Carillas dentales sin tallado
Mejora tu sonrisa sin desgastar tus dientes con porcelana ultrafina de alta estética
¿Qué son las carillas sin tallado?
Las carillas sin tallado son finas láminas de porcelana ultrafina que se adhieren a la superficie del diente sin necesidad de limarlo ni desgastarlo. A diferencia de las carillas tradicionales, no requieren preparación dental en la mayoría de los casos, por lo que se consideran un tratamiento reversible, conservador y biológico.
Se diseñan digitalmente con Diseño Digital de Sonrisa y se fabrican en laboratorio con cerámica de alta estética (normalmente disilicato de litio o porcelana feldespática), permitiendo mejorar la sonrisa sin tocar la estructura natural del diente.
Son la opción ideal para quienes desean un cambio estético sin someterse a tratamientos invasivos.

Si buscas una sonrisa más blanca, armónica y natural sin necesidad de desgastar tus dientes, las carillas sin tallado son la solución estética más conservadora y avanzada. En Alejandro Prieto Dental somos especialistas en carillas de alta estética mínimamente invasivas, diseñadas con tecnología digital y materiales cerámicos de última generación para lograr un resultado natural, elegante y totalmente integrado con tu sonrisa.
Nuestro objetivo es mejorar tu estética dental sin alterar tu diente natural, respetando al máximo su estructura y biología.
¿Para qué sirven las carillas dentales sin tallado?
Las carillas sin tallado permiten corregir de forma estética y natural:
Manchas dentales permanentes
Dientes pequeños o desgastados
Separaciones entre dientes (diastemas)
Bordes irregulares
Sonrisas apagadas o envejecidas
Falta de armonía en la proporción dental
- Dientes oscurecidos que no blanquean con blanqueamiento dental
Todo ello sin tocar el esmalte, conservando tu diente intacto.
¿Para quién están indicadas las carillas sin tallado?
Las carillas sin tallado en Madrid están indicadas para pacientes que:
Quieren mejorar su sonrisa sin desgastar los dientes
Buscan un tratamiento estético reversible
Tienen dientes pequeños o con espacio suficiente para añadir volumen
No presentan apiñamiento severo
No tienen mordidas muy agresivas
Desean una solución estética natural y duradera
Casos ideales:
Dientes estrechos o cortos
Diastemas
Manchas que no responden a blanqueamiento
Desgaste leve
Sonrisas con falta de volumen
¿Cuándo no se recomiendan?
Apiñamientos importantes
Mordidas muy profundas
Dientes muy grandes o salidos
Bruxismo sin férula
En estos casos, se valora primero ortodoncia u otros tratamientos previos.
Ventajas de las carillas sin tallado
Las carillas dentales sin tallado ofrecen múltiples beneficios:
No se lima el diente
Tratamiento conservador y biológico
En muchos casos es reversible
No suele requerir anestesia
Proceso indoloro
Resultado inmediato
Estética muy natural
Cerámica de alta resistencia
Color estable durante años
Son el equilibrio perfecto entre estética y conservación dental.
Desventajas de las carillas sin tallado
Como todo tratamiento, también tienen algunas limitaciones:
No son aptas para todos los casos
Requieren una planificación muy precisa
No corrigen apiñamientos severos
Requieren espacio suficiente en la mordida
Pueden aumentar ligeramente el volumen del diente
Por eso es imprescindible un estudio estético previo para confirmar si eres candidato ideal.
Carillas sin tallado Madrid: proceso en Alejandro Prieto Dental
Nuestro protocolo está diseñado para lograr máxima precisión y naturalidad.
1. Estudio estético y escáner digital
Realizamos un estudio completo de tu sonrisa con fotografías profesionales, escáner intraoral y análisis facial.
2. Diseño digital de la sonrisa
Creamos un diseño digital de sonrisa personalizado adaptado a tu rostro, labios y expresión.
3. Prueba estética (mock-up)
Probamos el diseño directamente en tu boca sin tocar tus dientes. Así puedes ver cómo quedará tu sonrisa final.
4. Fabricación en laboratorio
Se fabrican tus carillas en porcelana ultrafina de alta estética (disilicato de litio) de forma artesanal en nuestro Laboratorio en exclusiva.
5. Colocación definitiva
Se adhieren con técnicas adhesivas avanzadas sin necesidad de tallar.
Carillas sin tallado: precio en Madrid
El precio de las carillas sin tallado en Madrid ronda entre los 550 € y 800 € por diente. El precio depende del material, la tecnología utilizada y la experiencia en estética del laboratorio dental y el odontólogo.
El precio incluye:
Estudio personalizado con TAC
Diseño digital de sonrisa
Mock-up
Fabricación en laboratorio
Colocación definitiva
- Revisiones sin coste adicional
Precio carillas sin tallado toda la boca
El precio depende del número de dientes a tratar (normalmente 6 a 10 superiores y 6 a 10 inferiores). El rango habitual se sitúa entre 8.400 € y 14.000 € para toda la boca.
Factores que influyen en el precio:
Número de carillas
Tipo de material
Laboratorio de alta estética
Experiencia del especialista
Carillas dentales sin tallado opiniones
Las carillas dentales sin tallado reciben opiniones muy positivas por parte de los pacientes que buscan una mejora estética sin someterse a tratamientos invasivos. La mayoría destaca la naturalidad del resultado, la rapidez del procedimiento y la tranquilidad de saber que sus dientes no han sido desgastados. Muchos pacientes valoran especialmente que se trate de una solución conservadora, cómoda e indolora, con un impacto inmediato en la sonrisa y un notable aumento de la confianza al sonreír y al hablar. En general, las carillas sin tallado se perciben como una de las opciones estéticas más satisfactorias para quienes desean un cambio visible respetando al máximo su diente natural.
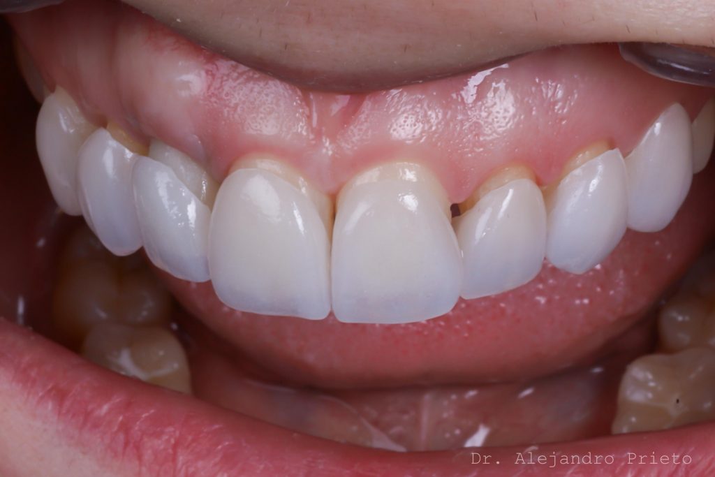
Carillas sin tallado: fotos antes y después
A continuación dejamos algunos de nuestros casos tratados con carillas sin tallado . Muestran resultados muy naturales, sin tallar el diente natural y perfectamente integradas en la sonrisa. También puedes visitar la sección de nuestra web con algunos de nuestros casos de carillas dentales antes y después.



