Lorem ipsum dolor sit amet, consectetur adipiscing elit. Ut elit tellus, luctus nec ullamcorper mattis, pulvinar dapibus leo.

IMPLANTES TRANSNASALES Y CIGOMÁTICOS

Es importante que un especialista en implantología dental realice una evaluación cuidadosa de cada caso para determinar si los implantes pterigoideos son una opción adecuada para el paciente.

Sobre la Clínica Dental Alejandro Prieto Trans España

El caso que os presentamos en este artículo se corresponde al de una paciente de 67 años que, tras varios intentos fallidos de rehabilitación oral mediante distintas técnicas, acude a nuestra clínica dental en Valencia buscando un tratamiento de implantes viable.

Si bien es cierto que la evolución en diseño y materiales de los implantes dentales nos permite realizar intervenciones más complejas de un modo menos invasivo, en ocasiones, la falta de hueso nos obliga a practicar técnicas de regeneración ósea.

Sin embargo, estas técnicas suelen ser más largas e invasivas, ya que requieren varias intervenciones. Cuando la colocación de implantes necesita un injerto óseo previo, primero se realiza la cirugía del injerto y, tras varios meses de consolidación, una segunda intervención para colocar los implantes.  

En Dr. Alejandro Prieto Dental somos especialistas en rehabilitaciones de boca completa con implantes

-Dr. Alejandro

Tipos de implantes dentales sin tornillo

Los tipos de implantes sin tornillo disponibles son:

Cada tipo de implante tiene sus propias ventajas e inconvenientes. La elección del más adecuado dependerá de las necesidades específicas de la persona. Para ello, el especialista evaluará las condiciones del paciente y planteará un tratamiento personalizado.

conoce al equipo – Alejandro Prieto Dental

Equipo multidisciplinar

En Alejandro Prieto Dental contamos con un equipo multidisciplinar especializado en implantes dentales, dentadura fija sobre implantes con carga inmediata y carillas dentales de alta estética.

El equipo está liderado por el Dr. Alejandro Prieto, cirujano implantólogo de prestigio internacional, experto en impantes de boca completa y en resultados de alta estética dental. Contamos con laboratorio dental en exclusiva, lo que nos permite controlar internamente cada fase del tratamiento para asegurar calidad, precisión y resultados predecibles.

Nuestro objetivo: resultados naturales, estables y duraderos para cada paciente.

Historias de transformación

Si alguna vez te han dicho que tu caso no tiene solución, en Alejandro Prieto Dental desafiamos los límites de la odontología para ofrecerte la respuesta que estabas buscando.

Preguntas frecuentes

¿Qué son los implantes subperiósticos?

Son estructuras metálicas personalizadas que se colocan sobre el hueso y debajo de la encía, diseñadas para sostener dientes fijos sin necesidad de tornillos dentro del hueso. Puedes conocer más sobre su funcionamiento en el sitio del Consejo General de Dentistas.

¿Cuánto cuestan los implantes subperiósticos?

El precio de los implantes subperiósticos depende de la complejidad del caso, aunque en Madrid suele oscilar entre 6.000 € y 12.000 € por arcada completa. Consulta nuestras tarifas en la sección implantes subperiósticos precio

¿Qué significa subperióstico?

“Subperióstico” significa “debajo del periostio”, la capa que recubre el hueso. En implantología, se refiere a los implantes que se apoyan sobre el hueso sin penetrarlo.

¿Cuáles son los tres tipos de implantes dentales?

¿Cuáles son los tres tipos de implantes dentales?
Los tres principales tipos son:
1. Implantes endoóseos, insertados dentro del hueso.
2. Implantes cigomáticos, anclados en el hueso del pómulo.
3. Implantes subperiósticos, apoyados sobre el hueso cuando no existe volumen suficiente.

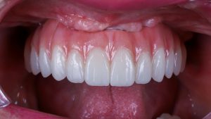
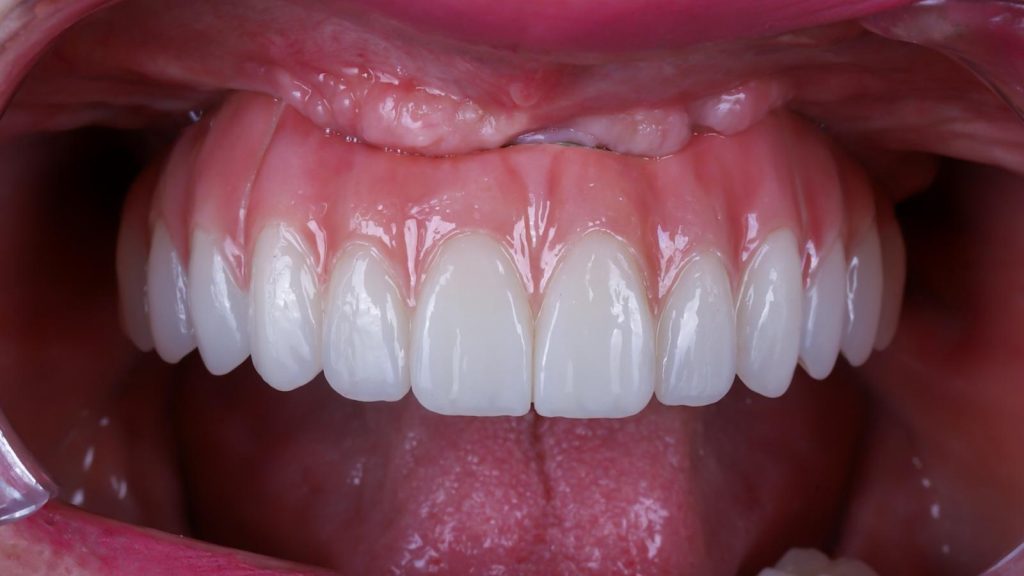
Visualizar la transformación

Los cambios de imagen de la sonrisa favorecen mejoras cuidadosas y matizadas, para obtener resultados naturales que garanticen el equilibrio general y la armonía facial.

Ver más historias

EXPERIMENTE LA DIFERENCIA

En Alejandro Prieto Dental, fusionamos arte, tecnología y máxima precisión para diseñar sonrisas únicas, auténticas y completamente personalizadas

Scroll to Top

We're here to help!

Call or WhatsApp us on the number:

Available
Mon - Friday 9 AM — 9 PM