cuando no hay hueso suficiente
Los implantes subperiósticos en Madrid son una solución avanzada para pacientes con falta severa de hueso que no pueden recibir implantes dentales convencionales. Se trata de implantes personalizados, diseñados a medida mediante tecnología digital, que permiten recuperar dientes fijos sin necesidad de injertos óseos complejos.
¿Qué son los implantes subperiósticos?
Los implantes subperiósticos, también llamados implantes yuxtaóseos , son estructuras de titanio personalizadas que se colocan sobre el hueso y debajo de la encía , en lugar de ir ancladas dentro del hueso como los implantes tradicionales.
Según el Consejo General de Dentistas de España, estos implantes se apoyan en la superficie ósea mediante una estructura diseñada digitalmente para ajustarse de forma exacta a la anatomía del paciente.


¿Para quién están indicados los implantes subperiósticos?
Este tipo de implantes está indicado para:
Pacientes sin hueso suficientes para implantes convencionales
Personas que no desean injertos óseos
Casos complejos de rehabilitación completa
Pacientes con fracasos previos de implantes
Alternativa a implantes cigomáticos en casos seleccionados
Ventajas de los implantes subperiósticos personalizados
Solución real cuando no hay hueso
No requieren injertos óseos
Diseño totalmente personalizado.
Excelente estética dental
Posibilidad de dientes fijos en poco tiempo

Desventajas y contraindicaciones
Técnica avanzada que requiere alta especialización
Precio superior a implantes convencionales
No indicado en todos los pacientes
Requiere planificación digital exhaustiva
👉 Por eso es fundamental un diagnóstico personalizado .
¿Cómo es el proceso de colocación?
- Estudio clínico y TAC 3D
- Diseño digital del implante subperióstico personalizado.
- Fabricación en titanio
- Cirugía de colocación
- Colocación de prótesis fija según el caso
Implantes subperiósticos: precio en España
El precio de los implantes subperiósticos en España depende de la complejidad del caso y del diseño personalizado.
💶 Precios orientativos:
Implante unitario: desde 3.000 €
Rehabilitación completa: desde 12.000 €
El coste es mayor porque se trata de una estructura hecha a medida para cada paciente.
Opiniones sobre implantes subperiósticos
Las opiniones de los implantes subperiósticos suelen ser positivas en pacientes con falta severa de hueso, ya que permiten volver a tener dientes fijos cuando otras opciones no son viables.
Eso sí, deben ser realizados por especialistas en casos complejos .
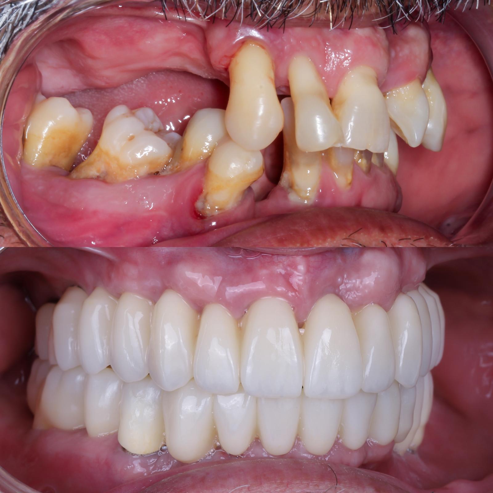
Fotos de implantes subperiósticos personalizados
A continuación mostramos casos reales de antes y después de pacientes tratados con implantes subperiósticos personalizados.

Pide tu cita sin coste hoy mismo
Si quieres saber si eres candidato para implantes subperiósticos en Madrid , solicita tu primera visita sin coste.
Incluye:
Estudio completo
TAC dental sin costo
Diagnóstico personalizado
En Dr. Alejandro Prieto Dental somos especialistas en rehabilitaciones de boca completa con implantes
-Dr. Alejandro
Preguntas frecuentes
Los implantes subperiósticos, también llamados implantes yuxtaóseos, son estructuras de titanio personalizadas que se colocan sobre el hueso maxilar y bajo la encía. Están indicados cuando no existe suficiente hueso para implantes dentales convencionales.
No. La cirugía se realiza con anestesia local y, en muchos casos, sedación consciente. Las molestias posteriores suelen ser moderadas y controlables con medicación, similares a otros tratamientos de implantología avanzada.
La recuperación inicial suele ser rápida. En la mayoría de los casos, el paciente puede retomar su vida normal en pocos días, siguiendo las indicaciones del especialista. La cicatrización completa depende de cada caso.
Los implantes subperiósticos no están indicados en todos los pacientes. Algunas contraindicaciones pueden ser:
Infecciones activas no controladas
Enfermedades sistémicas graves sin control médico
Falta de encía adecuada
Por eso es imprescindible un estudio previo personalizado.
El precio de los implantes subperiósticos en España es superior al de los implantes tradicionales, ya que se trata de estructuras totalmente personalizadas. El coste varía según el número de implantes y la complejidad del caso.
Depende del caso clínico.
Los implantes subperiósticos pueden ser una alternativa menos invasiva en determinados pacientes, mientras que los implantes cigomáticos están indicados en atrofias óseas extremas. La elección se realiza tras un diagnóstico individualizado.
Sí. En muchos casos permiten la colocación de prótesis dentales fijas, devolviendo función masticatoria y estética incluso en pacientes con atrofia ósea avanzada.
conoce al equipo – Alejandro Prieto Dental
Equipo multidisciplinar
En Alejandro Prieto Dental contamos con un equipo multidisciplinar especializado en implantes dentales, dentadura fija sobre implantes con carga inmediata y carillas dentales de alta estética.
El equipo está liderado por el Dr. Alejandro Prieto, cirujano implantólogo de prestigio internacional, experto en impantes de boca completa y en resultados de alta estética dental. Contamos con laboratorio dental en exclusiva, lo que nos permite controlar internamente cada fase del tratamiento para asegurar calidad, precisión y resultados predecibles.
Nuestro objetivo: resultados naturales, estables y duraderos para cada paciente.
Historias de transformación
Si alguna vez te han dicho que tu caso no tiene solución, en Alejandro Prieto Dental desafiamos los límites de la odontología para ofrecerte la respuesta que estabas buscando.
Antes y después

Antes y después

Antes y después

Antes y después

Antes y después

Antes y después


Pide tu primera cita gratuita y empieza tu cambio
Visualizar la transformación
Los cambios de imagen de la sonrisa favorecen mejoras cuidadosas y matizadas, para obtener resultados naturales que garanticen el equilibrio general y la armonía facial.
Ver más historias
EXPERIMENTE LA DIFERENCIA
En Alejandro Prieto Dental, fusionamos arte, tecnología y máxima precisión para diseñar sonrisas únicas, auténticas y completamente personalizadas