¿Cuánto duran las carillas sin tallado?
Las carillas sin tallado pueden durar toda la vida, igual que un diente natural, siempre que se mantenga unos cuidados básicos, correcta higiene y revisiones periódicas.
La cerámica utilizada es altamente resistente al desgaste y a las manchas. Con buen cuidado, pueden acompañarte durante toda tu vida.
¿Qué hacer para que las carillas dentales duren muchos años?
Higiene diaria correcta
Revisiones periódicas
Evitar morder objetos duros
Uso de férula si hay bruxismo
En resumen
Las carillas sin tallado en Madrid son la opción estética más conservadora, natural y avanzada para mejorar tu sonrisa sin tocar tus dientes. En Alejandro Prieto Dental utilizamos planificación digital, porcelana de alta estética y protocolos de máxima precisión para crear sonrisas armónicas, elegantes y totalmente personalizadas.
Pide tu cita sin coste hoy mismo
Si quieres saber si eres candidato a carillas sin tallado y descubrir cómo sería tu nueva sonrisa, te invitamos a una primera valoración sin coste.
"En Alejandro Prieto Dental, nuestras carillas reproducen de forma perfecta la translucidez, el brillo y la textura del esmalte natural, lo que hace que se integren completamente con el resto de los dientes y pasen desapercibidas incluso a corta distancia."
-Dr. Alejandro Prieto



conoce al equipo – Alejandro Prieto Dental
Equipo multidisciplinar
En Alejandro Prieto Dental contamos con un equipo multidisciplinar especializado en implantes dentales, dentadura fija sobre implantes con carga inmediata y carillas dentales de alta estética.
El equipo está liderado por el Dr. Alejandro Prieto, cirujano implantólogo de prestigio internacional, experto en impantes de boca completa y en resultados de alta estética dental. Contamos con laboratorio dental en exclusiva, lo que nos permite controlar internamente cada fase del tratamiento para asegurar calidad, precisión y resultados predecibles.
Nuestro objetivo: resultados naturales, estables y duraderos para cada paciente.
Historias de transformación
Si alguna vez te han dicho que tu caso no tiene solución, en Alejandro Prieto Dental desafiamos los límites de la odontología para ofrecerte la respuesta que estabas buscando.
Antes y después

Antes y después

Antes y después

Antes y después

Antes y después

Antes y después

Preguntas frecuentes
Las carillas sin tallado en España cuestan entre 550 € y 800 € por diente si son de cerámica o disilicato de litio, y desde 250 € por diente si son de composite. Un tratamiento completo de la sonrisa suele situarse entre 8.000 € y 14.000 €, dependiendo del número de dientes, la calidad del laboratorio y la experiencia del odontólogo.
Las carillas sin tallado pueden durar toda la vida si se mantienen con una correcta higiene oral, revisiones periódicas y buenos hábitos, igual que un diente natural. Su durabilidad depende del material, la calidad del cementado y del cuidado del paciente.
Las carillas sin tallado son láminas ultrafinas de porcelana o composite que se colocan sobre la parte frontal del diente para mejorar su estética sin necesidad de desgastar el esmalte natural.
También se conocen como carillas no prep o carillas ultrafinas y permiten corregir el color, la forma y el tamaño de los dientes de forma conservadora y mínimamente invasiva.
A diferencia de las carillas tradicionales:
No requieren limar el diente
No necesitan anestesia
Son un tratamiento reversible
Conservan el 100 % del esmalte natural
Son ideales para mejorar:
Manchas dentales
Pequeñas separaciones entre dientes
Dientes cortos o desgastados
Ligeros desalineamientos
Eso sí, requieren un diagnóstico profesional previo para confirmar que el caso es apto para este tipo de carillas y garantizar un resultado natural y estable a largo plazo.
Sí, es posible colocarse carillas sin raspar ni limar los dientes naturales. Se trata de las llamadas carillas sin tallado, también conocidas como carillas no prep o ultrafinas.
Este tratamiento permite mejorar la apariencia de los dientes sin necesidad de prepararlos ni alterar su estructura natural. Es un procedimiento mínimamente invasivo que consiste en adherir láminas muy delgadas de porcelana o composite sobre la superficie frontal de los dientes.
Gracias a esta técnica se pueden corregir:
Color y manchas
Forma y tamaño dental
Pequeñas separaciones
Ligeras irregularidades
Al no requerir tallado, se conserva el esmalte original, no se necesita anestesia y el tratamiento es totalmente conservador.
Eso sí, es imprescindible una valoración profesional para confirmar que el caso es apto para este tipo de carillas y garantizar un resultado natural y duradero.
Visualizar la transformación
Los cambios de imagen de la sonrisa favorecen mejoras cuidadosas y matizadas, para obtener resultados naturales que garanticen el equilibrio general y la armonía facial.
Ver más historias
EXPERIMENTE LA DIFERENCIA
En Alejandro Prieto Dental, fusionamos arte, tecnología y máxima precisión para diseñar sonrisas únicas, auténticas y completamente personalizadas

